Skip to Content
Merck
CN

ZRB2854

Anti-Histone H3.3 G34W Antibody, clone 2E20 ZooMAb® Rabbit Monoclonal

greener alternative

recombinant, expressed in HEK 293 cells

Synonym(s):

H3-3A

Sign In to View Organizational & Contract Pricing.

Select a Size


About This Item

NACRES:
NA.41
UNSPSC Code:
12352203
Conjugate:
unconjugated
Clone:
2E20, recombinant monoclonal
Application:
IHC, WB, affinity binding assay
Citations:
-
Technical Service
Need help? Our team of experienced scientists is here for you.
Let Us Assist
Technical Service
Need help? Our team of experienced scientists is here for you.
Let Us Assist

biological source

rabbit

recombinant

expressed in HEK 293 cells

conjugate

unconjugated

antibody form

purified antibody

antibody product type

primary antibodies

clone

2E20, recombinant monoclonal

description

2E20 Clone

product line

ZooMAb® learn more

form

lyophilized

mol wt

calculated mol wt 15.33 kDa, observed mol wt ~17 kDa

purified by

using Protein A

species reactivity

human

packaging

antibody small pack of 25 μL

greener alternative product characteristics

Waste Prevention
Designing Safer Chemicals
Design for Energy Efficiency
Learn more about the Principles of Green Chemistry.

enhanced validation

recombinant expression
Learn more about Antibody Enhanced Validation

technique(s)

affinity binding assay: suitable, immunohistochemistry: suitable, western blot: suitable

isotype

IgG

epitope sequence

N-terminal half

Protein ID accession no.

UniProt accession no.

greener alternative category

shipped in

ambient

storage temp.

2-8°C

Quality Level

Gene Information

human ... H3-3A(3020)

General description

Histone H3.3 (UniProt: P84243; also known as H3.3) is encoded by the H3-3A (also known as H3.3A, H3F3, H3F3A, PP781, H3-3B) gene (Gene ID: 3020) in human. Histone H3 has two main variants, H3.1 and H3.3, which show different genomic localization patterns in animals. Histone H3.1 serves as the canonical histone, which is incorporated during DNA replication. Histone H3.3 is a highly conserved variant form of Histone H3, which replaces conventional H3 in a wide range of nucleosomes in active genes. Histone H 3.3 constitutes the predominant form of histone H3 in non-dividing cells and is incorporated into chromatin independently of DNA synthesis. H3.3 is associated with actively expressed genes in both animals and plants. It is predominantly enriched near transcription end sites (TES) of genes and positively associated with transcription.  Histone H3 contains a main globular domain and a long N-terminal tail and is involved with the structure of the nucleosomes of the ′beads on a string′ structure. The N-terminal tail of histone H3 protrudes from the globular nucleosome core and can undergo several different types of epigenetic modifications that influence cellular processes. These modifications include the covalent attachment of methyl or acetyl groups to lysine and arginine amino acids and the phosphorylation of serine or threonine. For example, acetylation on Lys10 (H3K9ac; initial methionine removed) impairs methylation at Arg9 (H3R8me2s) and acetylation on Lys19 (H3K18ac) and Lys24 (H3K24ac) favors methylation at Arg18 (H3R17me). Phosphorylation at Ser11 (H3S10ph) by Aurora kinase B is crucial for chromosome condensation and cell-cycle progression during mitosis and meiosis. Phosphorylation at Ser11 by RPS6KA4 and RPS6KA5 is important during interphase because it enables the transcription of genes following external stimulation, like mitogens, stress, growth factors or UV irradiation and result in the activation of genes, such as c-Fos and c-Jun.  Mutations in Histone H3.3 have been implicated in a high proportion of malignant pediatric brain cancers. The mutant H3.3 histone disrupts epigenetic post-translational modifications near genes involved in cancer processes and in brain function. Glycine 34 to tryptophan (G34W) mutation in Histone 3.3 have been linked to the development of giant cell tumor of bone (GCTB) and also in a mosaic disorder characterized by pheochromocytomas and paragangliomas. This ZooMAb® recombinant monoclonal antibody, generated by our propriety technology, offers significantly enhanced specificity, affinity, reproducibility, and stability over conventional monoclonals. (Ref.: Amary, F., et al. (2017). Am. J. Surg. Pathol. 41(8); 1059-1068).
We are committed to bringing you greener alternative products, which adhere to one or more of The 12 Principles of Green Chemistry. This antibody is Preservative-free, produced without the harm or sacrifice of animals and exceptionally stable to allow for ambient shipping and storage if needed and thus aligns with "Waste Prevention", "Designing Safer Chemicals" and "Design for Energy Efficiency". Click here for more information.
ZooMAb® antibodies represent an entirely new generation of recombinant monoclonal antibodies. Each ZooMAb® antibody is manufactured using our proprietary recombinant expression system, purified to homogeneity, and precisely dispensed to produce robust and highly reproducible lot-to-lot consistency. Only top-performing clones are released for use by researchers. Each antibody is validated for high specificity and affinity across multiple applications, including its most commonly used application. ZooMAb® antibodies are reliably available and ready to ship when you need them.

Immunogen

KLH-conjugated linear peptide corresponding to 8 amino acids surrounding the mutated G34W site from the N-terminal half of human Histone H3.3.

Application

Quality Control Testing

Evaluated by Western Blotting in lysates from HEK293 cells expressing Histone H3.3 with G34W mutation.

Western Blotting Analysis (WB): A 1:10,000 dilution of this antibody detected Histone H3.3 G34W in lysate from HEK293 cells expressing this mutation, but not in wild-type HEK293 cells.

Tested Applications

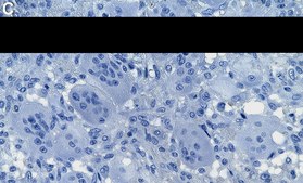
Immunohistochemistry (Paraffin) Analysis: A 1:100 dilution from a representative lot detected Histone H3.3 G34W in Human bone giant cell tumor tissue sections.

Affinity Binding Assay: A representative lot of this antibody bound Histone H3.3 G34W peptide with a KD of 3.1 x 10-6 in an affinity binding assay.

Note: Actual optimal working dilutions must be determined by end user as specimens, and experimental conditions may vary with the end user.

Biochem/physiol Actions

Clone 2E20 is a ZooMAb® rabbit recombinant monoclonal antibody that specifically detects Histone H3.3 with G34W mutation.

Physical form

Purified recombinant rabbit monoclonal antibody IgG, lyophilized in PBS with 5% Trehalose, normal appearance a coarse or translucent resin. The PBS/trehalose components in the ZooMAb formulation can have the appearance of a semi-solid (bead like gel) after lyophilization. This is a normal phenomenon. Please follow the recommended reconstitution procedure in the data sheet to dissolve the semi-solid, bead-like, gel-appearing material. The resulting antibody solution is completely stable and functional as proven by full functional testing. Contains no biocide or preservatives, such as azide, or any animal by-products. Larger pack sizes provided as multiples of 25 µL.

Preparation Note

Recommend storage of lyophilized product at 2-8°C; Before reconstitution, micro-centrifuge vials briefly to spin down material to bottom of the vial; Reconstitute each vial by adding 25 µL of filtered lab grade water or PBS; Reconstituted antibodies can be stored at 2-8°C, or -20°C for long term storage. Avoid repeated freeze-thaws.
Reconstitute lyophilized antibody pellet with 25μL of ultrapure water or Phosphate Buffered Saline (PBS). Please refer to our reconstitution protocol and the specific application guidance on the suggested starting dilutions and sample type.

Other Notes

Concentration: Please refer to the Certificate of Analysis for the lot-specific concentration.

Legal Information

ZooMAb is a registered trademark of Merck KGaA, Darmstadt, Germany

Disclaimer

Unless otherwise stated in our catalog or other company documentation accompanying the product(s), our products are intended for research use only and are not to be used for any other purpose, which includes but is not limited to, unauthorized commercial uses, in vitro diagnostic uses, ex vivo or in vivo therapeutic uses or any type of consumption or application to humans or animals.

Not finding the right product?  

Try our Product Selector Tool.

Storage Class

11 - Combustible Solids

wgk

WGK 1

flash_point_f

Not applicable

flash_point_c

Not applicable

Regulatory Information

常规特殊物品
This item has

Choose from one of the most recent versions:

Certificates of Analysis (COA)

Lot/Batch Number

Don't see the Right Version?

If you require a particular version, you can look up a specific certificate by the Lot or Batch number.

Already Own This Product?

Find documentation for the products that you have recently purchased in the Document Library.

Visit the Document Library

Our team of scientists has experience in all areas of research including Life Science, Material Science, Chemical Synthesis, Chromatography, Analytical and many others.

Contact Technical Service