跳转至内容
Merck
CN

ABN477

Anti-OTUD4 Antibody

from rabbit, purified by affinity chromatography

别名:

OTU domain-containing protein 4, HIV-1-induced protein HIN-1, OTUD4

登录 查看组织和合同定价。

选择尺寸


关于此项目

UNSPSC Code:
12352203
NACRES:
NA.41
eCl@ss:
32160702
Conjugate:
unconjugated
Clone:
polyclonal
Application:
ICC, IF, WB
Citations:
1
技术服务
需要帮助?我们经验丰富的科学家团队随时乐意为您服务。
让我们为您提供帮助
技术服务
需要帮助?我们经验丰富的科学家团队随时乐意为您服务。
让我们为您提供帮助

biological source

rabbit

conjugate

unconjugated

antibody form

affinity isolated antibody

antibody product type

primary antibodies

clone

polyclonal

purified by

affinity chromatography

species reactivity

human

technique(s)

immunocytochemistry: suitable, immunofluorescence: suitable, western blot: suitable

UniProt accession no.

shipped in

wet ice

target post-translational modification

unmodified

Quality Level

Gene Information

human ... OTUD4(54726)

General description

OTU domain-containing protein 4 (OTUD4) is a member of the OTU (ovarian tumor) domain containing cysteine protease superfamily, in which the OTU domain generally confers deubiquitinase activity. High levels of OTUD4 are found in lung, ovary, testis, liver, heart skeletal muscle, kidney, and brain, with lower levels present in pancreas and spleen. Four isoforms of OTUD4 are known to exist, the shortest one being expressed specifically in HIV-1-infected cells.
~108 kDa observed. Uniprot describes four isoforms at ~17 kDa, ~24 kDa, ~117 kDa, and ~124 kDa Uncharacterized bands may appear in some lysates.

Immunogen

KLH-conjugated linear peptide corresponding to human OTUD4.

Application

Detect OTU domain-containing protein 4 using this rabbit polyclonal antibody, Anti-OTUD4 Antibody validated for use in western blotting, ICC & Immunofluorescence.
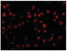
Immunocytochemistry Analysis: 2.5 µg/mL from a representative lot detected OTUD4 in Daudi cells.

Immunofluorescence Analysis: 20 µg/mL from a representative lot detected OTUD4 in Daudi cells.
Research Category
Neuroscience
Research Sub Category
Developmental Neuroscience

Physical form

Antigen Affinity Purified
Purified rabbit polyclonal in buffer containing PBS with up to 0.1% sodium azide.

Preparation Note

Stable for 1 year at 2-8°C from date of receipt.

Analysis Note

Control
Daudi cell lysate
Evaluated by Western Blotting in Daudi cell lysate.

Western Blotting Analysis: 0.25 µg/mL of this antibody detected OTUD4 in 15 µg of Daudi cell lysate.

Other Notes

Concentration: Please refer to the Certificate of Analysis for the lot-specific concentration.

Disclaimer

Unless otherwise stated in our catalog or other company documentation accompanying the product(s), our products are intended for research use only and are not to be used for any other purpose, which includes but is not limited to, unauthorized commercial uses, in vitro diagnostic uses, ex vivo or in vivo therapeutic uses or any type of consumption or application to humans or animals.

未找到合适的产品?  

试试我们的产品选型工具.

wgk

WGK 2

flash_point_f

Not applicable

flash_point_c

Not applicable

存储类别

12 - Non Combustible Liquids


分析证书(COA)

输入产品批号来搜索 分析证书(COA) 。批号可以在产品标签上"批“ (Lot或Batch)字后找到。

已有该产品?

在文件库中查找您最近购买产品的文档。

访问文档库

Zhiqiang Wu et al.
Cancer cell international, 19, 99-99 (2019-04-24)
Radiotherapy is becoming one major therapeutics for non-small cell lung cancer (NSCLC). Identifying novel radiosensitizers will greatly increase the efficacy of radiotherapy and benefit more patients. OTU deubiquitinase 4 (OTUD4) has been reported involved in DNA damage repair pathways and

我们的科学家团队拥有各种研究领域经验,包括生命科学、材料科学、化学合成、色谱、分析及许多其他领域.

联系客户支持