isotype
IgG2a
biological source
mouse
conjugate
unconjugated
antibody form
affinity isolated antibody
antibody product type
primary antibodies
clone
F10-89-4, monoclonal
purified by
affinity chromatography
species reactivity
mouse
species reactivity (predicted by homology)
human, rat
technique(s)
flow cytometry: suitable, immunofluorescence: suitable, immunohistochemistry: suitable (paraffin), immunoprecipitation (IP): suitable, western blot: suitable
NCBI accession no.
UniProt accession no.
target post-translational modification
unmodified
Quality Level
Gene Information
human ... PTPRC(5788)
General description
CD45 is a receptor-tyrosine phosphatase required for antigen-induced signaling in T-cells and B-cells; its substrates are unknown. Interestingly, it associates with several Src-family tyrosine kinases, which are inhibited by tyrosine phosphorylation in their c-termini, suggesting a mechanism for signaling by CD45.
~180-220 kDa
Immunogen
Purified T cells from human lymph nodes
Application
Anti-CD45 Antibody, clone F10-89-4 detects level of CD45 & has been published & validated for use in FC, WB, IF, IP, IH(P).
Immunofluorescence: A previous lot of this antibody was used in the identification of cells of leucocyte origin by indirect staining.
Immunohistochemistry (paraffin): A previous lot of this antibody was used in the discrimination between malignant cells of haematopoietic origin and other malignancies in frozen tissue sections.
Immunoprecipitation: A previous lot of this antibody was used in studies of the leucocyte common antigen complex and its identification by the Western blotting technique.
Flow Cytometry: Studies of CD45 expression and the association with T-cell receptor signaling was performed using this antibody of previous lot.
Studies of the mechanism by which CD45 regulates B cell activation through protein tyrosine phospatases.
Optimal working dilutions must be determined by the end user.
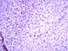
Immunohistochemistry(paraffin): Representative testing from a previous lot.
Optimal Staining of CD45 Monoclonal Antibody: Tonsil
Immunohistochemistry (paraffin): A previous lot of this antibody was used in the discrimination between malignant cells of haematopoietic origin and other malignancies in frozen tissue sections.
Immunoprecipitation: A previous lot of this antibody was used in studies of the leucocyte common antigen complex and its identification by the Western blotting technique.
Flow Cytometry: Studies of CD45 expression and the association with T-cell receptor signaling was performed using this antibody of previous lot.
Studies of the mechanism by which CD45 regulates B cell activation through protein tyrosine phospatases.
Optimal working dilutions must be determined by the end user.
Immunohistochemistry(paraffin): Representative testing from a previous lot.
Optimal Staining of CD45 Monoclonal Antibody: Tonsil
Research Category
Signaling
Signaling
Research Sub Category
Immunological Signaling
Immunological Signaling
Biochem/physiol Actions
This antibody reacts with the leucocyte common antigen (LCA) complex to be found on lymphocytes, monocytes, granulocytes, thymocytes and malignant T and B cells. No reactivity has been observed with primary or metastatic carcinoma cells. Plasma cells or myeloma cells may have weak expression or be negative for this antigen.
The LCA comprises of at least 5 isoforms ranging from 180-220 kDa which are produced as a result of alternative splicing of exons A, B or C. CBL 124 recognizes epitopes common to
all of the isoforms.
Antigen distribution:
Thymocytes >95%
Granulocytes >95%
Monocytes >95%
B cells (CD20+) >95%
T cells (CD3+) >95%
NK cells (CD16+) >95%
Peripheral blood lymphocytes >95%
FUSION PARTNER: NS1 myeloma cell line
The LCA comprises of at least 5 isoforms ranging from 180-220 kDa which are produced as a result of alternative splicing of exons A, B or C. CBL 124 recognizes epitopes common to
all of the isoforms.
Antigen distribution:
Thymocytes >95%
Granulocytes >95%
Monocytes >95%
B cells (CD20+) >95%
T cells (CD3+) >95%
NK cells (CD16+) >95%
Peripheral blood lymphocytes >95%
FUSION PARTNER: NS1 myeloma cell line
Physical form
Protein A affinity chromatography
Purified mouse monoclonal IgG2a presented in phosphate buffered saline containing 10 mM sodium azide and 1 mg/mL bovine serum albumin.
We recommend that each laboratory determine an optimum working titre for use in its particular application.
We recommend that each laboratory determine an optimum working titre for use in its particular application.
Preparation Note
For use within 1 month of purchase store at 2-8°C, for long term storage aliquot antibody into small volumes and store at -20°C for up to one year from date of receipt.
Handling Recommendations: Upon first thaw, and prior to removing the cap, centrifuge the vial and gently mix the solution. Aliquot into microcentrifuge tubes and store at -20°C. Avoid repeated freeze/thaw cycles, which may damage IgG and affect product performance.
Handling Recommendations: Upon first thaw, and prior to removing the cap, centrifuge the vial and gently mix the solution. Aliquot into microcentrifuge tubes and store at -20°C. Avoid repeated freeze/thaw cycles, which may damage IgG and affect product performance.
Analysis Note
Control
Jurkat cell lysate
Jurkat cell lysate
Routinely evaluated by Western Blot on jurkat cell lysate.
Western Blot Analysis: 1:500 dilution of this lot detected CD45 on 10 μg of Jurkat lysates
Western Blot Analysis: 1:500 dilution of this lot detected CD45 on 10 μg of Jurkat lysates
Other Notes
Concentration: Please refer to the Certificate of Analysis for the lot-specific concentration.
Replaces: 04-1102
Disclaimer
Unless otherwise stated in our catalog or other company documentation accompanying the product(s), our products are intended for research use only and are not to be used for any other purpose, which includes but is not limited to, unauthorized commercial uses, in vitro diagnostic uses, ex vivo or in vivo therapeutic uses or any type of consumption or application to humans or animals.
未找到合适的产品?
试试我们的产品选型工具.
存储类别
12 - Non Combustible Liquids
wgk
WGK 2
flash_point_f
Not applicable
flash_point_c
Not applicable
The effect of stromal cell-derived factor-1?/heparin coating of biodegradable vascular grafts on the recruitment of both endothelial and smooth muscle progenitor cells for accelerated regeneration.
Jian Yu,Aijun Wang,Zhenyu Tang,Jeffrey Henry,Benjamin Li-Ping Lee,Yiqian Zhu,Failei Yuan et al.
Biomaterials null
Olena Preobrazhenska et al.
PloS one, 7(6), e39761-e39761 (2012-07-05)
Chronic obstructive lung disease (COPD) is characterized by matrix deposition in the small airways but matrix loss from the parenchyma, phenomena which must depend on the ability of local fibroblasts to produce matrix after smoke exposure. To investigate this idea
Kimberly Sauls et al.
Journal of cardiovascular development and disease, 2(3), 200-213 (2015-10-17)
Mutations in the actin-binding gene Filamin-A have been linked to non-syndromic myxomatous valvular dystrophy and associated mitral valve prolapse. Previous studies by our group traced the adult valve defects back to developmental errors in valve interstitial cell-mediated extracellular matrix remodeling
我们的科学家团队拥有各种研究领域经验,包括生命科学、材料科学、化学合成、色谱、分析及许多其他领域.
联系客户支持