Skip to Content
Merck
CN

X1129

Anti-XPC (C-terminal) antibody produced in rabbit

~1 mg/mL, affinity isolated antibody, buffered aqueous solution

Synonym(s):

Anti-Xeroderma pigmentosum, complementary group C, Anti-XP3, Anti-XPCC

Sign In to View Organizational & Contract Pricing.

Select a Size


About This Item

UNSPSC Code:
12352203
NACRES:
NA.41
MDL number:
Conjugate:
unconjugated
Clone:
polyclonal
Application:
IF, WB
Citations:
11
Technical Service
Need help? Our team of experienced scientists is here for you.
Let Us Assist
Technical Service
Need help? Our team of experienced scientists is here for you.
Let Us Assist

biological source

rabbit

conjugate

unconjugated

antibody form

affinity isolated antibody

antibody product type

primary antibodies

clone

polyclonal

form

buffered aqueous solution

mol wt

antigen 120 kDa

species reactivity

human

concentration

~1 mg/mL

technique(s)

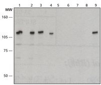
indirect immunofluorescence: 5-10 μg/mL using MCF7 cells fixed with paraformaldehyde-Triton, western blot: 0.5-1 μg/mL using MCF-7 cell lysates

UniProt accession no.

shipped in

dry ice

storage temp.

−20°C

target post-translational modification

unmodified

Quality Level

Gene Information

human ... XPC(7508)

General description

DNA damage recognition and repair factor, XPC complex subunit xeroderma pigmentosum group C (XPC) is a DNA damage recognition factor. The protein consists of 940 amino acids. The gene encoding XPC is localized on human chromosome 3p25.1 and consists of 18 exons.
XPC exists in vivo as a heterotrimeric complex with one of the two mammalian homologs of S. cerevisiae Rad23 (HR23A or HR23B) and centrin 2.

Immunogen

synthetic peptide corresponding to amino acids 922-940 of human XPC, conjugated to KLH via an N-terminal added cysteine residue.

Application

Anti-XPC (C-terminal) antibody produced in rabbit has been used in indirect immunofluorescence and western blotting

Biochem/physiol Actions

DNA damage recognition and repair factor, XPC complex subunit xeroderma pigmentosum group C (XPC) has a role in global genome nucleotide excision repair pathway. As part of the XPC complex, this protein binds to DNA sites having many lesions. Single nucleotide polymorphisms in the XPC gene have been linked to various cancers.
Defective XPC gene causes photosensitivity syndrome called xeroderma pigmentosum (XP), which is characterized by a very high incidence of light-induced skin cancer.

Physical form

Solution in 0.01 M phos­phate buffered saline, pH 7.4, containing 15 mM sodium azide.

Disclaimer

Unless otherwise stated in our catalog or other company documentation accompanying the product(s), our products are intended for research use only and are not to be used for any other purpose, which includes but is not limited to, unauthorized commercial uses, in vitro diagnostic uses, ex vivo or in vivo therapeutic uses or any type of consumption or application to humans or animals.

Not finding the right product?  

Try our Product Selector Tool.

Storage Class

10 - Combustible liquids

wgk

WGK 3

flash_point_f

Not applicable

flash_point_c

Not applicable

ppe

Eyeshields, Gloves, multi-purpose combination respirator cartridge (US)

Regulatory Information

常规特殊物品
This item has

Choose from one of the most recent versions:

Certificates of Analysis (COA)

Lot/Batch Number

Don't see the Right Version?

If you require a particular version, you can look up a specific certificate by the Lot or Batch number.

Already Own This Product?

Find documentation for the products that you have recently purchased in the Document Library.

Visit the Document Library

Justin D Mallet et al.
PloS one, 11(9), e0162212-e0162212 (2016-09-10)
Absorption of UV rays by DNA generates the formation of mutagenic cyclobutane pyrimidine dimers (CPD) and pyrimidine (6-4) pyrimidone photoproducts (6-4PP). These damages are the major cause of skin cancer because in turn, they can lead to signature UV mutations.
Centrosome protein centrin 2/caltractin 1 is part of the xeroderma pigmentosum group C complex that initiates global genome nucleotide excision repair
Araki M, et al.
Test, 276(22), 18665-18672 (2001)
Nucleotide excision repair in E. coli and man
Advances in Protein Chemistry, 69, 43-71 (2004)
Xeroderma pigmentosum group C protein interacts with histones: regulation by acetylated states of histone H3.
Kakumu E
Genes Cells (2017)
Faster DNA repair of ultraviolet-induced cyclobutane pyrimidine dimers and lower sensitivity to apoptosis in human corneal epithelial cells than in epidermal keratinocytes
Mallet JD, et al.
PLoS ONE, 11(9), e0162212-e0162212 (2016)

Related Content

Instructions

Our team of scientists has experience in all areas of research including Life Science, Material Science, Chemical Synthesis, Chromatography, Analytical and many others.

Contact Technical Service