跳转至内容
Merck
CN

ZRB04953

Anti-phospho-Smad2 (Ser465/467) Antibody, clone A5S, ZooMAb® Rabbit Monoclonal

greener alternative

recombinant, expressed in HEK 293 cells

别名:

JV18-1, MAD homolog 2, Mad-related protein 2, Mothers against DPP homolog 2, Mothers against decapentaplegic homolog 2, SMAD family member 2, hMAD-2, hSMAD2

登录 查看组织和合同定价。

选择尺寸


关于此项目

NACRES:
NA.41
UNSPSC Code:
12352203
Conjugate:
unconjugated
Clone:
A5S, recombinant monoclonal, monoclonal
Application:
ICC, IHC (p), WB, inhibition assay
Citations:
3
技术服务
需要帮助?我们经验丰富的科学家团队随时乐意为您服务。
让我们为您提供帮助
技术服务
需要帮助?我们经验丰富的科学家团队随时乐意为您服务。
让我们为您提供帮助

form

lyophilized

biological source

rabbit (recombinant)

recombinant

expressed in HEK 293 cells

conjugate

unconjugated

antibody form

purified antibody

antibody product type

primary antibodies

clone

A5S, recombinant monoclonal, monoclonal

product line

ZooMAb® learn more

mol wt

calculated mol wt 52.31 kDa, observed mol wt ~55 kDa

species reactivity

human

species reactivity (predicted by homology)

mouse, rat

packaging

antibody small pack of 25 μL

greener alternative product characteristics

Waste Prevention
Designing Safer Chemicals
Design for Energy Efficiency
Learn more about the Principles of Green Chemistry.

enhanced validation

recombinant expression
Learn more about Antibody Enhanced Validation

sustainability

Greener Alternative Product

technique(s)

immunocytochemistry: suitable using 1:100, immunohistochemistry (formalin-fixed, paraffin-embedded sections): 1:100-1:200, inhibition assay: suitable using 1:1,000 (peptide), western blot: suitable using 1:1,000

UniProt accession no.

greener alternative category

shipped in

ambient

storage temp.

2-8°C

target post-translational modification

phosphorylation (pSer465/pSer467)

Quality Level

Gene Information

General description

Mothers against decapentaplegic homolog 2 (UniProt: Q15796; also known as MAD homolog 2, Mothers against DPP homolog 2, JV18-1, Mad-related protein 2, hMAD-2, SMAD family member 2, SMAD 2, Smad2, hSMAD2) is encoded by the SMAD2 (also known as MADH2, MADR2) gene (Gene ID: 4087) in human. Smad2 is a receptor-regulated Smad (R-Smad) that serves as an intracellular signal transducer and transcriptional modulator activated by transforming growth factor beta (TGF beta) and activin type 1 receptor kinases. In the absence of TGF-beta it exists as a monomer and forms a heterodimer with Smad4 in the presence of TGF-beta. It is expressed at high levels in skeletal muscle, endothelial cells, heart, and placenta. It contains one Mad homology (MH) 1 domain (aa 10-176), one MH2 domain (aa 274-467) and a PY motif (aa 221-225). Cytoplasmic Smad2 is directly phosphorylated on Ser465/Ser467 by TGF- beta receptor kinase I. These C-terminal phosphoserines of R-Smads are recognized by the MH2 domain of Smad4 that enables them to form a heterodimeric complex, which translocates to the nucleus where Smad proteins bind to their cognate DNA binding sites with low affinity. This binding is further enhanced in the presence of transcriptional co-activators. Acetylation of lysine 19 by coactivators in response to TGF-beta signaling is shown to increase its transcriptional activity. Upon dephosphorylation by phosphatase PPM1A, Smad2 is released from the Smad2/Smad4 complex and is exported out of the nucleus. This ZooMAb recombinant monoclonal antibody, generated by our propriety technology, offers significantly enhanced specificity, affinity, reproducibility, and stability over conventional monoclonals.
We are committed to bringing you greener alternative products, which adhere to one or more of The 12 Principles of Green Chemistry.This antibody is Preservative-free, produced without the harm or sacrifice of animals and exceptionally stable to allow for ambient shipping and storage if needed and thus aligns with "Waste Prevention", "Designing Safer Chemicals" and "Design for Energy Efficiency". Click here for more information.
ZooMAb antibodies represent an entirely new generation of recombinant monoclonal antibodies.

Each ZooMAb antibody is manufactured using our proprietary recombinant expression system, purified to homogeneity, and precisely dispensed to produce robust and highly reproducible lot-to-lot consistency. Only top-performing clones are released for use by researchers. Each antibody is validated for high specificity and affinity across multiple applications, including its most commonly used application. ZooMAb antibodies are reliably available and ready to ship when you need them.

Learn more about ZooMAb here.

Immunogen

KLH-conjugated linear peptide corresponding to 11 amino acids surrounding phosphoserine 465 and 467 from human Smad2.

Application

Anti-phospho-Smad2 (Ser465/467), clone A5S ZooMAb, Cat. No. ZRB04953, is a recombinant Rabbit Monoclonal Antibody that detects Smad2 phosphorylated on serine 465/467 and has been tested forr use in Immunocytochemistry, Immunohistochemistry (Paraffin), Peptide Inhibition Assay, and Western Blotting.
Immunocytochemistry Analysis: A 1:100 dilution from a representative lot detected phospho-Smad2 (Ser465/467) in HepG2 treated with TGF-beta (5 ng/mL for 2 hrs).

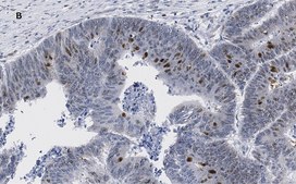
Immunohistochemistry (Paraffin) Analysis: A 1:200 and 1:100 dilution from a representative lot detected phospho-Smad2 (Ser465/467) in human breast cancer and human colon cancer tissue sections.

Peptide Inhibition Analysis: A 1:1,000 dilution from a representative lot was used with HeLa cells treated with TGF-beta for peptide block analysis.

Biochem/physiol Actions

Clone A5S is a ZooMAb rabbit recombinant monoclonal antibody that specifically detects Smad2 phosphorylated on Serine 465/467.

Physical form

Purified recombinant rabbit monoclonal antibody IgG, lyophilized in PBS with 5% Trehalose, normal appearance a coarse or translucent resin. Contains no biocide or preservatives, such as azide, or any animal by-products. Larger pack sizes provided as multiples of 25 μL.

Preparation Note

120 μg/mL after reconstitution at 25 μL. Please refer to guidance on suggested starting dilutions and/or titers per application and sample type.
Recommend storage of lyophilized product at 2-8°C; Before reconstitution, micro-centrifuge vials briefly to spin down material to bottom of the vial; Reconstitute each vial by adding 25 μL of filtered lab grade water or PBS; Reconstituted antibodies can be stored at 2-8°C, or -20°C for long term storage. Avoid repeated freeze-thaws.

Legal Information

ZooMAb is a registered trademark of Merck KGaA, Darmstadt, Germany

Disclaimer

Unless otherwise stated in our catalog or other company documentation accompanying the product(s), our products are intended for research use only and are not to be used for any other purpose, which includes but is not limited to, unauthorized commercial uses, in vitro diagnostic uses, ex vivo or in vivo therapeutic uses or any type of consumption or application to humans or animals.

未找到合适的产品?  

试试我们的产品选型工具.

存储类别

11 - Combustible Solids

wgk

WGK 2

法规信息

常规特殊物品
此项目有

历史批次信息供参考:

分析证书(COA)

Lot/Batch Number

没有发现合适的版本?

如果您需要特殊版本,可通过批号或批次号查找具体证书。

已有该产品?

在文件库中查找您最近购买产品的文档。

访问文档库

Si Li et al.
Cancer communications (London, England), 41(2), 154-170 (2021-01-04)
The transforming growth factor-β (TGF-β) pathway plays a pivotal role in inducing epithelial-mesenchymal transition (EMT), which is a key step in cancer invasion and metastasis. However, the regulatory mechanism of TGF-β in inducing EMT in colorectal cancer (CRC) has not
Lindsay Kraus et al.
Frontiers in cell and developmental biology, 8, 494-494 (2020-07-14)
The adult heart following injury such as a myocardial infarction forms a fibrotic scar associated with transformation of resident cardiac fibroblasts into myofibroblast, accelerating cardiac remodeling and dysfunction. Cell therapies provide a novel direction for the enhancement of cardiac structure
Chuan-Hang Yu et al.
International journal of molecular sciences, 21(8) (2020-04-29)
Oral submucous fibrosis (OSF) has been recognized as a precancerous disorder in the oral cavity. Great effort has been made to inhibit the malignant progression of OSF over the past decades, but the cure of this fibrosis disease has not

商品

Learn about the hallmarks of cancer and find reliable ZooMAb® recombinant antibodies to study them, conveniently organized by cancer hallmark.

我们的科学家团队拥有各种研究领域经验,包括生命科学、材料科学、化学合成、色谱、分析及许多其他领域.

联系客户支持