跳转至内容
Merck
CN

AMAB91792

Anti-TMPRSS2 antibody produced in mouse

Prestige Antibodies® Powered by Atlas Antibodies, clone CL12511, purified by using Protein A, buffered aqueous glycerol solution

别名:

PRSS10

登录 查看组织和合同定价。

选择尺寸


关于此项目

NACRES:
NA.41
UNSPSC Code:
12352203
Conjugate:
unconjugated
Clone:
CL12511, monoclonal
Application:
IHC
Citations:
-
技术服务
需要帮助?我们经验丰富的科学家团队随时乐意为您服务。
让我们为您提供帮助
技术服务
需要帮助?我们经验丰富的科学家团队随时乐意为您服务。
让我们为您提供帮助

biological source

mouse

conjugate

unconjugated

antibody product type

primary antibodies

clone

CL12511, monoclonal

product line

Prestige Antibodies® Powered by Atlas Antibodies

form

buffered aqueous glycerol solution

purified by

using Protein A

species reactivity

human

enhanced validation

orthogonal RNAseq
Learn more about Antibody Enhanced Validation

technique(s)

immunohistochemistry: 1:1000-1:2500

isotype

IgG1

Ensembl | human accession no.

shipped in

wet ice

storage temp.

−20°C

target post-translational modification

unmodified

Quality Level

Gene Information

human ... TMPRSS2(7113)

正在寻找类似产品? 访问 产品对比指南

Immunogen

Transmembrane serine protease 2

Application

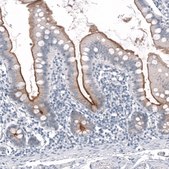
All Prestige Antibodies® Powered by Atlas Antibodies is developed and validated by the Human Protein Atlas (HPA) project . Each antibody is tested by immunohistochemistry against hundreds of normal and disease tissues. These images can be viewed on the Human Protein Atlas (HPA) site by clicking on the Image Gallery link. We also provide Prestige Antibodies® protocols and other useful information.

Features and Benefits

All Prestige Antibodies® Powered by Atlas Antibodies is developed and validated by the Human Protein Atlas (HPA) project . Each antibody is tested by immunohistochemistry against hundreds of normal and disease tissues. These images can be viewed on the Human Protein Atlas (HPA) site by clicking on the Image Gallery link. We also provide Prestige Antibodies® protocols and other useful information.

Physical form

The antibodies are delivered in 40% glycerol and PBS (pH 7.2). 0.02% sodium azide is added as preservative.

Preparation Note

Store at +4°C for short term storage. Long time storage is recommended at -20°C.

Legal Information

Prestige Antibodies is a registered trademark of Merck KGaA, Darmstadt, Germany

未找到合适的产品?  

试试我们的产品选型工具.

存储类别

10 - Combustible liquids

wgk

WGK 1

法规信息

常规特殊物品
此项目有

历史批次信息供参考:

分析证书(COA)

Lot/Batch Number

没有发现合适的版本?

如果您需要特殊版本,可通过批号或批次号查找具体证书。

已有该产品?

在文件库中查找您最近购买产品的文档。

访问文档库

我们的科学家团队拥有各种研究领域经验,包括生命科学、材料科学、化学合成、色谱、分析及许多其他领域.

联系客户支持