跳转至内容
Merck
CN

ABE1304

Anti-monomethyl Histone H3 (Lys4) Antibody

from rabbit, purified by affinity chromatography

别名:

Histone H3.1, Histone H3/a, Histone H3/b, Histone H3/c, Histone H3/d, Histone H3/f, Histone H3/h, Histone H3/I, Histone H3/j, Histone H3/k, Histone H3/l

登录 查看组织和合同定价。

选择尺寸


关于此项目

UNSPSC Code:
12352203
NACRES:
NA.41
eCl@ss:
32160702
Clone:
polyclonal
Species reactivity:
rat, human
Application:
DB, IHC, IP, WB
Citations:
-
技术服务
需要帮助?我们经验丰富的科学家团队随时乐意为您服务。
让我们为您提供帮助
技术服务
需要帮助?我们经验丰富的科学家团队随时乐意为您服务。
让我们为您提供帮助

biological source

rabbit

antibody form

affinity isolated antibody

antibody product type

primary antibodies

clone

polyclonal

purified by

affinity chromatography

species reactivity

rat, human

technique(s)

dot blot: suitable, immunohistochemistry: suitable, immunoprecipitation (IP): suitable, western blot: suitable

NCBI accession no.

UniProt accession no.

shipped in

wet ice

target post-translational modification

monomethylation (Lys4)

Quality Level

Gene Information

human ... HIST1H3F(8968)

正在寻找类似产品? 访问 产品对比指南

General description

Histones are highly conserved proteins that serve as the structural scaffold for the organization of nuclear DNA into chromatin. Histone modifications regulate DNA transcription, repair, recombination, and replication. The most commonly studied modifications are acetylation, phosphorylation, methylation, and ubiquitination. These modifications can alter local chromatin architecture, or recruit trans-acting factors that recognize specific histone modifications (the "histone code" hypothesis). Histone H3 is acetylated on Lys14 by Gcn5, and histone H3 phosphorylation at Ser10 facilitates acetylation of Lys14 by Gcn5 in vitro. Moreover, Lys14 is involved in chromatin remodeling, and RSC4 (part of the RSC chromatin remodeling complex) contains essential tandem bromodomains that require H3 Lys14 acetylation for gene activation.
~17 kDa observed

Immunogen

Epitope: N-terminus
KLH-conjugated linear peptide corresponding to the N-terminus of human monomethyl Histone H3 (Lys4).

Application

Anti-monomethyl Histone H3 (Lys4) is an antibody against monomethyl Histone H3 (Lys4) for use in WB, IP, IH, Dot Blot.
Dot Blot Analysis: A 1:1,000 dilution from a representative lot detected monomethyl Histone H3 (Lys4) in an Absurance Histone H3 Antibody Specificity Array (Cat. No. 16-667) and an Absurance Histone H2A, H2B, H4 Antibody Specificity Array (Cat. No. 16-665).
Immunoprecipitation Analysis: 10 µg from a representative lot immunoprecipitated monomethyl Histone H3 (Lys4) in 500 µg of HeLa acid extract.
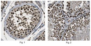
Immunohistochemistry Analysis: A 1:1,000 dilution from a representative lot detected monomethyl Histone H3 (Lys4) in human and rat testis tissue.
Research Category
Epigenetics & Nuclear Function
Research Sub Category
Nuclear Receptors

Physical form

Affinity purified
Purified rabbit polyclonal in buffer containing 0.1 M Tris-Glycine (pH 7.4), 150 mM NaCl with 0.05% sodium azide.

Preparation Note

Stable for 1 year at 2-8°C from date of receipt.

Analysis Note

Evaluated by Western Blotting in HeLa acid extract.

Western Blotting Analysis: 0.5 µg/mL of this antibody detected monomethyl Histone H3 (Lys4) in 10 µg of HeLa acid extract.

Other Notes

Concentration: Please refer to lot specific datasheet.

Disclaimer

Unless otherwise stated in our catalog or other company documentation accompanying the product(s), our products are intended for research use only and are not to be used for any other purpose, which includes but is not limited to, unauthorized commercial uses, in vitro diagnostic uses, ex vivo or in vivo therapeutic uses or any type of consumption or application to humans or animals.

未找到合适的产品?  

试试我们的产品选型工具.

存储类别

12 - Non Combustible Liquids

wgk

WGK 1

flash_point_f

Not applicable

flash_point_c

Not applicable


分析证书(COA)

输入产品批号来搜索 分析证书(COA) 。批号可以在产品标签上"批“ (Lot或Batch)字后找到。

已有该产品?

在文件库中查找您最近购买产品的文档。

访问文档库

我们的科学家团队拥有各种研究领域经验,包括生命科学、材料科学、化学合成、色谱、分析及许多其他领域.

联系客户支持