biological source
rabbit
conjugate
unconjugated
antibody form
purified immunoglobulin
antibody product type
primary antibodies
clone
polyclonal
species reactivity
mouse, rat, bovine, human
technique(s)
immunohistochemistry: suitable (paraffin), immunoprecipitation (IP): suitable, western blot: suitable
isotype
IgG
NCBI accession no.
UniProt accession no.
shipped in
wet ice
target post-translational modification
unmodified
Quality Level
Gene Information
human ... PPP6C(5537)
General description
Recognizes the catalytic subunit of Protein Phosphatase 6 (PP6), MW ~33kDa
This gene encodes the catalytic subunit of protein phosphatase, a component of a signaling pathway regulating cell cycle progression.
Immunogen
The immunogen used to the purified peptide conjugated to KLH corresponding to the sequence NH2-Cys-Ala-Val-Pro-Asp-Ser-Glu-Arg-Val-Ile- Pro-Pro-Arg-Thr-Thr-Thr-Pro-Tyr-COOH.
Application
Immunoprecipitation: A previous lot of this antibody was used in immunoprecipitation at a dilution of 10-20 µg/mL.
Immunohistochemistry(paraffin):
Optimal Staining of PP6 Polyclonal Antibody:
Human Testis
PP6 staining of round spermatids in normal human
testis, tissue pretreated with citrate buffer, pH 6.0.
Antibody was diluted 1:100, using IHC-Select
detection with HRP-DAB.
Immunohistochemistry(paraffin):
Optimal Staining of PP6 Polyclonal Antibody:
Human Testis
PP6 staining of round spermatids in normal human
testis, tissue pretreated with citrate buffer, pH 6.0.
Antibody was diluted 1:100, using IHC-Select
detection with HRP-DAB.
Detect PP6C using this Anti-PP6C Antibody validated for use in WB, IP, IH(P).
Research Category
Signaling
Signaling
Research Sub Category
Kinases & Phosphatases
Kinases & Phosphatases
Biochem/physiol Actions
Recognizes the catalytic subunit of Protein Phosphatase 6, MW ~33kDa.
Physical form
Format: Purified
Purified rabbit polyclonal IgG in buffer containing PBS with 0.08% sodium azide.
Preparation Note
Maintain at -20°C in undiluted aliquots for up to 1 year from date of receipt.
Handling Recommendations: Upon first thaw, and prior to removing the cap, centrifuge the vial and gently mix the solution. Aliquot into microcentrifuge tubes and store at -20°C. Avoid repeated freeze/thaw cycles, which may damage IgG and affect product performance.
Handling Recommendations: Upon first thaw, and prior to removing the cap, centrifuge the vial and gently mix the solution. Aliquot into microcentrifuge tubes and store at -20°C. Avoid repeated freeze/thaw cycles, which may damage IgG and affect product performance.
Analysis Note
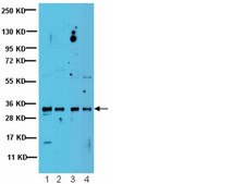
Control
Jurkat Cell Lysate
Jurkat Cell Lysate
Routinely evaluated by Western Blot on Jurkat lysates.
Western Blot Analysis: 1:500 dilution of this lot detected PP6C on 10 μg of Jurkat lysates.
Western Blot Analysis: 1:500 dilution of this lot detected PP6C on 10 μg of Jurkat lysates.
Other Notes
Concentration: Please refer to the Certificate of Analysis for the lot-specific concentration.
Replaces: AB4091
Disclaimer
Unless otherwise stated in our catalog or other company documentation accompanying the product(s), our products are intended for research use only and are not to be used for any other purpose, which includes but is not limited to, unauthorized commercial uses, in vitro diagnostic uses, ex vivo or in vivo therapeutic uses or any type of consumption or application to humans or animals.
未找到合适的产品?
试试我们的产品选型工具.
wgk
WGK 2
flash_point_f
Not applicable
flash_point_c
Not applicable
存储类别
12 - Non Combustible Liquids
Xiangli Cui et al.
Carcinogenesis, 31(10), 1734-1741 (2010-08-24)
We have recently shown that American ginseng (AG) prevents and treats mouse colitis. Because both mice and humans with chronic colitis have a high colon cancer risk, we tested the hypothesis that AG can be used to prevent colitis-driven colon
Zhikai Wang et al.
Nature communications, 13(1), 7815-7815 (2022-12-20)
Protein Phosphatase 6 down-regulation in keratinocytes is a pivotal event that amplifies the inflammatory circuits in psoriasis, indicating that restoration of protein phosphatase 6 can be a rational strategy for psoriasis treatment. Through the phenotypic screen, we here identify L-menthol
Jordan Wengrod et al.
Science signaling, 8(367), ra27-ra27 (2015-03-12)
Amino acid deprivation promotes the inhibition of the kinase complex mTORC1 (mammalian target of rapamycin complex 1) and activation of the kinase GCN2 (general control nonrepressed 2). Signaling pathways downstream of both kinases have been thought to independently induce autophagy.
Jian Ye et al.
Journal of immunology (Baltimore, Md. : 1950), 194(4), 1654-1664 (2015-01-23)
T cell development and homeostasis are both regulated by TCR signals. Protein phosphorylation and dephosphorylation, which are catalyzed by protein kinases and phosphatases, respectively, serve as important switches controlling multiple downstream pathways triggered by TCR recognition of Ags. It has
Fangzhou Lou et al.
Immunity, 53(1), 204-216 (2020-06-20)
Psoriasis is a chronic inflammatory disease whose etiology is multifactorial. The contributions of cellular metabolism to psoriasis are unclear. Here, we report that interleukin-17 (IL-17) downregulated Protein Phosphatase 6 (PP6) in psoriatic keratinocytes, causing phosphorylation and activation of the transcription
我们的科学家团队拥有各种研究领域经验,包括生命科学、材料科学、化学合成、色谱、分析及许多其他领域.
联系客户支持