跳转至内容
Merck
CN
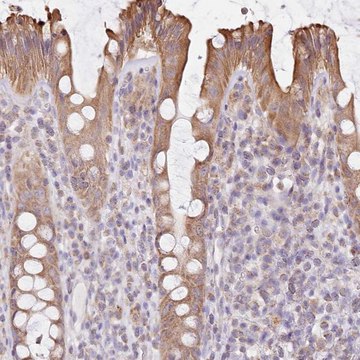
Anti-FAM208B antibody produced in rabbit Prestige Antibodies® Powered by Atlas Antibodies, affinity isolated antibody, buffered aqueous glycerol solution

Anti-FAM208B antibody produced in rabbit

Anti-FAM208B antibody produced in rabbit Prestige Antibodies® Powered by Atlas Antibodies, affinity isolated antibody, buffered aqueous glycerol solution
别名:
Anti- KIAA2006, Anti-BA318E3.2, Anti-C10orf18, Anti-FLJ20360, Anti-KIAA2006

Products

产品分类
品牌
生物来源
克隆
基因别名
物质形态
产品线
抗体形式
研究领域
共轭
质量水平
翻译后修饰
物种反应
技术