跳转至内容
Merck
CN

AMAB92057

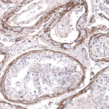
Monoclonal Anti-ITGB1 antibody produced in mouse

Prestige Antibodies® Powered by Atlas Antibodies, clone CL15606, purified antibody (Protein A)

别名:

CD29, FNRB, GPIIA, MDF2, MSK12

登录 查看组织和合同定价。

选择尺寸


关于此项目

UNSPSC Code:
12352203
Conjugate:
unconjugated
Clone:
CL15606, monoclonal
Application:
IHC, WB
Citations:
-
技术服务
需要帮助?我们经验丰富的科学家团队随时乐意为您服务。
让我们为您提供帮助
技术服务
需要帮助?我们经验丰富的科学家团队随时乐意为您服务。
让我们为您提供帮助

biological source

mouse

conjugate

unconjugated

antibody form

purified antibody (Protein A)

antibody product type

primary antibodies

clone

CL15606, monoclonal

product line

Prestige Antibodies® Powered by Atlas Antibodies

species reactivity

human

enhanced validation

orthogonal RNAseq
Learn more about Antibody Enhanced Validation

concentration

1 mg/mL

technique(s)

immunohistochemistry: 1:2500-1:5000, western blot: 1 μg/mL

pH range

7.2-7.4

isotype

IgG1

Ensembl | human accession no.

Protein ID accession no.

UniProt accession no.

shipped in

dry ice

storage temp.

-10 to -25°C

target post-translational modification

unmodified

Quality Level

Gene Information

human ... ITGB1(3688)

正在寻找类似产品? 访问 产品对比指南

General description

The Human Protein Atlas project can be subdivided into three efforts: Human Tissue Atlas, Cancer Atlas, and Human Cell Atlas. The antibodies that have been generated in support of the Tissue and Cancer Atlas projects have been tested by immunohistochemistry against hundreds of normal and disease tissues and through the recent efforts of the Human Cell Atlas project, many have been characterized by immunofluorescence to map the human proteome not only at the tissue level but now at the subcellular level. These images and the collection of this vast data set can be viewed on the Human Protein Atlas (HPA) site by clicking on the Image Gallery link. We also provide Prestige Antibodies® protocols and other useful information.

Immunogen

Recombinant Protein Epitope Signature Tag (PrEST) antigen sequence

Application

The Human Protein Atlas project can be subdivided into three efforts: Human Tissue Atlas, Cancer Atlas, and Human Cell Atlas. The antibodies that have been generated in support of the Tissue and Cancer Atlas projects have been tested by immunohistochemistry against hundreds of normal and disease tissues and through the recent efforts of the Human Cell Atlas project, many have been characterized by immunofluorescence to map the human proteome not only at the tissue level but now at the subcellular level. These images and the collection of this vast data set can be viewed on the Human Protein Atlas (HPA) site by clicking on the Image Gallery link. We also provide Prestige Antibodies®protocols and other useful information.

Physical form

100UL pack size is provided in a solution, in PBS(phosphate-buffered saline), pH 7.2, containing 40% glycerol and 0.02% sodium azide.

Large pack size of 1ml (at 1mg/ml) is available in PBS only, purified, biocide free, carrier free and glycerol free. Order here-https://www.sigmaaldrich.com/US/en/services/support/bulk-quotation-request?tfa_1=AMAB92057&tfa_2=Monoclonal%20Anti-ITGB1%20antibody%20produced%20in%20mouse

Preparation Note

Upon arrival, mix gently and aliquot to avoid repeated freeze-thaw cycles

Legal Information

Prestige Antibodies is a registered trademark of Merck KGaA, Darmstadt, Germany

未找到合适的产品?  

试试我们的产品选型工具.

存储类别

10 - Combustible liquids

法规信息

新产品
此项目有

历史批次信息供参考:

分析证书(COA)

Lot/Batch Number

It looks like we've run into a problem, but you can still download Certificates of Analysis from our 文件 section.

如需帮助,请联系 客户支持

已有该产品?

在文件库中查找您最近购买产品的文档。

访问文档库

我们的科学家团队拥有各种研究领域经验,包括生命科学、材料科学、化学合成、色谱、分析及许多其他领域.

联系客户支持