跳转至内容
Merck
CN

MABC1166

Anti-iASPP Antibody, clone LX128.5

clone LX128.5, from mouse

别名:

RelA-associated inhibitor, Inhibitor of apoptosis-stimulating protein of p53, Inhibitor of ASPP protein, NF-kB-interacting protein 1, PPP1R13B-like protein, Protein iASPP

登录 查看组织和合同定价。

选择尺寸


关于此项目

UNSPSC Code:
12352203
NACRES:
NA.41
eCl@ss:
32160702
Conjugate:
unconjugated
Clone:
LX128.5, monoclonal
Application:
IHC
Citations:
-
技术服务
需要帮助?我们经验丰富的科学家团队随时乐意为您服务。
让我们为您提供帮助
技术服务
需要帮助?我们经验丰富的科学家团队随时乐意为您服务。
让我们为您提供帮助

biological source

mouse

conjugate

unconjugated

antibody form

purified immunoglobulin

antibody product type

primary antibodies

clone

LX128.5, monoclonal

species reactivity

mouse

species reactivity (predicted by homology)

human (based on 100% sequence homology)

technique(s)

immunohistochemistry: suitable (paraffin)

isotype

IgG1κ

NCBI accession no.

UniProt accession no.

shipped in

wet ice

target post-translational modification

unmodified

Quality Level

Gene Information

human ... PPP1R13L(10848)

General description

89.09 kDa calculated.
RelA-associated inhibitor (UniProt Q8WUF5; also known as Inhibitor of apoptosis-stimulating protein of p53, Inhibitor of ASPP protein, NF-kB-interacting protein 1, PPP1R13B-like protein, Protein iASPP) is encoded by the PPP1R13L (also known as IASPP, NKIP1, PPP1R13BL, RAI) gene (Gene ID 10848) in human. Inhibitor of apoptosis-stimulating protein of p53 (iASPP) belongs to the ASPP family of proteins (ASPP1, ASPP2, and iASPP) characterized by their ankyrin repeats (a.a. 659-691 & 692-724 in iASPP), SH3 domain (a.a. 758-820 in iASPP), and proline-rich (a.a. 54-602 in iASPP) sequences. iASPP is expressed at intercalated discs in post-mitotic cardiomyocytes, where it interacts with desmoplakin and desmin in cardiomyocytes to help maintain the integrity of desmosomes and intermediate filament networks. Desmosomes are anchoring junctions found in cells that endure physical stress such as cardiac myocytes or skin keratinocytes. Mutations of genes coding desmosome components, including IASPP/PPP1R13L, are found in human patients suffering from cardiomyopathy and in animal models of cardiomyopathy. iASPP deficiency caused by spontaneous mutation has been reported to be linked to a lethal autosomal recessive cardiomyopathy in Poll Hereford calves and Wa3 mice. iASSP-deficient mice with exon 8 deletion display features of arrhythmogenic right ventricular cardiomyopathy (ARVC) and die of sudden cardiac death.

Immunogen

Synthetic linear peptide corresponding to a sequence from the N-terminal region of human iASPP.

Application

Anti-iASPP Antibody, clone LX128.5 is an antibody against iASPP for use in Immunohistochemistry (Paraffin).
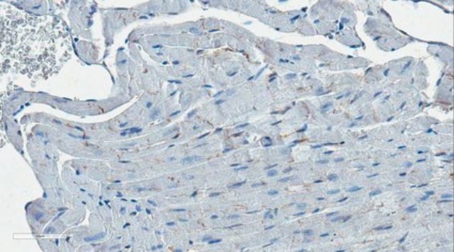
Immunohistochemistry Analysis: A representative lot immunostained intercalated discs in myocardial sections from adult wild-type, but not iASPP-deficient (iASPPΔ8/Δ8) mice (Notari, M., et al. (2015). Proc. Natl. Acad. Sci. U. S. A. 112(9):E973-E981).
Note: iASPP is expressed at intercalated discs. To prepare heart tissue sections for iASPP staining, it is important to cut the tissues at an angle parallel to the plane of the intercalated discs.

Biochem/physiol Actions

Clone LX128.5 immunostained intercalated discs in myocardial sections from wild-type, but not iASPP-deficient (iASPPΔ8/Δ8) adult mice (Notari, M., et al. (2015). Proc. Natl. Acad. Sci. U. S. A. 112(9):E973-E981).

Physical form

Format: Purified

Analysis Note

Evaluated by Immunohistochemistry in mouse heart tissue.

Immunohistochemistry Analysis: A 1:50 dilution of this antibody detected iASPP in mouse heart tissue.

Other Notes

Concentration: Please refer to lot specific datasheet.

未找到合适的产品?  

试试我们的产品选型工具.

存储类别

12 - Non Combustible Liquids

wgk

WGK 1

flash_point_f

Not applicable

flash_point_c

Not applicable


分析证书(COA)

输入产品批号来搜索 分析证书(COA) 。批号可以在产品标签上"批“ (Lot或Batch)字后找到。

已有该产品?

在文件库中查找您最近购买产品的文档。

访问文档库

我们的科学家团队拥有各种研究领域经验,包括生命科学、材料科学、化学合成、色谱、分析及许多其他领域.

联系客户支持