跳转至内容
Merck
CN

MABC141

Anti-IDH1 Antibody, clone 12D6.1

clone 12D6.1, from mouse

别名:

Isocitrate dehydrogenase [NADP] cytoplasmic, Cytosolic NADP-isocitrate dehydrogenase, IDH, IDP, NADP(+)-specific ICDH, Oxalosuccinate decarboxylase

登录 查看组织和合同定价。

选择尺寸


关于此项目

UNSPSC Code:
12352203
NACRES:
NA.41
eCl@ss:
32160702
Conjugate:
unconjugated
Clone:
12D6.1, monoclonal
Application:
IHC, WB
Citations:
-
技术服务
需要帮助?我们经验丰富的科学家团队随时乐意为您服务。
让我们为您提供帮助
技术服务
需要帮助?我们经验丰富的科学家团队随时乐意为您服务。
让我们为您提供帮助

biological source

mouse

conjugate

unconjugated

antibody form

purified antibody

antibody product type

primary antibodies

clone

12D6.1, monoclonal

species reactivity

human

technique(s)

immunohistochemistry: suitable (paraffin), western blot: suitable

isotype

IgG2bκ

NCBI accession no.

UniProt accession no.

shipped in

wet ice

target post-translational modification

unmodified

Quality Level

Gene Information

human ... IDH1(3417)

General description

Isocitrate dehydrogenase [NADP] cytoplasmic (EC 1.1.1.42; UniProt O75874; also known as Cytosolic NADP-isocitrate dehydrogenase, IDH, IDP, NADP(+)-specific ICDH, Oxalosuccinate decarboxylase) is encoded by the IDH1 (also known as PICD) gene (Gene ID 3417) in human. Isocitrate dehydrogenases (IDHs) catalyze the oxidative decarboxylation of isocitrate to produce alpha-ketoglutarate and carbon dioxide. There exist three forms of IDHs in human (IDH1-3). IDH3 utilizes NAD+ as a cofactor and functions within the citric acid cycle, while IDH1 and IDH2 utilize NADP+ as a cofactor and function outside the context of the citric acid cycle. Mutated IDH1 and IDH2 convert alpha-ketoglutarate to oncometabolite R(-)-2-hydroxyglutarate (2-HG) in cytosol and mitochondria, respectively. Isocitrate dehydrogenase 1 ⁄ 2 mutations have been reported in gliomas, acute myeloid leukemias (AMLs), cartilaginous tumors, osteosarcoma, Giant cell tumors of bone (GCTB), Ollier disease, and Maffucci syndrome.
~46 kDa observed. 46.53 kDa (Met1 removed) calculated.

Immunogen

KLH-conjugated linear peptide corresponding to an internal sequence within the N-terminal half of human IDH1.

Application

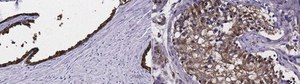
Immunohistochemistry Analysis: A 1:50 dilution from a representative lot detected IDH1 in human prostate cancer tissue, as well as in normal kidney, pancreas, and testis tissue sections.
This Anti-IDH1 Antibody, clone 12D6.1 is validated for use in Western Blotting, Immunohistochemistry (Paraffin) for the detection of IDH1.

Biochem/physiol Actions

Clone 12D6.1 was raised against an internal sequence highly conserved among human, mouse and rat species (different by one amino acid), cross-reactivity to rat and murine species is likely, but has not been confirmed.

Physical form

Format: Purified

Analysis Note

Evaluated by Western Blotting in HepG2 cell lysate.

Western Blotting Analysis: A 1:10,000 dilution of this antibody detected IDH1 in 10 µg of HepG2 cell lysate.

Other Notes

Concentration: Please refer to lot specific datasheet.

未找到合适的产品?  

试试我们的产品选型工具.

存储类别

12 - Non Combustible Liquids

wgk

WGK 1


分析证书(COA)

输入产品批号来搜索 分析证书(COA) 。批号可以在产品标签上"批“ (Lot或Batch)字后找到。

已有该产品?

在文件库中查找您最近购买产品的文档。

访问文档库

我们的科学家团队拥有各种研究领域经验,包括生命科学、材料科学、化学合成、色谱、分析及许多其他领域.

联系客户支持