跳转至内容
Merck
CN

ABN307

Anti-LGI1 Antibody

from rabbit

别名:

Leucine-rich, glioma inactivated 1, epitempin, EPT

登录 查看组织和合同定价。

选择尺寸


关于此项目

UNSPSC Code:
12352203
NACRES:
NA.41
eCl@ss:
32160702
Conjugate:
unconjugated
Clone:
polyclonal
Application:
IHC, WB
Citations:
-
技术服务
需要帮助?我们经验丰富的科学家团队随时乐意为您服务。
让我们为您提供帮助
技术服务
需要帮助?我们经验丰富的科学家团队随时乐意为您服务。
让我们为您提供帮助

biological source

rabbit

conjugate

unconjugated

antibody form

affinity isolated antibody

antibody product type

primary antibodies

clone

polyclonal

species reactivity

rat, mouse, human

technique(s)

immunohistochemistry: suitable, western blot: suitable

UniProt accession no.

shipped in

wet ice

target post-translational modification

unmodified

Quality Level

Gene Information

human ... LGI1(9211)

正在寻找类似产品? 访问 产品对比指南

General description

The leucine-rich, glioma inactivated gene 1 (LGI1) was first identified as tumor suppressor gene for glioma and may play a role in other cancers. LGI1 is a member of a family of highly related proteins containing leucine-rich repeats (LRRs) which are very similar to other transmembrane signaling molecules and receptors. LGI1 serves as a ligand to ADAM22, a metalloprotease localized at the synapse. Mutations in LGI1 account for nearly half of autodominant lateral temporal epilepsy (ADTLE), an epileptic syndrome characterized by focal seizures with predominant auditory symptoms.
~64 kDa observed. Uniprot describes 3 isoforms at ~33 kDa, ~58 kDa, and ~64 kDa An uncharacterized band may appear at ~45 kDa in some lysates.

Immunogen

KLH-conjugated linear peptide corresponding to human LGI1.

Application

Detect the LGI1 protein using this Anti-LGI1 validated for use in WB & IHC.
Research Category
Neuroscience
Research Sub Category
Developmental Neuroscience
Western Blot Analysis: 2 µg/mL from a representative lot detected LGI1 in 10 µg/mL of HEK293 cell lysate.

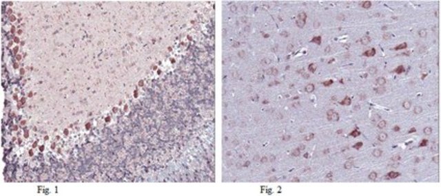
Immunohistochemistry Analysis: A 1:2,000 dilution from a representative lot detected LGI1 in mouse cerebellum and rat cortex tissues.

Biochem/physiol Actions

This antibody recognizes only Isoform 1.

Physical form

Antigen Affinity Purified
Format: Purified
Purified rabbit polyclonal in buffer containing PBS with 0.02% sodium azide.

Preparation Note

Stable for 1 year at 2-8°C from date of receipt.

Analysis Note

Control
Mouse brain tissue lysate
Evaluated by Western Blot in mouse brain tissue lysate.

Western Blot Analysis: 2 µg/mL of this antibody detected LGI1 in 10 µg/mL of mouse brain tissue lysate.

Other Notes

Concentration: Please refer to the Certificate of Analysis for the lot-specific concentration.

Disclaimer

Unless otherwise stated in our catalog or other company documentation accompanying the product(s), our products are intended for research use only and are not to be used for any other purpose, which includes but is not limited to, unauthorized commercial uses, in vitro diagnostic uses, ex vivo or in vivo therapeutic uses or any type of consumption or application to humans or animals.

未找到合适的产品?  

试试我们的产品选型工具.

wgk

WGK 2

flash_point_f

Not applicable

flash_point_c

Not applicable

存储类别

12 - Non Combustible Liquids


分析证书(COA)

输入产品批号来搜索 分析证书(COA) 。批号可以在产品标签上"批“ (Lot或Batch)字后找到。

已有该产品?

在文件库中查找您最近购买产品的文档。

访问文档库

我们的科学家团队拥有各种研究领域经验,包括生命科学、材料科学、化学合成、色谱、分析及许多其他领域.

联系客户支持