Skip to Content
Merck
CN

ZRB1362

Anti-IDO1 Antibody, clone 1B17 ZooMAb® Rabbit Monoclonal

greener alternative

recombinant, expressed in HEK 293 cells

Synonym(s):

Indoleamine 2,3-dioxygenase 1;EC:1.13.11.52;IDO-1;Indoleamine-pyrrole 2,3-dioxygenase

Sign In to View Organizational & Contract Pricing.

Select a Size


About This Item

NACRES:
NA.43
UNSPSC Code:
12352203
Conjugate:
unconjugated
Clone:
1B17, recombinant monoclonal
Application:
ICC, IHC, WB
Citations:
-
Technical Service
Need help? Our team of experienced scientists is here for you.
Let Us Assist
Technical Service
Need help? Our team of experienced scientists is here for you.
Let Us Assist

antibody form

purified antibody

biological source

rabbit

recombinant

expressed in HEK 293 cells

conjugate

unconjugated

antibody product type

primary antibodies

clone

1B17, recombinant monoclonal

description

recombinant, expressed in HEK 293 cells

product line

ZooMAb® learn more

form

lyophilized

mol wt

calculated mol wt 45.33 kDa, observed mol wt ~39 kDa

purified by

using Protein A

species reactivity

human

packaging

antibody small pack of 25 μL

greener alternative product characteristics

Waste Prevention
Designing Safer Chemicals
Design for Energy Efficiency
Learn more about the Principles of Green Chemistry.

enhanced validation

recombinant expression
Learn more about Antibody Enhanced Validation

sustainability

Greener Alternative Product

technique(s)

immunocytochemistry: suitable, immunohistochemistry: suitable, western blot: suitable

isotype

IgG

epitope sequence

C-terminal

Protein ID accession no.

UniProt accession no.

greener alternative category

shipped in

ambient

storage temp.

2-8°C

target post-translational modification

unmodified

Quality Level

Gene Information

human ... IDO1(3620)

General description

We are committed to bringing you greener alternative products, which adhere to one or more of The 12 Principles of Green Chemistry.This antibody is Preservative-free, produced without the harm or sacrifice of animals and exceptionally stable to allow for ambient shipping and storage if needed and thus aligns with "Waste Prevention", "Designing Safer Chemicals" and "Design for Energy Efficiency". Click here for more information.
ZooMAb® antibodies represent an entirely new generation of recombinant monoclonal antibodies.Each ZooMAb® antibody is manufactured using our proprietary recombinant expression system, purified to homogeneity, and precisely dispensed to produce robust and highly reproducible lot-to-lot consistency. Only top-performing clones are released for use by researchers. Each antibody is validated for high specificity and affinity across multiple applications, including its most commonly used application. ZooMAb® antibodies are reliably available and ready to ship when you need them.
Indoleamine 2,3-dioxygenase 1 (UniProt: P14902; also known as EC:1.13.11.52, IDO-1, Indoleamine-pyrrole 2,3-dioxygenase) is encoded by the IDO1 (also known as IDO, INDO) gene (Gene ID: 3620) in human. IDO1 is a heme containing cytosolic enzyme that catalyzes the rate-limiting step in tryptophan catabolism to N-formyl-kynurenine by cleaving the 2,3-double bond of the indole ring while a molecular oxygen merges into the unsealed molecule. The reduction in local tryptophan and the upregulated immunomodulatory tryptophan metabolites form the basis of IDO-dependent regulation of inflammation and immunity. It is expressed by a wide variety of tissues and its levels can be upregulated by interferon- . It is reported to support carcinogenesis by modulating tissue microenvironment inflammatory responses and mediates immune escape in cancer by suppressing the function of T effector cells and promote the differentiation of T regulatory cells. Overexpression of IDO1 is also associated with poor prognosis in various cancers. IDO-1 can limit the growth of intracellular pathogens by depriving them of tryptophan. This ZooMAbZooMAb® recombinant monoclonal antibody, generated by our propriety technology, offers significantly enhanced specificity, affinity, reproducibility, and stability over conventional monoclonals. (Ref.: Tang, K., et al.(2021). J. Hematol. Oncol. 14; Article 68; Baren, NV., and Van den Eynde, BJ. (2015). Front. Immunol. 6; 34).

Immunogen

KLH-conjugated linear peptide corresponding to 24 amino acids from the C-terminal region of human Indoleamine 2,3-dioxygenase 1 (IDO1).

Application

Quality Control Testing

Evaluated by Western Blotting in lysate from HeLa cells treated with Interferon .

Western Blotting Analysis (WB): A 1:1,000 dilution of this antibody detected IDO1 in lysate from HeLa cells treated with Interferon (100 ng/mL; 24h), but not in lysates from untreated cells.

Tested applications

Immunocytochemistry Analysis: A 1:100 dilution from a representative lot detected IDO1 in overnight serum starved HeLa cells treated with IFN- (100 ng/mL; 24 h).

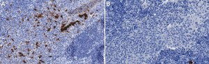
Immunohistochemistry (Paraffin) Analysis: A 1:100 dilution from a representative lot detected IDO1 in human tonsil tissue sections.

Note: Actual optimal working dilutions must be determined by end user as specimens, and experimental conditions may vary with the end user

Evaluated by Western Blotting in lysate from HeLa cells treated with Interferon .

Western Blotting Analysis (WB): A 1:1,000 dilution of this antibody detected IDO1 in lysate from HeLa cells treated with Interferon (100 ng/mL; 24h), but not in lysates from untreated cells.

Biochem/physiol Actions

Clone 1B17 is a ZooMAb® rabbit recombinant monoclonal antibody that specifically detects Indoleamine 2,3-dioxygenase 1 (IDO1). It targets an epitope within 24 amino acids from the C-terminal region.

Physical form

Purified recombinant rabbit monoclonal antibody IgG, lyophilized in PBS, 5% Trehalose, normal appearance a coarse or translucent resin. The PBS/trehalose components in the ZooMAb formulation can have the appearance of a semi-solid (bead like gel) after lyophilization. This is a normal phenomenon. Please follow the recommended reconstitution procedure in the data sheet to dissolve the semi-solid, bead-like, gel-appearing material. The resulting antibody solution is completely stable and functional as proven by full functional testing. Contains no biocide or preservatives, such as azide, or any animal by-products. Larger pack sizes provided as multiples of 25 μL.

Preparation Note

Recommend storage of lyophilized product at 2-8°C; Before reconstitution, micro-centrifuge vials briefly to spin down material to bottom of the vial; Reconstitute each vial by adding 25 μL of filtered lab grade water or PBS; Reconstituted antibodies can be stored at 2-8°C, or -20°C for long term storage. Avoid repeated freeze-thaws.
Reconstitute lyophilized antibody pellet with 25μL of ultrapure water or Phosphate Buffered Saline (PBS). Please refer to our reconstitution protocol and the specific application guidance on the suggested starting dilutions and sample type.

Legal Information

ZooMAb is a registered trademark of Merck KGaA, Darmstadt, Germany

Disclaimer

Unless otherwise stated in our catalog or other company documentation accompanying the product(s), our products are intended for research use only and are not to be used for any other purpose, which includes but is not limited to, unauthorized commercial uses, in vitro diagnostic uses, ex vivo or in vivo therapeutic uses or any type of consumption or application to humans or animals.

Not finding the right product?  

Try our Product Selector Tool.

Storage Class

11 - Combustible Solids

wgk

WGK 1

flash_point_f

Not applicable

flash_point_c

Not applicable

Regulatory Information

常规特殊物品
This item has

Choose from one of the most recent versions:

Certificates of Analysis (COA)

Lot/Batch Number

Don't see the Right Version?

If you require a particular version, you can look up a specific certificate by the Lot or Batch number.

Already Own This Product?

Find documentation for the products that you have recently purchased in the Document Library.

Visit the Document Library

Articles

Learn about the hallmarks of cancer and find reliable ZooMAb® recombinant antibodies to study them, conveniently organized by cancer hallmark.

Our team of scientists has experience in all areas of research including Life Science, Material Science, Chemical Synthesis, Chromatography, Analytical and many others.

Contact Technical Service