跳转至内容
Merck
CN

05-1075

抗FOXO1抗体,克隆2H8.2

clone 2H8.2, from mouse

别名:

Forkhead box protein O1A, Forkhead in rhabdomyosarcoma, forkhead box O1, forkhead box O1A (rhabdomyosarcoma), forkhead homolog in rhabdomyosarcoma

登录 查看组织和合同定价。

选择尺寸


关于此项目

UNSPSC Code:
12352203
NACRES:
NA.41
eCl@ss:
32160702
Conjugate:
unconjugated
Clone:
2H8.2, monoclonal
Application:
immunocytochemistry
immunohistochemistry
western blot
Species reactivity:
rat, human, mouse
Citations:
9
Technique(s):
immunocytochemistry: suitable
immunohistochemistry: suitable (paraffin)
western blot: suitable
Uniprot accession no.:
技术服务
需要帮助?我们经验丰富的科学家团队随时乐意为您服务。
让我们为您提供帮助
技术服务
需要帮助?我们经验丰富的科学家团队随时乐意为您服务。
让我们为您提供帮助

产品名称

抗FOXO1抗体,克隆2H8.2, clone 2H8.2, from mouse

biological source

mouse

conjugate

unconjugated

antibody form

purified antibody

antibody product type

primary antibodies

clone

2H8.2, monoclonal

species reactivity

rat, human, mouse

packaging

antibody small pack of 25 μg

technique(s)

immunocytochemistry: suitable
immunohistochemistry: suitable (paraffin)
western blot: suitable

isotype

IgG1κ

NCBI accession no.

UniProt accession no.

shipped in

ambient

target post-translational modification

unmodified

Quality Level

Gene Information

human ... FOXO1(2308)
mouse ... Foxo1(56458)

Analysis Note

对照
HEK293 细胞裂解液
通过蛋白质印迹对 HEK293 细胞裂解液进行了评估。
蛋白质印迹分析:2 µg/mL 的该抗体在 HEK293 细胞裂解液中检测到 FOXO1。

Application

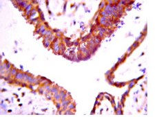
使用抗 FOXO1 抗体,克隆 2H8.2(小鼠单克隆抗体,在 WB、ICC、IHC(P)中经过验证)在横纹肌肉瘤中检测 FOXO1(也称为的叉头盒蛋白 O1A,叉头)。
免疫细胞化学:使用先前批次的 1:500 稀释液。

免疫细胞化学:代表性批次数据:
使用先前批次的 1:500 稀释液。

免疫组化(石蜡):代表性批次数据。
通过表位检索进行最佳染色:导管癌原位。
研究子类别
转录因子
研究类别
表观遗传学&核功能

Biochem/physiol Actions

该抗体检测 FOXO1。
FOXO1 在细胞核和细胞质之间穿梭。

Disclaimer

除非我们的产品目录或产品附带的其他公司文档另有说明,否则我们的产品仅供研究使用,不得用于任何其他目的,包括但不限于未经授权的商业用途、体外诊断用途、离体或体内治疗用途或任何类型的消费或应用于人类或动物。

General description

~78-82 kDa
叉头框 O(FOXO)转录因子在调节代谢功能中起重要作用。由于 FOXO1 在胰岛素应答组织中表达相对较高,该转录因子随时可以调节能量代谢。当营养素和胰岛素水平低时,FOXO1 会促进糖原异生酶的表达。相反,在进食状态下,胰岛素水平升高,刺激骨骼肌和包括脂肪组织在内的其他器官吸收葡萄糖。在某些病理生理条件下,包括胰岛素抵抗,对 FOXO1 的负向调节信号传导受到损害。(Gross, D.N., 2009)。

Immunogen

具有 GST 标签的重组蛋白,对应于全长 FOXO1。

Other Notes

替代:04-1005
浓度:请参考批次特异性浓缩物的分析证书。

Physical form

在含 0.1M Tris-甘氨酸(pH 7.4),150mM NaCl 和 0.05% 叠氮化钠的缓冲液中的纯化的小鼠单克隆抗体。
形式:纯化的
蛋白 G 纯化

Preparation Note

自收到之日起,在 2-8ºC 条下可稳定保存 1 年。

未找到合适的产品?  

试试我们的产品选型工具.


分析证书(COA)

输入产品批号来搜索 分析证书(COA) 。批号可以在产品标签上"批“ (Lot或Batch)字后找到。

已有该产品?

在文件库中查找您最近购买产品的文档。

访问文档库

Jianyu Pang et al.
International journal of molecular sciences, 24(17) (2023-09-09)
Transcription factors (TFs) have been shown to play a key role in the occurrence and development of tumors, including triple-negative breast cancer (TNBC), with a worse prognosis. Machine learning is widely used for establishing prediction models and screening key tumor
Jitendra Kumar et al.
Biological trace element research, 196(2), 552-564 (2019-12-13)
The excess fluoride intake has been shown to adversely affect male reproductive health. The aim of the present study was to investigate the key mechanism underlying fluoride-induced testicular dysfunction and the role of melatonin as a modulator of testicular metabolic
Dongjie Liu et al.
Oncology letters, 17(1), 450-455 (2019-01-19)
According to global cancer statistics in 2012, lung cancer (LC) was the most frequently diagnosed cancer and the leading cause of cancer-associated mortality among males worldwide. Owing to the limited therapeutic approaches available, novel methods for treating LC are required.
Jitendra Kumar et al.
Environmental toxicology, 36(3), 396-407 (2020-10-25)
BPS has detrimental effects on human reproductive health and emerged as an environmental contaminant for global health concern. This study deals with the adverse impact of BPS exposure on testicular oxidative stress, inflammation and apoptosis in adult male golden hamster
Kevin Dessalle et al.
PloS one, 7(11), e50878-e50878 (2012-12-12)
SREBP-1 are ubiquitously expressed transcription factors, strongly expressed in lipogenic tissues where they regulate several metabolic processes like fatty acid synthesis. In skeletal muscle, SREBP-1 proteins regulate the expression of hundreds of genes, and we previously showed that their overexpression

相关内容

Signaling Product Guide: Antibodies, small molecule inhibitors, kits, assays and proteins for signaling research.

我们的科学家团队拥有各种研究领域经验,包括生命科学、材料科学、化学合成、色谱、分析及许多其他领域.

联系客户支持