Skip to Content
Merck
CN

WH0001499M2

Monoclonal Anti-CTNNB1 antibody produced in mouse

clone 1C9, purified immunoglobulin, buffered aqueous solution

Synonym(s):

Anti-CTNNB, Anti-catenin (cadherin-associated protein), beta 1, 88kDa

Sign In to View Organizational & Contract Pricing.

Select a Size


About This Item

UNSPSC Code:
12352203
NACRES:
NA.41
MDL number:
Conjugate:
unconjugated
Clone:
1C9, monoclonal
Application:
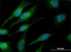
ELISA (i), IF, PLA, WB
Citations:
-
Technical Service
Need help? Our team of experienced scientists is here for you.
Let Us Assist
Technical Service
Need help? Our team of experienced scientists is here for you.
Let Us Assist

biological source

mouse

conjugate

unconjugated

antibody form

purified immunoglobulin

antibody product type

primary antibodies

clone

1C9, monoclonal

form

buffered aqueous solution

species reactivity

human

technique(s)

immunofluorescence: suitable, indirect ELISA: suitable, proximity ligation assay: suitable, western blot: 1-5 μg/mL

isotype

IgG2aκ

GenBank accession no.

UniProt accession no.

shipped in

dry ice

storage temp.

−20°C

target post-translational modification

unmodified

Quality Level

Gene Information

human ... CTNNB1(1499)

Looking for similar products? Visit Product Comparison Guide

Related Categories

General description

Beta-catenin is an adherens junction protein. Adherens junctions (AJs; also called the zonula adherens) are critical for the establishment and maintenance of epithelial layers, such as those lining organ surfaces. AJs mediate adhesion between cells, communicate a signal that neighboring cells are present, and anchor the actin cytoskeleton. In serving these roles, AJs regulate normal cell growth and behavior. At several stages of embryogenesis, wound healing, and tumor cell metastasis, cells form and leave epithelia. This process, which involves the disruption and reestablishment of epithelial cell-cell contacts, may be regulated by the disassembly and assembly of AJs. AJs may also function in the transmission of the ′contact inhibition′ signal, which instructs cells to stop dividing once an epithelial sheet is complete.[supplied by OMIM

Immunogen

CTNNB1 (AAH58926, 682 a.a. ~ 781 a.a) partial recombinant protein with GST tag. MW of the GST tag alone is 26 KDa.

Sequence
LFRTEPMAWNETADLGLDIGAQGEPLGYRQDDPSYRSFHSGGYGQDALGMDPMMEHEMGGHHPGADYPVDGLPDLGHAQDLMDGLPPGDSNQLAWFDTDL

Physical form

Solution in phosphate buffered saline, pH 7.4

Legal Information

GenBank is a registered trademark of United States Department of Health and Human Services

Not finding the right product?  

Try our Product Selector Tool.

Storage Class

10 - Combustible liquids

flash_point_f

Not applicable

flash_point_c

Not applicable

ppe

Eyeshields, Gloves, multi-purpose combination respirator cartridge (US)

Regulatory Information

常规特殊物品
This item has

Choose from one of the most recent versions:

Certificates of Analysis (COA)

Lot/Batch Number

Don't see the Right Version?

If you require a particular version, you can look up a specific certificate by the Lot or Batch number.

Already Own This Product?

Find documentation for the products that you have recently purchased in the Document Library.

Visit the Document Library

Our team of scientists has experience in all areas of research including Life Science, Material Science, Chemical Synthesis, Chromatography, Analytical and many others.

Contact Technical Service