跳转至内容
Merck
CN

AB10557

Anti-Lhx2 Antibody

from rabbit, purified by affinity chromatography

别名:

Homeobox protein LH-2, LIM HOX gene 2, LIM homeobox 2, LIM homeobox protein 2

登录 查看组织和合同定价。

选择尺寸


关于此项目

UNSPSC Code:
12352203
NACRES:
NA.41
eCl@ss:
32160702
Conjugate:
unconjugated
Clone:
polyclonal
Application:
IHC
Citations:
1
技术服务
需要帮助?我们经验丰富的科学家团队随时乐意为您服务。
让我们为您提供帮助
技术服务
需要帮助?我们经验丰富的科学家团队随时乐意为您服务。
让我们为您提供帮助

biological source

rabbit

conjugate

unconjugated

antibody form

affinity purified immunoglobulin

antibody product type

primary antibodies

clone

polyclonal

purified by

affinity chromatography

species reactivity

human

species reactivity (predicted by homology)

horse, bovine (93%), dog

technique(s)

immunohistochemistry: suitable

NCBI accession no.

UniProt accession no.

shipped in

wet ice

target post-translational modification

unmodified

Quality Level

Gene Information

human ... LHX2(9355)

正在寻找类似产品? 访问 产品对比指南

General description

Approx. 44 kDa
LIM homeobox 2, also known as LHX2, is a gene that belongs to the LIM homeobox family. These genes seem to play an important role in asymmetric cell division, tissue specification and differentiation of specific cell types. LHX2 is expressed in developing B-cells, the forebrain, liver, during embryonic development when limbs and organs are developing, in the optic stalk, and olfactory epithelia. Studies have shown that under-expression of LHX2 during embryonic development causes hepatic fibrosis.

Immunogen

This antibody is generated from rabbits immunized with a KLH conjugated linear peptide selected from residues of human LHX2.

Application

This Anti-Lhx2 Antibody is validated for use in IH for the detection of Lhx2.

Biochem/physiol Actions

Mouse (80%) homology.
This antibody recognizes LHX2.

Analysis Note

Control
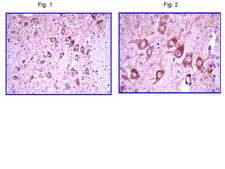
Human hippocampal and mouse cerebellum tissue.
Evaluated by Immunohistochemistry in human hippocampal and mouse cerebellum tissue.
Immunohistochemistry Analysis: 1:100-500 dilution of this lot detected LHX2 in human hippocampal tissue and mouse cerebellum.

Other Notes

Concentration: Please refer to the Certificate of Analysis for the lot-specific concentration.

未找到合适的产品?  

试试我们的产品选型工具.

存储类别

12 - Non Combustible Liquids

wgk

WGK 1

flash_point_f

Not applicable

flash_point_c

Not applicable


分析证书(COA)

输入产品批号来搜索 分析证书(COA) 。批号可以在产品标签上"批“ (Lot或Batch)字后找到。

已有该产品?

在文件库中查找您最近购买产品的文档。

访问文档库

Jin-Chong Xu et al.
Science translational medicine, 8(333), 333ra48-333ra48 (2016-04-08)
Translating neuroprotective treatments from discovery in cell and animal models to the clinic has proven challenging. To reduce the gap between basic studies of neurotoxicity and neuroprotection and clinically relevant therapies, we developed a human cortical neuron culture system from

我们的科学家团队拥有各种研究领域经验,包括生命科学、材料科学、化学合成、色谱、分析及许多其他领域.

联系客户支持