跳转至内容
Merck
CN

ABS1073

Anti-Dio3 Antibody

from rabbit, purified by affinity chromatography

别名:

Type III iodothyronine deiodinase, 5DIII, DIOIII, Type 3 DI, Type-III 5′-deiodinase, Dio3

登录 查看组织和合同定价。

选择尺寸


关于此项目

UNSPSC Code:
12352203
NACRES:
NA.41
eCl@ss:
32160702
Conjugate:
unconjugated
Clone:
polyclonal
Application:
IF, IHC
Citations:
2
技术服务
需要帮助?我们经验丰富的科学家团队随时乐意为您服务。
让我们为您提供帮助
技术服务
需要帮助?我们经验丰富的科学家团队随时乐意为您服务。
让我们为您提供帮助

biological source

rabbit

conjugate

unconjugated

antibody form

affinity isolated antibody

antibody product type

primary antibodies

clone

polyclonal

purified by

affinity chromatography

species reactivity

human

species reactivity (predicted by homology)

primate (based on 100% sequence homology)

technique(s)

immunofluorescence: suitable, immunohistochemistry: suitable

GenBank accession no.

UniProt accession no.

shipped in

wet ice

target post-translational modification

unmodified

Gene Information

human ... DIO3(1735)

General description

34 kDa calculated
The enzyme DIO3 is a critical enzyme in thyroid hormone metabolism. It converts the thyroid hormone T4 into the inactive form RT3 and it also converts the thyroid hormone T3 into the inactive form T2. It is thought that DIO3 plays a role in preventing premature exposure of the developing fetus to adult levels of thyroid hormones. DIO3 also regulates the levels of fetal thyroid hormones during gestation, thus DIO3 is critical for proper development and metabolism of the fetus during embryological development. DIO3 is expressed in the placenta and in fetal tissues, and DIO3 is localized to the cell membrane and endosomal membranes. DIO3 is also often expressed in neoplastic tissues and in particular basal cell carcinomas.

Immunogen

BSA-conjugated linear peptide corresponding to the extracellular domain of human Dio3.
Epitope: Extracellular domain

Application

Anti-Dio3 Antibody is an antibody against Dio3 Antibody for use in Immunohistochemistry, Immunofluorescence.
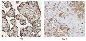
Immunohistochemistry Analysis: A 1:100 dilution from a representative lot detected Dio3 in human placenta.
Immunohistochemistry Analysis: A representative lot detected Dio3 in Hepatic tissue (Huang, S.A., et al. (2001). Journal of Clinical Endocrinology & Metabolism. 87(10):4457–4461).
Immunohistochemistry Analysis: A representative lot detected Dio3 in human uterus, placenta, umbilical cord, fetal epithelial, and endometrium (Huang, S.A., et al. (2003). Journal of Clinical Endocrinology & Metabolism. 88(3):1384-1388).
Research Category
Signaling
Research Sub Category
Signaling Neuroscience

Physical form

Affinity purified
Purified rabbit polyclonal in buffer containing PBS with 0.05% sodium azide.

Preparation Note

Stable for 1 year at 2-8°C from date of receipt.

Analysis Note

Evaluated by Immunohistochemistry in human uterus tissue.

Immunohistochemistry Analysis: A 1:100 dilution of this antibody detected Dio3 in human uterus tissue.

Other Notes

Concentration: Please refer to lot specific datasheet.

Legal Information

GenBank is a registered trademark of United States Department of Health and Human Services

Disclaimer

Unless otherwise stated in our catalog or other company documentation accompanying the product(s), our products are intended for research use only and are not to be used for any other purpose, which includes but is not limited to, unauthorized commercial uses, in vitro diagnostic uses, ex vivo or in vivo therapeutic uses or any type of consumption or application to humans or animals.

未找到合适的产品?  

试试我们的产品选型工具.

存储类别

10 - Combustible liquids

wgk

WGK 2


分析证书(COA)

输入产品批号来搜索 分析证书(COA) 。批号可以在产品标签上"批“ (Lot或Batch)字后找到。

已有该产品?

在文件库中查找您最近购买产品的文档。

访问文档库

我们的科学家团队拥有各种研究领域经验,包括生命科学、材料科学、化学合成、色谱、分析及许多其他领域.

联系客户支持