biological source
human cell culture
packaging
pkg of 1 ea cell microarray block (HCL003), pkg of 2 slides (HCL001), pkg of 5 slides (HCL002)
manufacturer/tradename
Histocyte
storage temp.
2-8°C
General description
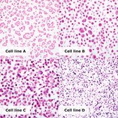
The HPV/p16 Analyte ControlDR has four cell line cores providing a full range of expression for Human Papilloma Virus (HPV): high, medium, low, and negative. The same cell lines also demonstrate high homogenous, high heterogenous and negative expression of p16.
HistoCyte Laboratories control slides and blocks are made from cultured human cell lines to provide the required range of expression of a specific biomarker. The cell lines are processed using proprietary methods that allow for the creation of a high density embedded cell block with cores that retain their cellular morphology. Available as pre-cut unstained slides or as cell microarray blocks for sectioning.
HistoCyte Laboratories control slides and blocks are made from cultured human cell lines to provide the required range of expression of a specific biomarker. The cell lines are processed using proprietary methods that allow for the creation of a high density embedded cell block with cores that retain their cellular morphology. Available as pre-cut unstained slides or as cell microarray blocks for sectioning.
Application
Ideal for use as a same slide control for HPV in situ hybridization (ISH) and p16 immunohistochemistry (IHC).
The HHPV/p16 Analyte ControlDR histology slides have four cell line cores providing a dynamic range of expression for HPV type 16 and 18: high, medium, low and negative. The same cell lines also demonstrate high homogenous, high heterogenous and negative expression of p16. Analyte controls are placed at one end of slide, allowing sample application on same slide for valid comparison.
The HPV/p16 Analyte ControlDR cell microarray block contains four cell line cores that are 2 mm in diameter and between 3.0-3.5 mm in length. The cell microarray block may yield over 300 sections depending on thickness.
The HHPV/p16 Analyte ControlDR histology slides have four cell line cores providing a dynamic range of expression for HPV type 16 and 18: high, medium, low and negative. The same cell lines also demonstrate high homogenous, high heterogenous and negative expression of p16. Analyte controls are placed at one end of slide, allowing sample application on same slide for valid comparison.
The HPV/p16 Analyte ControlDR cell microarray block contains four cell line cores that are 2 mm in diameter and between 3.0-3.5 mm in length. The cell microarray block may yield over 300 sections depending on thickness.
Preparation Note
Cell microarray blocks are fixed in 10% neutral buffered formalin and embedded in paraffin wax. Pre-cut unstained slides are prepared from 4 μm thick sections, mounted on positively charged slides, and dried at 37 °C overnight.
Other Notes
For certificates of analysis, contact info@histocyte.com
HPV/p16 Analyte ControlDR brochure is available from HistoCyte Laboratories
HPV/p16 Analyte ControlDR brochure is available from HistoCyte Laboratories
法规信息
新产品
此项目有
我们的科学家团队拥有各种研究领域经验,包括生命科学、材料科学、化学合成、色谱、分析及许多其他领域.
联系客户支持