跳转至内容
Merck
CN
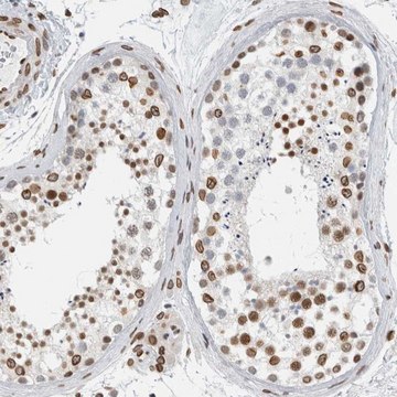
Anti-CDCA2 antibody produced in rabbit Prestige Antibodies® Powered by Atlas Antibodies, affinity isolated antibody, buffered aqueous glycerol solution

Anti-CDCA2 antibody produced in rabbit

Anti-CDCA2 antibody produced in rabbit Prestige Antibodies® Powered by Atlas Antibodies, affinity isolated antibody, buffered aqueous glycerol solution
别名:
FLJ25804, MGC129906, MGC129907, cell division cycle associated 2

Products

产品分类
品牌
生物来源
克隆
基因别名
物质形态
产品线
抗体形式
共轭
质量水平
翻译后修饰
物种反应
技术