Skip to Content
Merck
CN

HPA001297

Anti-FRMD6 antibody produced in rabbit

Prestige Antibodies® Powered by Atlas Antibodies, affinity isolated antibody, buffered aqueous glycerol solution

Synonym(s):

Anti-FERM domain-containing protein 6 antibody produced in rabbit, Anti-Willin antibody produced in rabbit

Sign In to View Organizational & Contract Pricing.

Select a Size


About This Item

Human Protein Atlas Number:
UNSPSC Code:
12352203
Technical Service
Need help? Our team of experienced scientists is here for you.
Let Us Assist
Technical Service
Need help? Our team of experienced scientists is here for you.
Let Us Assist

biological source

rabbit

conjugate

unconjugated

antibody form

affinity isolated antibody

antibody product type

primary antibodies

clone

polyclonal

product line

Prestige Antibodies® Powered by Atlas Antibodies

form

buffered aqueous glycerol solution

species reactivity

mouse, human

enhanced validation

orthogonal RNAseq
Learn more about Antibody Enhanced Validation

technique(s)

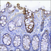
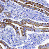
immunoblotting: 0.4 μg/mL, immunofluorescence: 1-4 μg/mL, immunohistochemistry: 1:500- 1:1000

immunogen sequence

LEEDLQDDEIEMLVDDPRDLEQMNEESLEVSPDMCIYITEDMLMSRKLNGHSGLIVKEIGSSTSSSSETVVKLRGQSTDSLPQTICRKPKTSTDRHSLSLDDIRLYQKDFLRIAGLCQDTAQSYTFGCGHELDEE

UniProt accession no.

shipped in

wet ice

storage temp.

−20°C

Gene Information

human ... FRMD6(122786)

Immunogen

FERM domain-containing protein 6 recombinant protein epitope signature tag (PrEST)

Application

All Prestige Antibodies Powered by Atlas Antibodies are developed and validated by the Human Protein Atlas (HPA) project and as a result, are supported by the most extensive characterization in the industry.

The Human Protein Atlas project can be subdivided into three efforts: Human Tissue Atlas, Cancer Atlas, and Human Cell Atlas. The antibodies that have been generated in support of the Tissue and Cancer Atlas projects have been tested by immunohistochemistry against hundreds of normal and disease tissues and through the recent efforts of the Human Cell Atlas project, many have been characterized by immunofluorescence to map the human proteome not only at the tissue level but now at the subcellular level. These images and the collection of this vast data set can be viewed on the Human Protein Atlas (HPA) site by clicking on the Image Gallery link. We also provide Prestige Antibodies® protocols and other useful information.

Biochem/physiol Actions

FRMD6 (FERM domain containing 6) encodes a protein belonging to the 4.1 superfamily of proteins that contain a 4.1 Ezrin Radixin Moesin (FERM) domain. This domain is present in the N-terminus and is capable of binding phospholipids. It co-localizes with actin either in the cytoplasm or at the plasma membrane. This gene is implicated in Alzheimer′s disease. The protein activates the Hippo signaling pathway kinases in mammals. It also antagonizes the oncogenic Hippo signaling pathway component YAP. The Hippo signaling pathway regulates cell contact inhibition, organ size control, cell growth, proliferation, apoptosis and cancer development in mammals.

Features and Benefits

Prestige Antibodies® are highly characterized and extensively validated antibodies with the added benefit of all available characterization data for each target being accessible via the Human Protein Atlas portal linked just below the product name at the top of this page. The uniqueness and low cross-reactivity of the Prestige Antibodies® to other proteins are due to a thorough selection of antigen regions, affinity purification, and stringent selection. Prestige antigen controls are available for every corresponding Prestige Antibody and can be found in the linkage section.

Every Prestige Antibody is tested in the following ways:
  • IHC tissue array of 44 normal human tissues and 20 of the most common cancer type tissues.
  • Protein array of 364 human recombinant protein fragments.

Physical form

Solution in phosphate-buffered saline, pH 7.2, containing 40% glycerol and 0.02% sodium azide

Other Notes

Corresponding Antigen APREST70394.

Legal Information

Prestige Antibodies is a registered trademark of Merck KGaA, Darmstadt, Germany

Disclaimer

Unless otherwise stated in our catalog or other company documentation accompanying the product(s), our products are intended for research use only and are not to be used for any other purpose, which includes but is not limited to, unauthorized commercial uses, in vitro diagnostic uses, ex vivo or in vivo therapeutic uses or any type of consumption or application to humans or animals.

Not finding the right product?  

Try our Product Selector Tool.

Storage Class

10 - Combustible liquids

wgk

WGK 1

flash_point_f

Not applicable

flash_point_c

Not applicable

ppe

Eyeshields, Gloves, multi-purpose combination respirator cartridge (US)

Regulatory Information

常规特殊物品
This item has

Choose from one of the most recent versions:

Certificates of Analysis (COA)

Lot/Batch Number

Don't see the Right Version?

If you require a particular version, you can look up a specific certificate by the Lot or Batch number.

Already Own This Product?

Find documentation for the products that you have recently purchased in the Document Library.

Visit the Document Library

Felipe De Sousa E Melo et al.
Nature medicine, 19(5), 614-618 (2013-04-16)
Colon cancer is a clinically diverse disease. This heterogeneity makes it difficult to determine which patients will benefit most from adjuvant therapy and impedes the development of new targeted agents. More insight into the biological diversity of colon cancers, especially
Mun-Gwan Hong et al.
Human mutation, 33(3), 521-529 (2011-12-23)
Genome-wide association studies (GWAS) that allow for allelic heterogeneity may facilitate the discovery of novel genes not detectable by models that require replication of a single variant site. One strategy to accomplish this is to focus on genes rather than
Frank J Gunn-Moore et al.
FEBS letters, 579(22), 5089-5094 (2005-09-03)
The 4.1 superfamily of proteins contain a 4.1 Ezrin Radixin Moesin (FERM) domain and are described as linking the cytoskeleton with the plasma membrane. Here, we describe a new FERM domain-containing protein called Willin. Willin has a recognizable FERM domain
L Angus et al.
Oncogene, 31(2), 238-250 (2011-06-15)
The Salvador/Warts/Hippo (Hippo) signaling pathway defines a novel signaling cascade regulating cell contact inhibition, organ size control, cell growth, proliferation, apoptosis and cancer development in mammals. The Drosophila melanogaster protein Expanded acts in the Hippo signaling pathway to control organ
Krijn J C Haasnoot et al.
Modern pathology : an official journal of the United States and Canadian Academy of Pathology, Inc, 33(12), 2626-2636 (2020-06-26)
Advanced colorectal cancer (CRC) consensus molecular subtype 4 (CMS4) or CRC with a low immunoscore is associated with shorter survival times. Non-metastatic CRC with microsatellite instability (MSI) is associated with a lower risk of recurrence. We evaluated outcome (lymph node

Related Content

Prestige Antibodies Immunofluorescence Procedure

Our team of scientists has experience in all areas of research including Life Science, Material Science, Chemical Synthesis, Chromatography, Analytical and many others.

Contact Technical Service