Skip to Content
Merck
CN

ZRB3625

Anti-PKCθ Antibody, clone 2N22 ZooMAb® Rabbit Monoclonal

greener alternative

recombinant, expressed in HEK 293 cells

Synonym(s):

EC:2.7.11.13, Protein kinase C theta type, nPKC-theta

Sign In to View Organizational & Contract Pricing.

Select a Size


About This Item

UNSPSC Code:
12352203
NACRES:
NA.46
Conjugate:
unconjugated
Clone:
2N22, recombinant monoclonal
Application:
ICC, IHC, affinity binding assay
Citations:
-
Technical Service
Need help? Our team of experienced scientists is here for you.
Let Us Assist
Technical Service
Need help? Our team of experienced scientists is here for you.
Let Us Assist

biological source

rabbit

recombinant

expressed in HEK 293 cells

conjugate

unconjugated

antibody form

purified antibody

antibody product type

primary antibodies

clone

2N22, recombinant monoclonal

description

recombinant, expressed in HEK 293 cells

product line

ZooMAb® learn more

form

lyophilized

mol wt

calculated mol wt 81.87 kDa, observed mol wt ~100 kDa

purified by

using Protein A

species reactivity

mouse, rat, human

species reactivity (predicted by homology)

sheep, nonhuman primates

packaging

antibody small pack of 25

Quality Level

Gene Information

human ... PRKCQ(5588)

greener alternative product characteristics

Waste Prevention
Designing Safer Chemicals
Design for Energy Efficiency
Learn more about the Principles of Green Chemistry.

enhanced validation

recombinant expression
Learn more about Antibody Enhanced Validation

sustainability

Greener Alternative Product

technique(s)

affinity binding assay: suitable, immunocytochemistry: suitable, immunohistochemistry: suitable

isotype

IgG

epitope sequence

C-terminal half

Protein ID accession no.

UniProt accession no.

greener alternative category

shipped in

ambient

storage temp.

2-8°C

General description

Protein kinase C theta type (UniProt: Q04759; also known as EC:2.7.11.13, nPKC-theta) is encoded by the PRKCQ (also known as PRKCT) gene (Gene ID: 5588) in human. PKC is a member of the protein kinase superfamily, AGC Ser/Thr protein kinase family and PKC subfamily, characterized by a conserved catalytic domain and regulatory domains. PKC plays a crucial role in various cellular processes, including cell proliferation, differentiation, and apoptosis. It is primarily involved in T-cell signaling, where it regulates the activation of nuclear factor kappa B (NF- B) and mitogen-activated protein (MAP) kinase pathways. PKC is predominantly expressed in skeletal muscle, T-cells, megakaryoblastic cells and platelets. PKC is primarily localized in the cytoplasm and can translocate to the plasma membrane. In resting T-cells, mostly localized in cytoplasm and in response to TCR stimulation, it associates with lipid rafts and then localizes in the immunological synapse. PKC contains a C2 domain, two zinc fingers, Protein kinase and AGC-kinase C-terminal domains. The catalytic domain are essential for its enzymatic activity. The C2 domain is involved in membrane localization, while the regulatory region allows for interaction with various cofactors. PKC dysregulation can lead to abnormal T-cell activation, contributing to conditions such as rheumatoid arthritis and multiple sclerosis. PKC is implicated in various diseases, particularly in autoimmune disorders and cancers. PKC was required in the induction of graft-versus-host disease (GvHD). Studies suggest that the recent development and application of PKC inhibitors in the context of autoimmune diseases could benefit the emergence of treatment for cancers in which PKC has been implicated. This ZooMAb® recombinant monoclonal antibody, generated by our proprietary technology, offers significantly enhanced specificity, affinity, reproducibility, and stability over conventional monoclonals. (Ref.: Nicolle, A., et al.(2021). Biomolecules. 11(2):221).
ZooMAb® antibodies represent an entirely new generation of recombinant monoclonal antibodies. Each ZooMAb® antibody is manufactured using our proprietary recombinant expression system, purified to homogeneity, and precisely dispensed to produce robust and highly reproducible lot-to-lot consistency. Only top-performing clones are released for use by researchers. Each antibody is validated for high specificity and affinity across multiple applications, including its most commonly used application. ZooMAb® antibodies are reliably available and ready to ship when you need them.

Immunogen

KLH-conjugated linear peptide corresponding to 24 amino acids from the C-terminal half of human PKC .

Application

Quality Control Testing

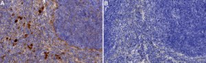
Evaluated by Immunohistochemistry in spleen tissue sections

Immunohistochemistry (Paraffin) Analysis: A 1:1,000 dilution from a representative lot detected PKC in mouse spleen tissue sections.

Tested Applications

Immunohistochemistry (Paraffin) Analysis: A 1:1,000 dilution from a representative lot detected PKC in human tonsil, human spleen and rat spleen tissue sections.

Affinity Binding Assay: A representative lot of this antibody bound PKC peptide with at least one million-fold (1,000,000X) higher affinity than with non-specific control peptide.

Immunocytochemistry Analysis: A 1:100 dilution from a representative lot detected PKC in Jurkat cells.

Note: Actual optimal working dilutions must be determined by end user as specimens, and experimental conditions may vary with the end user.

Biochem/physiol Actions

Clone 2N22 is a ZooMAb® recombinant rabbit monoclonal antibody that specifically detects PKC . It targets an epitope within 24 amino acids from C-terminal half.

Physical form

Purified recombinant rabbit monoclonal antibody IgG, lyophilized in PBS with 5% Trehalose, normal appearance a coarse or translucent resin. The PBS/trehalose components in the ZooMAb formulation can have the appearance of a semi-solid (bead like gel) after lyophilization. This is a normal phenomenon. Please follow the recommended reconstitution procedure in the data sheet to dissolve the semi-solid, bead-like, gel-appearing material. The resulting antibody solution is completely stable and functional as proven by full functional testing. Contains no biocide or preservatives, such as azide, or any animal by-products. Larger pack sizes provided as multiples of 25 µL.

Preparation Note

300 µg/mL after reconstitution at 25 µL per vial. Please refer to guidance on suggested starting dilutions and/or titers per application and sample type.
Recommend storage of lyophilized product at 2-8°C; Before reconstitution, micro-centrifuge vials briefly to spin down material to bottom of the vial; Reconstitute each vial by adding 25 µL of filtered lab grade water or PBS; Reconstituted antibodies can be stored at 2-8°C, or -20°C for long term storage. Avoid repeated freeze-thaws.

Other Notes

We are committed to bringing you greener alternative products, which adhere to one or more of the 12 Principles of Green Chemistry. This antibody is preservative-free, produced without the harm or sacrifice of animals and exceptionally stable to allow for ambient shipping and storage if needed, and thus aligns with "Waste Prevention", "Designing Safer Chemicals" and "Design for Energy Efficiency". Click here for more information.

Legal Information

ZooMAb is a registered trademark of Merck KGaA, Darmstadt, Germany

Disclaimer

Unless otherwise stated in our catalog or other company documentation accompanying the product(s), our products are intended for research use only and are not to be used for any other purpose, which includes but is not limited to, unauthorized commercial uses, in vitro diagnostic uses, ex vivo or in vivo therapeutic uses or any type of consumption or application to humans or animals.

Not finding the right product?  

Try our Product Selector Tool.

Storage Class

11 - Combustible Solids

wgk

WGK 1

flash_point_f

Not applicable

flash_point_c

Not applicable

Regulatory Information

新产品
This item has

Choose from one of the most recent versions:

Certificates of Analysis (COA)

Lot/Batch Number

Don't see the Right Version?

If you require a particular version, you can look up a specific certificate by the Lot or Batch number.

Already Own This Product?

Find documentation for the products that you have recently purchased in the Document Library.

Visit the Document Library

Our team of scientists has experience in all areas of research including Life Science, Material Science, Chemical Synthesis, Chromatography, Analytical and many others.

Contact Technical Service