Skip to Content
Merck
CN

ZRB3485

Anti-SAMHD1 Antibody, clone 1K3 ZooMAb® Rabbit Monoclonal

greener alternative

recombinant, expressed in HEK 293 cells

Synonym(s):

DCIP, Dendritic cell-derived IFNG-induced protein, Deoxynucleoside triphosphate triphosphohydrolase SAMHD1, EC:3.1.5.-, MOP-5, Monocyte protein 5, SAM domain and HD domain-containing protein 1, dNTPase, hSAMHD1

Sign In to View Organizational & Contract Pricing.

Select a Size


About This Item

NACRES:
NA.46
UNSPSC Code:
12352203
Technique(s):
affinity binding assay: suitable, immunocytochemistry: suitable, immunohistochemistry: suitable, western blot: suitable
Uniprot accession no.:
Application:
ICC, IHC, WB, affinity binding assay
Citations:
-
Technical Service
Need help? Our team of experienced scientists is here for you.
Let Us Assist
Technical Service
Need help? Our team of experienced scientists is here for you.
Let Us Assist

greener alternative product characteristics

Waste Prevention
Designing Safer Chemicals
Design for Energy Efficiency
Learn more about the Principles of Green Chemistry.

enhanced validation

recombinant expression
Learn more about Antibody Enhanced Validation

sustainability

Greener Alternative Product

technique(s)

affinity binding assay: suitable, immunocytochemistry: suitable, immunohistochemistry: suitable, western blot: suitable

isotype

IgG

epitope sequence

N-terminal

Protein ID accession no.

UniProt accession no.

greener alternative category

shipped in

ambient

storage temp.

2-8°C

biological source

rabbit

recombinant

expressed in HEK 293 cells

conjugate

unconjugated

antibody form

purified antibody

antibody product type

primary antibodies

clone

1K3, recombinant monoclonal

description

recombinant, expressed in HEK 293 cells

product line

ZooMAb® learn more

form

lyophilized

mol wt

calculated mol wt 72.20 kDa, observed mol wt ~65 kDa

purified by

using Protein A

species reactivity

human

species reactivity (predicted by homology)

nonhuman primates

packaging

antibody small pack of 25

Quality Level

Gene Information

human ... SAMHD1(25939)

General description

ZooMAb® antibodies represent an entirely new generation of recombinant monoclonal antibodies. Each ZooMAb® antibody is manufactured using our proprietary recombinant expression system, purified to homogeneity, and precisely dispensed to produce robust and highly reproducible lot-to-lot consistency. Only top-performing clones are released for use by researchers. Each antibody is validated for high specificity and affinity across multiple applications, including its most commonly used application. ZooMAb® antibodies are reliably available and ready to ship when you need them.
We are committed to bringing you greener alternative products, which adhere to one or more of the 12 Principles of Green Chemistry. This antibody is preservative-free, produced without the harm or sacrifice of animals and exceptionally stable to allow for ambient shipping and storage if needed, and thus aligns with "Waste Prevention", "Designing Safer Chemicals" and "Design for Energy Efficiency". Click here for more information.

Immunogen

KLH-conjugated linear peptide corresponding to 22 amino acids from the N-terminal region of human SAMHD1.

Application

Quality Control Testing

Evaluated by Western Blotting in Daudi cell lysate.

Western Blotting Analysis: A 1:10,000 dilution of this antibody detected SAMHD1 in Daudi cell lysate.

Tested Applications

Western Blotting Analysis: A 1:10,000 dilution from a representative lot detected SAMHD1 in THP-1 cell lysate.

Affinity Binding Assay: A representative lot of this antibody bound SAMHD1 peptide with at least ten thousand-fold (10,000X) higher affinity than with non-specific control peptide.

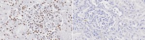
Immunohistochemistry (Paraffin) Analysis: A 1:100 dilution from a representative lot detected SAMHD1 in human kidney tissue sections.

Immunocytochemistry Analysis: A 1:1,000 dilution from a representative lot detected SAMHD1 in THP-1 cells.

Note: Actual optimal working dilutions must be determined by end user as specimens, and experimental conditions may vary with the end user.

Physical form

Purified recombinant rabbit monoclonal antibody IgG, lyophilized in PBS with 5% Trehalose, normal appearance a coarse or translucent resin. The PBS/trehalose components in the ZooMAb formulation can have the appearance of a semi-solid (bead like gel) after lyophilization. This is a normal phenomenon. Please follow the recommended reconstitution procedure in the data sheet to dissolve the semi-solid, bead-like, gel-appearing material. The resulting antibody solution is completely stable and functional as proven by full functional testing. Contains no biocide or preservatives, such as azide, or any animal by-products. Larger pack sizes provided as multiples of 25 µL.

Preparation Note

300 µg/mL after reconstitution at 25 µL per vial. Please refer to guidance on suggested starting dilutions and/or titers per application and sample type.
Recommend storage of lyophilized product at 2-8°C; Before reconstitution, micro-centrifuge vials briefly to spin down material to bottom of the vial; Reconstitute each vial by adding 25 µL of filtered lab grade water or PBS; Reconstituted antibodies can be stored at 2-8°C, or -20°C for long term storage. Avoid repeated freeze-thaws.

Analysis Note

Deoxynucleoside triphosphate triphosphohydrolase SAMHD1 (UniProt: Q9Y3Z3; also known as dNTPase, Dendritic cell-derived IFNG-induced protein, DCIP, Monocyte protein 5, MOP-5, SAM domain and HD domain-containing protein 1) is encoded by the SAMHD1 (also known as MPOS) gene (Gene ID: 25939) in human. SAMHD1 is a nuclear protein that functions as a host restriction nuclease that blocks early-stage virus replication in dendritic and other myeloid cells. SAMHD1 regulates cell proliferation, restricts HIV and retrovirus infection, and controls the cell cycle. It suppresses LINE-1 retrotransposon activity and may function by reducing the cellular dNTP to such low levels that prevents retroviral reverse transcription. SAMHD1 is also reported to play a role in mediating pro-inflammatory responses to TNF-alpha signaling. It is expressed in heart, skeletal muscle, spleen, liver, small intestine, placenta, lung and peripheral blood leukocytes, however, no expression is seen in brain and thymus tissue. Its expression is shown to be upregulated in TNF-alpha treated fibroblasts. SAMHD1 is allosterically stimulated by dGTP, which binds in a cleft at the interface of the homodimer and promotes the formation of highly active homotetramers. Four isoforms of SAMHD1 have been described that are produced by alternate splicing. Mutations in SAMHD1 gene are reported to be involved in the pathogenesis of Chilblain lupus 2, a cutaneous form of lupus erythematosus and in Aicardi-Goutieres syndrome 5 that is characterized by cerebral atrophy, leukoencephalopathy, intracranial calcifications, chronic cerebrospinal fluid (CSF) lymphocytosis. SAMHD1 is suggested as a novel risk stratification biomarker for several hematological malignancies. It is also considered as a prognostic marker in Kidney renal clear cell carcinoma. This ZooMAb® recombinant monoclonal antibody, generated by our proprietary technology, offers significantly enhanced specificity, affinity, reproducibility, and stability over conventional monoclonals. (Ref.: Wang, T., et al. (2022). Genes Dis. 10(3); 891-900)

Other Notes

Clone 1K3 is a ZooMAb® recombinant rabbit monoclonal antibody that specifically detects SAMHD1. It targets an epitope within 22 amino acids from the N-terminal region.

Legal Information

ZooMAb is a registered trademark of Merck KGaA, Darmstadt, Germany

Disclaimer

Unless otherwise stated in our catalog or other company documentation accompanying the product(s), our products are intended for research use only and are not to be used for any other purpose, which includes but is not limited to, unauthorized commercial uses, in vitro diagnostic uses, ex vivo or in vivo therapeutic uses or any type of consumption or application to humans or animals.

Not finding the right product?  

Try our Product Selector Tool.

Storage Class

11 - Combustible Solids

flash_point_f

Not applicable

flash_point_c

Not applicable

Regulatory Information

新产品
This item has

Choose from one of the most recent versions:

Certificates of Analysis (COA)

Lot/Batch Number

Don't see the Right Version?

If you require a particular version, you can look up a specific certificate by the Lot or Batch number.

Already Own This Product?

Find documentation for the products that you have recently purchased in the Document Library.

Visit the Document Library

Our team of scientists has experience in all areas of research including Life Science, Material Science, Chemical Synthesis, Chromatography, Analytical and many others.

Contact Technical Service