biological source
rabbit
antibody form
purified immunoglobulin
antibody product type
primary antibodies
clone
RM101, monoclonal
purified by
affinity chromatography
species reactivity
human
species reactivity (predicted by homology)
all (based on 100% sequence homology)
technique(s)
dot blot: suitable, immunocytochemistry: suitable, immunoprecipitation (IP): suitable, western blot: suitable
isotype
IgG
shipped in
wet ice
target post-translational modification
unmodified
Quality Level
General description
DNA is tightly packed in the nucleus into nucleosomes, generating an environment which is highly repressive towards DNA processes such as transcription. Acetylation of lysine residues within proteins has emerged as an important mechanism used by cells to overcome this repression. The acetylation of non-histone proteins such as transcription factors, as well as histones appears to be involved in this process. Acetylation may result in structural transitions as well as specific signaling within discrete chromatin domains. The role of acetylation in intracellular signaling has been inferred from the binding of acetylated peptides by the conserved bromodomain. Furthermore, recent findings suggest that bromodomain/acetylated-lysine recognition can serve as a regulatory mechanism in protein-protein interactions in numerous cellular processes such as chromatin remodeling and transcriptional activation.
Immunogen
Acetyl lysine-BSA corresponding to all species.
Application
Anti-Acetyl Lysine, Pan, clone RM101 is an antibody against Acetyl Lysine, Pan for use in WB, Dot Blot, ICC, IP.
Immunocytochemistry Analysis: A representative lot detected Acetyl Lysine, Pan in A431 cells.
Dot Blot Analysis: A 1:2,000 dilution from a representative lot detected Acetyl Lysine, Pan in an Absurance Histone H3 Antibody Specificity Array (Cat. No. 16-667) and an Absurance Histone H2A, H2B, H4 Antibody Specificity Array (Cat. No. 16-665).
Immunoprecipitation Analysis: A 1:500 dilution from a representative lot immunoprecipitated Acetyl Lysine, Pan in A431 cell lysate.
Dot Blot Analysis: A 1:2,000 dilution from a representative lot detected Acetyl Lysine, Pan in an Absurance Histone H3 Antibody Specificity Array (Cat. No. 16-667) and an Absurance Histone H2A, H2B, H4 Antibody Specificity Array (Cat. No. 16-665).
Immunoprecipitation Analysis: A 1:500 dilution from a representative lot immunoprecipitated Acetyl Lysine, Pan in A431 cell lysate.
Research Category
Epigenetics & Nuclear Function
Epigenetics & Nuclear Function
Research Sub Category
Nuclear Receptors
Nuclear Receptors
Physical form
Protein A purified
Purified rabbit monoclonal IgG in buffer containing PBS with 1% BSA and 0.09% sodium azide.
Preparation Note
Stable for 1 year at 2-8°C from date of receipt.
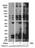
Analysis Note
Evaluated by Western Blotting in Trichostatin A (TSA) treated HeLa cell lysate.
Western Blotting Analysis: A 1:2,000 of this antibody detected Acetyl Lysine, Pan in Trichostatin A (TSA) treated HeLa cell lysate.
Western Blotting Analysis: A 1:2,000 of this antibody detected Acetyl Lysine, Pan in Trichostatin A (TSA) treated HeLa cell lysate.
Other Notes
Concentration: Please refer to lot specific datasheet.
Disclaimer
Unless otherwise stated in our catalog or other company documentation accompanying the product(s), our products are intended for research use only and are not to be used for any other purpose, which includes but is not limited to, unauthorized commercial uses, in vitro diagnostic uses, ex vivo or in vivo therapeutic uses or any type of consumption or application to humans or animals.
未找到合适的产品?
试试我们的产品选型工具.
存储类别
12 - Non Combustible Liquids
wgk
WGK 2
flash_point_f
Not applicable
flash_point_c
Not applicable
我们的科学家团队拥有各种研究领域经验,包括生命科学、材料科学、化学合成、色谱、分析及许多其他领域.
联系客户支持