Skip to Content
Merck
CN

ABN1449

Anti-CXCR-4

from rabbit, purified by affinity chromatography

Synonym(s):

C-X-C chemokine receptor type 4, CXC-R4, FB22, Fusin, HM89, LCR1, Leukocyte-derived seven transmembrane domain receptor, LESTR, Lipopolysaccharide-associated protein 3, LAP-3, LPS-associated protein 3, NPYRL, Stromal cell-derived factor 1 receptor, SDF-1

Sign In to View Organizational & Contract Pricing.

Select a Size


About This Item

UNSPSC Code:
12352203
NACRES:
NA.41
eCl@ss:
32160702
Conjugate:
unconjugated
Clone:
polyclonal
Application:
IHC, WB
Citations:
-
Technical Service
Need help? Our team of experienced scientists is here for you.
Let Us Assist
Technical Service
Need help? Our team of experienced scientists is here for you.
Let Us Assist

biological source

rabbit

conjugate

unconjugated

antibody form

affinity isolated antibody

antibody product type

primary antibodies

clone

polyclonal

purified by

affinity chromatography

species reactivity

human

packaging

antibody small pack of 25 μL

technique(s)

immunohistochemistry: suitable (paraffin), western blot: suitable

NCBI accession no.

UniProt accession no.

shipped in

ambient

target post-translational modification

unmodified

Quality Level

Gene Information

human ... CXCR4(7852)

General description

C-X-C chemokine receptor type 4 (UniProt: P61073; also known as CXC-R4, CXCR-4, FB22, Fusin, HM89, LCR1, Leukocyte-derived seven transmembrane domain receptor, LESTR, Lipopolysaccharide-associated protein 3, LAP-3, LPS-associated protein 3, NPYRL, Stromal cell-derived factor 1 receptor, SDF-1 receptor, CD184) is encoded by the CXCR4 gene (Gene ID: 7852) in human. CXCR-4 is a receptor for the C-X-C chemokine CXCL12/SDF-1 that transduces a signal by increasing intracellular calcium levels and enhancing MAPK1/MAPK3 activation. CXCR-4 is expressed in numerous tissues and two isoforms have been reported that are generated by alternative splicing. Isoform 1 is the predominant form in all tissues tested. CXCR-4 is rapidly phosphorylated on serine and threonine residues in the C-terminal upon agonist stimulation. Phosphorylation at Ser324 and Ser325 leads to recruitment of ITCH (E3 ubiquitin-protein ligase), ubiquitination and protein degradation. Sulfation on Tyr21 is shown to be essential for efficient binding of CXCL12/SDF-1alpha and it promotes its dimerization. Tyr7 and Tyr12 are sulfated in a sequential manner following complete sulfation of Tyr21. CXCR-4 acts as a co-receptor for human HIV-1 virus isolates (CD4 being the primary receptor) and as a primary receptor for HIV-2 isolates. CXCR-4 can also bind bacterial lipopolysaccharide (LPS) and mediate LPS-induced inflammatory response, including TNF-alpha secretion by monocytes. Mutations in CXCR4 gene cause WHIM syndrome that is characterized by neutropenia, hypogammaglobulinemia and extensive human papillomavirus (HPV) infection.
~53 kDa observed; 39.75 kDa calculated. Calculated molecular weight is 40 kDa but we observed it larger at around ~50 kDaUncharacterized bands may be observed in some lysate(s).

Immunogen

Epitope: N-terminus
KLH-conjugated linear peptide corresponding to 12 amino acids from the N-terminal region of human CXCR-4.

Application

Anti-CXCR-4 Antibody, Cat. No. ABN1449, is a highly specific rabbit polyclonal antibody that targets human CXCR-4 and has been tested in Immunohistochemistry (Paraffin) and Western Blotting.
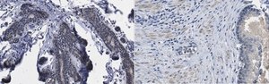
Immunohistochemistry (Paraffin) Analysis: A 1:250 dilution from a representative lot detected CXCR-4 in human bone marrow, human pancreas, human breast and human prostate tissues.
Research Category
Neuroscience

Biochem/physiol Actions

This rabbit polyclonal antibody detects CXCR-4 in human cells. It targets an epitope within 12 amino acids from the N-terminal region. Immunogen sequence is conserved between isoforms 1 and 2. Hence, it may react with both isoforms.

Physical form

Affinity Purified
Purified rabbit polyclonal antibody in buffer containing 0.1 M Tris-Glycine (pH 7.4), 150 mM NaCl with 0.05% sodium azide.

Preparation Note

Stable for 1 year at 2-8°C from date of receipt.

Analysis Note

Evaluated by Western Blotting in Raji membrane extract.

Western Blotting Analysis: A 1:500 dilution of this antibody detected CXCR-4 in 10 µg of Raji membrane extract.

Other Notes

Concentration: Please refer to lot specific datasheet.

Disclaimer

Unless otherwise stated in our catalog or other company documentation accompanying the product(s), our products are intended for research use only and are not to be used for any other purpose, which includes but is not limited to, unauthorized commercial uses, in vitro diagnostic uses, ex vivo or in vivo therapeutic uses or any type of consumption or application to humans or animals.

Not finding the right product?  

Try our Product Selector Tool.

Storage Class

12 - Non Combustible Liquids

wgk

WGK 1

flash_point_f

Not applicable

flash_point_c

Not applicable


Certificates of Analysis (COA)

Search for Certificates of Analysis (COA) by entering the products Lot/Batch Number. Lot and Batch Numbers can be found on a product’s label following the words ‘Lot’ or ‘Batch’.

Already Own This Product?

Find documentation for the products that you have recently purchased in the Document Library.

Visit the Document Library

Our team of scientists has experience in all areas of research including Life Science, Material Science, Chemical Synthesis, Chromatography, Analytical and many others.

Contact Technical Service