跳转至内容
Merck
CN

ABE1788

Anti-Nicotinamide N-methyltransferase

from rabbit, purified by affinity chromatography

别名:

EC 2.1.1.1

登录 查看组织和合同定价。

选择尺寸


关于此项目

UNSPSC Code:
12352203
NACRES:
NA.41
eCl@ss:
32160702
Conjugate:
unconjugated
Clone:
polyclonal
Application:
IHC, WB
Citations:
-
技术服务
需要帮助?我们经验丰富的科学家团队随时乐意为您服务。
让我们为您提供帮助
技术服务
需要帮助?我们经验丰富的科学家团队随时乐意为您服务。
让我们为您提供帮助

biological source

rabbit

conjugate

unconjugated

antibody form

affinity isolated antibody

antibody product type

primary antibodies

clone

polyclonal

purified by

affinity chromatography

species reactivity

human

packaging

antibody small pack of 25 μg

technique(s)

immunohistochemistry: suitable (paraffin), western blot: suitable

isotype

IgG

NCBI accession no.

UniProt accession no.

shipped in

ambient

target post-translational modification

unmodified

Quality Level

Gene Information

human ... NNMT(4837)

General description

Nicotinamide N-methyltransferase (UniProt: P40261; also known as EC: 2.1.1.1) is encoded by the NNMT gene (Gene ID: 4837) in human. Nicotinamide N-methyltransferase is a monomeric, cytoplasmic enzyme that belong to the class I -like SAM-binding methyltransferase superfamily. It catalyzes the N-methylation of nicotinamide and other pyridines with S-Adenosyl-L-methionine (SAM)) serving as the methyl donor. It has two SAM binding sites (aa 63-64 and 142-143). Its catalytic activity is important for biotransformation of many drugs and xenobiotic compounds. Nicotinamide N-methyltransferase is predominantly expressed in the liver. A lower level of expression is seen in the kidney, lung, skeletal muscle, placenta, and heart and it is not detected in the brain or pancreas. Nicotinamide N-methyltransferase inhibition is shown to increases adipose SAM and NAD(+) levels and upregulate ornithine decarboxylase and spermidine-spermine N(1)-acetyltransferase activity and expression. (Ref.: Kraus, D et al. (2014). Nature. 508 (7495); 258-62).
~30 kDa observed; 29.57 kDa calculated. Uncharacterized bands may be observed in some lysate(s).

Immunogen

KLH-conjugated linear peptide corresponding to 15 amino acids from the internal region of human Nicotinamide N-methyltransferase.

Application

Anti-Nicotinamide N-methyltransferase Antibody, Cat. No. ABE1788, is a highly specific rabbit polyclonal antibody that targets human Nicotinamide N-methyltransferase and has been tested in Immunohistochemistry (Paraffin) and Western Blotting.
Research Category
Epigenetics & Nuclear Function
Western Blotting Analysis: 1 µg/mL from a representative lot detected Nicotinamide N-methyltransferase in 10 µg of human kidney lysate and HEK293 cell lysate.

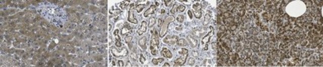
Immunohistochemistry Analysis: A 1:1,000 dilution from a representative lot detected Nicotinamide N-methyltransferase in human liver, human kidney, and human pancreas tissues.

Biochem/physiol Actions

This rabbit polyclonal antibody detects human Nicotinamide N-methyltransferase. It targets an epitope within 15 amino acids from the internal region.

Physical form

Affinity Purified
Purified rabbit polyclonal antibody in buffer containing 0.1 M Tris-Glycine (pH 7.4), 150 mM NaCl with 0.05% sodium azide.

Preparation Note

Stable for 1 year at 2-8°C from date of receipt.

Analysis Note

Evaluated by Western Blotting in HepG2 cell lysate.

Western Blotting Analysis: 1 µg/mL of this antibody detected Nicotinamide N-methyltransferase in 10 µg of HepG2 cell lysate.

Other Notes

Concentration: Please refer to lot specific datasheet.

Disclaimer

Unless otherwise stated in our catalog or other company documentation accompanying the product(s), our products are intended for research use only and are not to be used for any other purpose, which includes but is not limited to, unauthorized commercial uses, in vitro diagnostic uses, ex vivo or in vivo therapeutic uses or any type of consumption or application to humans or animals.

未找到合适的产品?  

试试我们的产品选型工具.

存储类别

12 - Non Combustible Liquids

wgk

WGK 1

flash_point_f

does not flash

flash_point_c

does not flash


分析证书(COA)

输入产品批号来搜索 分析证书(COA) 。批号可以在产品标签上"批“ (Lot或Batch)字后找到。

已有该产品?

在文件库中查找您最近购买产品的文档。

访问文档库

我们的科学家团队拥有各种研究领域经验,包括生命科学、材料科学、化学合成、色谱、分析及许多其他领域.

联系客户支持