biological source
mouse
conjugate
unconjugated
antibody form
purified immunoglobulin
antibody product type
primary antibodies
clone
7E10, monoclonal
species reactivity
human
packaging
antibody small pack of 25 μg
technique(s)
ELISA: suitable, immunohistochemistry: suitable (paraffin), western blot: suitable
isotype
IgG2aκ
NCBI accession no.
UniProt accession no.
shipped in
ambient
target post-translational modification
unmodified
Quality Level
Gene Information
human ... OVGP1(5016)
General description
75.42 kDa calculated.
Oviduct-specific glycoprotein (UniProt: Q12889; also known as Estrogen-dependent oviduct protein, Mucin-9, Muc-9, Oviductal glycoprotein, Oviductin) is encoded by the OVGP1 (also known as MUC9, OGP) gene (Gene ID: 5016) in human. The mucins are a family of highly glycosylated, secreted proteins with a basic structure consisting of a variable number of tandem repeats. Mucin-9 belongs to the glycosyl hydrolase 18 family that plays a key role in sperm capacitation, fertilization, and development of early embryos. It is secreted from non-ciliated oviductal epithelial cells and its expression is highest at the time of ovulation. Mucin-9 is synthesized with a 21 amino acid signal peptide that is subsequently cleaved off to generate mature protein. Mucin-9 is an estrogen-dependent protein that is secreted into the lumen of the oviduct and associates with the zona pellucida of postovulatory oocytes in oviductal transit, but is absent in ovarian oocytes.
Immunogen
A mixture of GST-tagged recombinant fragments corresponding to 81 amino acids from the N-terminal half and 112 amino acids from the C-terminal region of human Mucin-9/Oviductin.
Application
Anti-Mucin-9, clone 7E10, Cat. No. MABC1109, is mouse monoclonal antibody that detects Mucin-9 (Oviductin) and has been tested for use in ELISA, Immunohistochemistry (Paraffin), and Western Blotting.
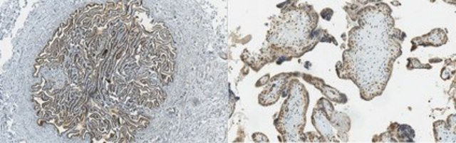
Immunohistochemistry Analysis: A 1:250 dilution from a representative lot detected Mucin-9 in human placenta tissue.
Western Blotting Analysis: A representative lot detected Mucin-9 in Western Blotting applications (Maines-Bandiera, S., et. al. (2010). Int J Gynecol Cancer. 20(1):16-22).
ELISA Analysis: A representative lot detected Mucin-9 in ELISA applications (Maines-Bandiera, S., et. al. (2010). Int J Gynecol Cancer. 20(1):16-22).
Immunohistochemistry Analysis: A representative lot detected Mucin-9 in Immunohistochemistry applications (Maines-Bandiera, S., et. al. (2010). Int J Gynecol Cancer. 20(1):16-22).
Western Blotting Analysis: A representative lot detected Mucin-9 in Western Blotting applications (Maines-Bandiera, S., et. al. (2010). Int J Gynecol Cancer. 20(1):16-22).
ELISA Analysis: A representative lot detected Mucin-9 in ELISA applications (Maines-Bandiera, S., et. al. (2010). Int J Gynecol Cancer. 20(1):16-22).
Immunohistochemistry Analysis: A representative lot detected Mucin-9 in Immunohistochemistry applications (Maines-Bandiera, S., et. al. (2010). Int J Gynecol Cancer. 20(1):16-22).
Research Category
Apoptosis & Cancer
Apoptosis & Cancer
Biochem/physiol Actions
Clone 7E10 detects Mucin-9 (Oviductin) in human oviduct sections.
Physical form
Format: Purified
Protein G purified
Purified mouse monoclonal antibody IgG2a in buffer containing 0.1 M Tris-Glycine (pH 7.4), 150 mM NaCl with 0.05% sodium azide.
Preparation Note
Stable for 1 year at 2-8°C from date of receipt.
Analysis Note
Evaluated by Immunohistochemistry in human oviduct tissue.
Immunohistochemistry Analysis: A 1:250 dilution of this antibody detected Mucin-9 in human oviduct tissue.
Immunohistochemistry Analysis: A 1:250 dilution of this antibody detected Mucin-9 in human oviduct tissue.
Other Notes
Concentration: Please refer to lot specific datasheet.
Disclaimer
Unless otherwise stated in our catalog or other company documentation accompanying the product(s), our products are intended for research use only and are not to be used for any other purpose, which includes but is not limited to, unauthorized commercial uses, in vitro diagnostic uses, ex vivo or in vivo therapeutic uses or any type of consumption or application to humans or animals.
未找到合适的产品?
试试我们的产品选型工具.
存储类别
12 - Non Combustible Liquids
wgk
WGK 1
flash_point_f
Not applicable
flash_point_c
Not applicable
法规信息
新产品
此项目有
我们的科学家团队拥有各种研究领域经验,包括生命科学、材料科学、化学合成、色谱、分析及许多其他领域.
联系客户支持