跳转至内容
Merck
CN

MABN665

Anti-Synaptotagmin-7 Antibody, clone N275/14

clone N275/14, from mouse

别名:

Synaptotagmin-7, Synaptotagmin VII, SytVII

登录 查看组织和合同定价。

选择尺寸


关于此项目

UNSPSC Code:
12352203
NACRES:
NA.41
eCl@ss:
32160702
Conjugate:
unconjugated
Clone:
N275/14, monoclonal
Application:
IHC, WB
Citations:
5
技术服务
需要帮助?我们经验丰富的科学家团队随时乐意为您服务。
让我们为您提供帮助
技术服务
需要帮助?我们经验丰富的科学家团队随时乐意为您服务。
让我们为您提供帮助

biological source

mouse

conjugate

unconjugated

antibody form

purified immunoglobulin

antibody product type

primary antibodies

clone

N275/14, monoclonal

species reactivity

mouse, human, rat

technique(s)

immunohistochemistry: suitable, western blot: suitable

isotype

IgG2bκ

NCBI accession no.

UniProt accession no.

shipped in

wet ice

target post-translational modification

unmodified

Quality Level

Gene Information

human ... SYT7(9066)

General description

Synaptotagmin-7 is also referred to as Synaptotagmin VII (SytVII) and is a member of the synaptotagmin family of transmembrane transporters. Synaptotagmin-7 is involved in plasma membrane repair, and possibly Ca2+-dependent exocytosis and traffiking of secretory vesicles.
~ 45 kDa observed. Uncharacterized band(s) may appear in some lysates.

Immunogen

Epitope: Cytoplasmic C2A domain
Recombinant protein corresponding to the cytoplasmic C2A domain of mouse Synaptotagmin-7.

Application

Anti-Synaptotagmin-7 Antibody, clone N275/14 is a highly specific mouse monoclonal antibody, that targets Synaptotagmin & has been tested in western blotting & IHC.
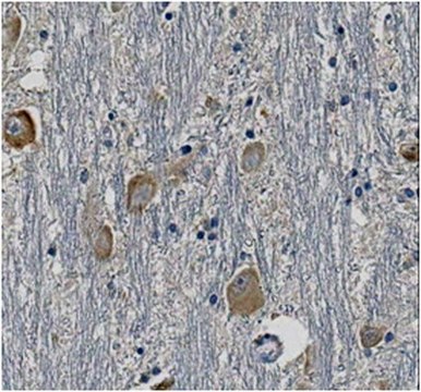
Immunohistochemistry Analysis: A 1:50 dilution from a representative lot detected Synaptotagmin-7 in human thalamus tissue.
Research Category
Neuroscience
Research Sub Category
Developmental Signaling

Biochem/physiol Actions

This antibody recognizes the cytoplasmic C2A domain of Synaptotagmin-7. This antibody does not cross react with Synaptotagmin-6 or other Synaptotagmins (Prof. J. Trimmer, University of California, Davis.).

Physical form

Format: Purified
Protein G Purified
Purified mouse monoclonal IgG2bκ in buffer containing 0.1 M Tris-Glycine (pH 7.4), 150 mM NaCl with 0.05% sodium azide.

Preparation Note

Stable for 1 year at 2-8°C from date of receipt.

Analysis Note

Control
Mouse brain tissue lysate
Evaluated by Western Blotting in mouse brain tissue lysate.

Western Blotting Analysis: 0.5 µg/mL of this antibody detected Synaptotagmin-7 in 10 µg of mouse brain tissue lysate.

Other Notes

Concentration: Please refer to the Certificate of Analysis for the lot-specific concentration.

Disclaimer

Unless otherwise stated in our catalog or other company documentation accompanying the product(s), our products are intended for research use only and are not to be used for any other purpose, which includes but is not limited to, unauthorized commercial uses, in vitro diagnostic uses, ex vivo or in vivo therapeutic uses or any type of consumption or application to humans or animals.

未找到合适的产品?  

试试我们的产品选型工具.

存储类别

12 - Non Combustible Liquids

wgk

WGK 1

flash_point_f

Not applicable

flash_point_c

Not applicable


分析证书(COA)

输入产品批号来搜索 分析证书(COA) 。批号可以在产品标签上"批“ (Lot或Batch)字后找到。

已有该产品?

在文件库中查找您最近购买产品的文档。

访问文档库

Gaël Barthet et al.
Nature communications, 9(1), 4780-4780 (2018-11-16)
Mutations of the intramembrane protease presenilin (PS) or of its main substrate, the amyloid precursor protein (APP), cause early-onset form of Alzheimer disease. PS and APP interact with proteins of the neurotransmitter release machinery without identified functional consequences. Here we
Synaptotagmin-7 Enhances Facilitation of Cav2.1 Calcium Channels.
Djillani, et al.
eNeuro, 9 (2023)
Christopher Weyrer et al.
Cell reports, 36(12), 109719-109719 (2021-09-23)
Synaptotagmin 7 (Syt7) is a high-affinity calcium sensor that is implicated in multiple aspects of synaptic transmission. Here, we study the influence of Syt7 on the climbing fiber (CF) to Purkinje cell (PC) synapse. We find that small facilitation and
Bassam Tawfik et al.
eLife, 10 (2021-03-23)
Synaptotagmins confer calcium-dependence to the exocytosis of secretory vesicles, but how coexpressed synaptotagmins interact remains unclear. We find that synaptotagmin-1 and synaptotagmin-7 when present alone act as standalone fast and slow Ca2+-sensors for vesicle fusion in mouse chromaffin cells. When
Katarina Trajkovic et al.
The Journal of neuroscience : the official journal of the Society for Neuroscience, 37(37), 9000-9012 (2017-08-20)
Huntington's disease (HD) is an autosomal-dominant neurodegenerative disorder caused by the expansion of a CAG triplet in the gene encoding for huntingtin (Htt). The resulting mutant protein (mHtt) with extended polyglutamine (polyQ) sequence at the N terminus leads to neuronal

我们的科学家团队拥有各种研究领域经验,包括生命科学、材料科学、化学合成、色谱、分析及许多其他领域.

联系客户支持