跳转至内容
Merck
CN

07-1225

Anti-PP5 Antibody

Upstate®, from rabbit

别名:

Protein phosphatase T, Serine/Threonine phosphatase, Serine/threonine-protein phosphatase 5, Protein phosphatase 5, catalytic subunit

登录 查看组织和合同定价。

选择尺寸


关于此项目

UNSPSC Code:
12352203
NACRES:
NA.41
eCl@ss:
32160702
Conjugate:
unconjugated
Clone:
polyclonal
Application:
IHC, WB
Citations:
-
技术服务
需要帮助?我们经验丰富的科学家团队随时乐意为您服务。
让我们为您提供帮助
技术服务
需要帮助?我们经验丰富的科学家团队随时乐意为您服务。
让我们为您提供帮助

biological source

rabbit

conjugate

unconjugated

antibody form

purified immunoglobulin

antibody product type

primary antibodies

clone

polyclonal

species reactivity

mouse, human

manufacturer/tradename

Upstate®

technique(s)

immunohistochemistry: suitable (paraffin), western blot: suitable

isotype

IgG

NCBI accession no.

UniProt accession no.

shipped in

wet ice

target post-translational modification

unmodified

Quality Level

Gene Information

human ... PPP5C(5536)

General description

58 kDa
Protein phosphatase 5 (PP5) is a novel human protein serine/threonine phosphatase of molecular weight of 58 kDa. It is made up of a C-terminal phosphatase catalytic domain and an N-terminal domain, which has four repeats of 34 amino acids, three of which are tandemly arranged. The phosphatase domain contains all of the invariant motifs of the PP1/PP2A/PP2B gene family. However, it is not closely related to any other known member of this family of phosphatases. Thus it makes up a new subfamily of phosphatases. PP5 expressed in bacteria has been shown to dephosphorylate serine residues in proteins and is more sensitive than PP1 to the tumor promoter okadaic acid. PP5 appears to be localized to the nucleus where it is thought to play a roll in the regulation of RNA biogenesis and mitosis as part of a signaling pathway regulating cell cycle progression.

Immunogen

Synthetic peptide derived from the human protein phosphatase 5 protein.

Application

Detect PP5 using this Anti-PP5 Antibody validated for use in WB, IH(P).
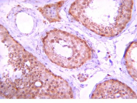
Immunohistochemistry(paraffin):
Representative images from a previous lot.

Optimal Staining of PP5 Polyclonal Antibody: Human Testis
Research Category
Signaling
Research Sub Category
Kinases & Phosphatases

Biochem/physiol Actions

Recognizes Protein Phosphatase 5 (PP5).

Physical form

Format: Purified
Purified rabbit polyclonal IgG in phosphate buffered saline with 0.08% sodium azide

Preparation Note

Maintain at -20°C in undiluted aliquots for up to 1 year from date of receipt.
Handling Recommendations: Upon first thaw, and prior to removing the cap, centrifuge the vial and gently mix the solution. Aliquot into microcentrifuge tubes and store at -20°C. Avoid repeated freeze/thaw cycles, which may damage IgG and affect product performance.

Analysis Note

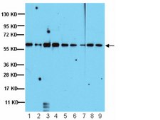
Control
Jurkat Cell Lysate, A549 and MCF-7 cell lysates.
Routinely evaluated by Western Blot on Jurkat lysates.

Western Blot Analysis: 1:500 dilution of this lot detected PP-5 on 10 μg of Jurkat lysates

Other Notes

Concentration: Please refer to the Certificate of Analysis for the lot-specific concentration.
Replaces: AB4092

Legal Information

UPSTATE is a registered trademark of Merck KGaA, Darmstadt, Germany

Disclaimer

Unless otherwise stated in our catalog or other company documentation accompanying the product(s), our products are intended for research use only and are not to be used for any other purpose, which includes but is not limited to, unauthorized commercial uses, in vitro diagnostic uses, ex vivo or in vivo therapeutic uses or any type of consumption or application to humans or animals.

未找到合适的产品?  

试试我们的产品选型工具.

存储类别

12 - Non Combustible Liquids

wgk

WGK 2

flash_point_f

Not applicable

flash_point_c

Not applicable


分析证书(COA)

输入产品批号来搜索 分析证书(COA) 。批号可以在产品标签上"批“ (Lot或Batch)字后找到。

已有该产品?

在文件库中查找您最近购买产品的文档。

访问文档库

我们的科学家团队拥有各种研究领域经验,包括生命科学、材料科学、化学合成、色谱、分析及许多其他领域.

联系客户支持