biological source
rabbit
Quality Level
conjugate
unconjugated
antibody form
affinity isolated antibody
antibody product type
primary antibodies
clone
polyclonal
form
buffered aqueous solution
mol wt
~43 kDa
species reactivity
rat, mouse, human
concentration
1 mg/mL
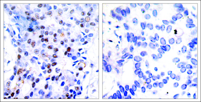
technique(s)
immunohistochemistry (formalin-fixed, paraffin-embedded sections): 1:50-1:100, indirect immunofluorescence: 1:100-1:200, western blot: 1:500-1:1000
isotype
IgG
immunogen sequence
(T-T-T-P-T)
NCBI accession no.
UniProt accession no.
shipped in
wet ice
storage temp.
−20°C
target post-translational modification
unmodified
Gene Information
human ... JUN(3725)
General description
Transcription factor that recognizes and binds to the enhancer heptamer motif 5'-TGA[CG]TCA-3'.
Immunogen
Peptide sequence around aa. 89-93 (T-T-T-P-T), according to the protein JUN.
Features and Benefits
Evaluate our antibodies with complete peace of mind. If the antibody does not perform in your application, we will issue a full credit or replacement antibody. Learn more.
Physical form
Solution in phosphate-buffered saline containing 0.02% sodium azide and 50% glycerol
Disclaimer
Unless otherwise stated in our catalog or other company documentation accompanying the product(s), our products are intended for research use only and are not to be used for any other purpose, which includes but is not limited to, unauthorized commercial uses, in vitro diagnostic uses, ex vivo or in vivo therapeutic uses or any type of consumption or application to humans or animals.
Still not finding the right product?
试用我们的 产品选型工具 工具缩小选择范围
存储类别
10 - Combustible liquids
wgk
WGK 1
flash_point_f
Not applicable
flash_point_c
Not applicable
法规信息
新产品
此项目有
全球贸易项目编号
| 货号 | GTIN |
|---|---|
| SAB4300305-100UG | 04061832703213 |