跳转至内容
Merck
CN

ABC844

Anti-IEX1 Antibody

from rabbit, purified by affinity chromatography

别名:

Radiation-inducible immediate-early gene IEX-1, Differentiation-dependent gene 2 protein, Protein DIF-2, Immediate early protein GLY96, Immediate early response 3 protein, PACAP-responsive gene 1 protein, Protein PRG1, IEX1

登录 查看组织和合同定价。

选择尺寸


关于此项目

UNSPSC Code:
12352203
NACRES:
NA.41
eCl@ss:
32160702
Conjugate:
unconjugated
Clone:
polyclonal
Application:
IF, IHC, WB
Citations:
-
技术服务
需要帮助?我们经验丰富的科学家团队随时乐意为您服务。
让我们为您提供帮助
技术服务
需要帮助?我们经验丰富的科学家团队随时乐意为您服务。
让我们为您提供帮助

biological source

rabbit

conjugate

unconjugated

antibody form

affinity isolated antibody

antibody product type

primary antibodies

clone

polyclonal

purified by

affinity chromatography

species reactivity

human

technique(s)

immunofluorescence: suitable, immunohistochemistry: suitable, western blot: suitable

UniProt accession no.

shipped in

wet ice

target post-translational modification

unmodified

Quality Level

Gene Information

human ... IER3(8870)

General description

Radiation-inducible immediate-early gene IEX-1, also known as Differentiation-dependent gene 2 protein (DIF-2) or PACAP-responsive gene 1 protein (Protein PRG1), and encoded by the gene name IER3 or DIF2 or IEX1 or PRG1, is a stress inducible gene that is induced by ionizing radiation, ultraviolet radiation, and a variety of growth factors, i.e., FAS and TNF-α. IEX1 is widely expressed in epithelial and endocrine tissues, as well as in vascular endothelium. IEX1 plays an important role in the regulation of cellular growth, cell death and oncogenesis and is precisely regulated by multiple transcription factors such as p53, NF-κB/rel, Sp1 and c-Myc, to ensure rapid and transient expression of IEX1 in cells under a variety of stress conditions. IEX1 is expressed as both a longer form (IEX1L) and a splice variant, designated IEX1S. It is localized to the nucleus and perinuclear region. Overexpression of IEX1 facilitates apoptosis and cell cycle progression, whereas disruption of IEX1 expression is associated with decreases in both apoptosis and cell cycle progression.
~16 kDa observed. Uncharacterized bands may be observed in some lysate(s).

Immunogen

Epitope: Center region
KLH-conjugated synthetic peptide corresponding to the center region of human IEX1.

Application

Anti-IEX1 Antibody is an antibody against IEX1 for use in western blotting, IHC & immunofluorescence.
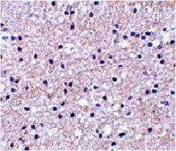
Immunohistochemistry Analysis: 2.5 μg/mL from a representative lot detected IEX1 in human liver tissue.

Immunofluorescence Analysis: 20 μg/mL from a representative lot detected IEX1 in human brain cells.
Research Category
Apoptosis & Cancer
Research Sub Category
Apoptosis - Additional

Physical form

Affinity
Purified rabbit polyclonal in buffer containing PBS with up to 0.1% sodium azide.

Preparation Note

Stable for 1 year at 2-8°C from date of receipt.

Analysis Note

Evaluated by Western Blotting in human brain tissue lysate.

Western Blotting Analysis: 4 μg/mL of this antibody detected IEX1 in human brain tissue lysate.

Other Notes

Concentration: Please refer to the Certificate of Analysis for the lot-specific concentration.

Disclaimer

Unless otherwise stated in our catalog or other company documentation accompanying the product(s), our products are intended for research use only and are not to be used for any other purpose, which includes but is not limited to, unauthorized commercial uses, in vitro diagnostic uses, ex vivo or in vivo therapeutic uses or any type of consumption or application to humans or animals.

未找到合适的产品?  

试试我们的产品选型工具.

存储类别

12 - Non Combustible Liquids

wgk

WGK 2

flash_point_f

Not applicable

flash_point_c

Not applicable


分析证书(COA)

输入产品批号来搜索 分析证书(COA) 。批号可以在产品标签上"批“ (Lot或Batch)字后找到。

已有该产品?

在文件库中查找您最近购买产品的文档。

访问文档库

我们的科学家团队拥有各种研究领域经验,包括生命科学、材料科学、化学合成、色谱、分析及许多其他领域.

联系客户支持