跳转至内容
Merck
CN

MABN531

Anti-Glypican-6 Antibody, clone 6A7.1

clone 6A7.1, from mouse

别名:

Glypican-6, Secreted glypican-6

登录 查看组织和合同定价。

选择尺寸


关于此项目

UNSPSC Code:
12352203
NACRES:
NA.41
eCl@ss:
32160702
Conjugate:
unconjugated
Clone:
6A7.1, monoclonal
Application:
IHC, WB
Citations:
-
技术服务
需要帮助?我们经验丰富的科学家团队随时乐意为您服务。
让我们为您提供帮助
技术服务
需要帮助?我们经验丰富的科学家团队随时乐意为您服务。
让我们为您提供帮助

biological source

mouse

conjugate

unconjugated

antibody form

purified antibody

antibody product type

primary antibodies

clone

6A7.1, monoclonal

species reactivity

mouse, human

technique(s)

immunohistochemistry: suitable, western blot: suitable

isotype

IgG1κ

NCBI accession no.

UniProt accession no.

shipped in

wet ice

target post-translational modification

unmodified

Quality Level

Gene Information

human ... GPC6(10082)

General description

The protein named Glypican-6 and encoded by the gene GPC6, is a cell surface membrane proteoglycan protein that contains heparan sulfate residues and appears to act as a cellular receptor for various growth factors, ECM proteins, and enzymes. Moreover, Glypican-6 when over expressed enhances the migration and invasion of many cancer cells through the direct activation of the WNT5A signaling pathway. Additionally, Glypican-6 serves a developmental function as it is highly expressed in fetal tissues and defects give rises to severe dysmorphism and congenital defects. Glypican-6 is widely expressed in critical fetal tissues from kidney to brain, and in the adult high expression is seen in ovary, kidney, intestines and liver, and abundant in many cancer cells. Defects in Glypican-6 are associated with Omodysplasia 1 a rare autosomal recessive skeletal dysplasia characterized by facial dysmorphism and severe congenital micromelia giving club-like appearance to hands and feet.
~62 kDa observed

Immunogen

GST-tagged recombinant protein corresponding to human Glypican-6.

Application

Detect Glypican using this mouse monoclonal antibody, Anti-Glypican-6 Antibody, clone 6A7.1 validated for use in western blotting & IHC.
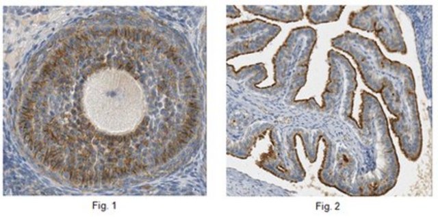
Immunohistochemistry Analysis: A 1:500 dilution from a representative lot detected Glypican-6 in human ovarian follicles and human oviduct tissue.
Research Category
Neuroscience
Research Sub Category
Developmental Signaling

Biochem/physiol Actions

Should detect both pro and secreted for Glypican-6 by immunogen design

Physical form

Format: Purified
Protein G Purified
Purified mouse monoclonal IgG1κ in buffer containing 0.1 M Tris-Glycine (pH 7.4), 150 mM NaCl with 0.05% sodium azide.

Preparation Note

Stable for 1 year at 2-8°C from date of receipt.

Analysis Note

Evaluated by Western Blotting in mouse liver tissue lysate.

Western Blotting Analysis: 1.0 µg/mL of this antibody detected Glypican-6 in 10 µg of mouse liver tissue lysate.

Other Notes

Concentration: Please refer to the Certificate of Analysis for the lot-specific concentration.

Disclaimer

Unless otherwise stated in our catalog or other company documentation accompanying the product(s), our products are intended for research use only and are not to be used for any other purpose, which includes but is not limited to, unauthorized commercial uses, in vitro diagnostic uses, ex vivo or in vivo therapeutic uses or any type of consumption or application to humans or animals.

未找到合适的产品?  

试试我们的产品选型工具.

存储类别

12 - Non Combustible Liquids

wgk

WGK 1

flash_point_f

Not applicable

flash_point_c

Not applicable


分析证书(COA)

输入产品批号来搜索 分析证书(COA) 。批号可以在产品标签上"批“ (Lot或Batch)字后找到。

已有该产品?

在文件库中查找您最近购买产品的文档。

访问文档库

我们的科学家团队拥有各种研究领域经验,包括生命科学、材料科学、化学合成、色谱、分析及许多其他领域.

联系客户支持