跳转至内容
Merck
CN

D2945

Anti-DCDC2 antibody produced in rabbit

~1.5 mg/mL, affinity isolated antibody, buffered aqueous solution

别名:

Anti-DCDC2A, Anti-Doublecortin domain containing 2, Anti-RU2, Anti-RU2S

登录 查看组织和合同定价。

选择尺寸


关于此项目

NACRES:
NA.41
UNSPSC Code:
12352203
Conjugate:
unconjugated
Clone:
polyclonal
Application:
WB
Citations:
4
技术服务
需要帮助?我们经验丰富的科学家团队随时乐意为您服务。
让我们为您提供帮助
技术服务
需要帮助?我们经验丰富的科学家团队随时乐意为您服务。
让我们为您提供帮助

biological source

rabbit

conjugate

unconjugated

antibody form

affinity isolated antibody

antibody product type

primary antibodies

clone

polyclonal

form

buffered aqueous solution

mol wt

antigen ~55 kDa, antigen ~70 kDa

species reactivity

human

enhanced validation

recombinant expression
Learn more about Antibody Enhanced Validation

concentration

~1.5 mg/mL

technique(s)

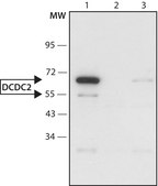
western blot: 1-2 μg/mL using HEK-293T cell lysate expressing human DCDC2

UniProt accession no.

shipped in

dry ice

storage temp.

−20°C

target post-translational modification

unmodified

Gene Information

human ... DCDC2(51473)

General description

DCDC2 belongs to the doublecortin (DCX) superfamily and contains two doublecortin domains. DCDC2 is expressed in fetal and adult CNS.

Application

Anti-DCDC2 antibody produced in rabbit is suitable for western blot analysis at a working concentration of 1-2μg/mL using a HEK-293T cell lysate expressing human DCDC2.

Biochem/physiol Actions

DCDC2 is one of the dyslexia susceptibility genes involved in neuronal migration and other developmental processes. The DCX domain of DCDC2 binds tubulin and enhances microtubule polymerization. Several SNPs within the DCDC2 gene have been associated with dyslexia. It modulates neuronal development in the brain.

Physical form

Solution in 0.01 M phosphate buffered saline, pH 7.4, containing 15 mM sodium azide.

Disclaimer

Unless otherwise stated in our catalog or other company documentation accompanying the product(s), our products are intended for research use only and are not to be used for any other purpose, which includes but is not limited to, unauthorized commercial uses, in vitro diagnostic uses, ex vivo or in vivo therapeutic uses or any type of consumption or application to humans or animals.

未找到合适的产品?  

试试我们的产品选型工具.

存储类别

10 - Combustible liquids

flash_point_f

Not applicable

flash_point_c

Not applicable

ppe

Eyeshields, Gloves, multi-purpose combination respirator cartridge (US)

法规信息

常规特殊物品
此项目有

历史批次信息供参考:

分析证书(COA)

Lot/Batch Number

没有发现合适的版本?

如果您需要特殊版本,可通过批号或批次号查找具体证书。

已有该产品?

在文件库中查找您最近购买产品的文档。

访问文档库

Lauren M McGrath et al.
Trends in molecular medicine, 12(7), 333-341 (2006-06-20)
Four genes have recently been proposed as candidates for dyslexia: dyslexia susceptibility 1 candidate 1 (DYX1C1), roundabout Drosophila homolog 1 (ROBO1), doublecortin domain-containing protein 2 (DCDC2) and KIAA0319. Each gene is implicated in global brain-development processes such as neural migration
Johannes Schumacher et al.
American journal of human genetics, 78(1), 52-62 (2005-12-31)
We searched for linkage disequilibrium (LD) in 137 triads with dyslexia, using markers that span the most-replicated dyslexia susceptibility region on 6p21-p22, and found association between the disease and markers within the VMP/DCDC2/KAAG1 locus. Detailed refinement of the LD region
Markus Schueler et al.
American journal of human genetics, 96(1), 81-92 (2015-01-06)
Nephronophthisis-related ciliopathies (NPHP-RC) are recessive diseases characterized by renal dysplasia or degeneration. We here identify mutations of DCDC2 as causing a renal-hepatic ciliopathy. DCDC2 localizes to the ciliary axoneme and to mitotic spindle fibers in a cell-cycle-dependent manner. Knockdown of
Haiying Meng et al.
Proceedings of the National Academy of Sciences of the United States of America, 102(47), 17053-17058 (2005-11-10)
DYX2 on 6p22 is the most replicated reading disability (RD) locus. By saturating a previously identified peak of association with single nucleotide polymorphism markers, we identified a large polymorphic deletion that encodes tandem repeats of putative brain-related transcription factor binding

相关内容

Instructions

我们的科学家团队拥有各种研究领域经验,包括生命科学、材料科学、化学合成、色谱、分析及许多其他领域.

联系客户支持