Skip to Content
Merck
CN

ZRB2754

Anti-SETD8/KMT5A Antibody, clone 5L10 ZooMAb® Rabbit Monoclonal

greener alternative

recombinant, expressed in HEK 293 cells

Synonym(s):

N-lysine methyltransferase KMT5A;EC: 2.1.1.43;H4-K20-HMTase KMT5A;Histone-lysine N-methyltransferase KMT5A;Lysine N-methyltransferase 5A;Lysine-specific methylase 5A;PR/SET domain-containing protein 07;PR-Set7, PR/SET07, SET domain-containing protein 8

Sign In to View Organizational & Contract Pricing.

Select a Size


About This Item

NACRES:
NA.43
UNSPSC Code:
12352203
Conjugate:
unconjugated
Clone:
5L10, recombinant monoclonal
Application:
ELISA, ICC, IHC, WB, affinity binding assay
Citations:
-
Technical Service
Need help? Our team of experienced scientists is here for you.
Let Us Assist
Technical Service
Need help? Our team of experienced scientists is here for you.
Let Us Assist

biological source

rabbit

recombinant

expressed in HEK 293 cells

conjugate

unconjugated

antibody form

purified antibody

antibody product type

primary antibodies

clone

5L10, recombinant monoclonal

description

5L10 Clone

product line

ZooMAb® learn more

form

lyophilized

mol wt

calculated mol wt 42.89 kDa, observed mol wt ~60 kDa

purified by

using Protein A

species reactivity

human, mouse

packaging

antibody small pack of 25 μL

greener alternative product characteristics

Waste Prevention
Designing Safer Chemicals
Design for Energy Efficiency
Learn more about the Principles of Green Chemistry.

enhanced validation

recombinant expression
Learn more about Antibody Enhanced Validation

sustainability

Greener Alternative Product

technique(s)

ELISA: suitable, affinity binding assay: suitable, immunocytochemistry: suitable, immunohistochemistry: suitable, western blot: suitable

isotype

IgG

epitope sequence

Internal

Protein ID accession no.

UniProt accession no.

greener alternative category

shipped in

ambient

storage temp.

2-8°C

target post-translational modification

unmodified

Quality Level

Gene Information

human ... KMT5A(387893)

General description

N-lysine methyltransferase KMT5A (UniProt: Q9NQR1; also known as EC: 2.1.1.43, H4-K20-HMTase KMT5A, Histone-lysine N-methyltransferase KMT5A, Lysine N-methyltransferase 5A, Lysine-specific methylase 5A, PR/SET domain-containing protein 07, PR-Set7, PR/SET07, SET domain-containing protein 8) is encoded by the KMT5A (also known as PRSET7, SET07, SET8, SETD8) gene (Gene ID: 387893) in human. SETD8 (hPR-SET7) is a histone methyltransferase that monomethylates both histones and non-histone proteins. It is reported to add a single methyl group to lysine 20 of histone H4 (H4K20me1). H4K20me1 is enriched during mitosis and represents a specific tag for epigenetic transcriptional repression. SETD8 is not detected during the G1 phase. It is first detected during S through G2 phases, and peaks during mitosis. It mainly functions in euchromatin regions, thereby playing a central role in the silencing of euchromatic genes. It is required for cell proliferation, probably by contributing to the maintenance of proper higher-order structure of DNA during mitosis and is also involved in chromosome condensation and proper cytokinesis. It is also reported to mediate mono-methylation of p53/TP53 at lysine 382, leading to repress p53/TP53-target genes. SETD8 has a SET domain in the amino acids 257-378 and this region contains the active site of enzymatic activity. Sequences upstream and downstream of SET domain are also required for its methyltransferase activity. Two isoforms of SETD8 have been described that are produced by alternative splicing. This ZooMAb® recombinant monoclonal antibody, generated by our propriety technology, offers significantly enhanced specificity, affinity, reproducibility, and stability over conventional monoclonals. (Ref.: Couture, J-F., et al. (2005). Genes Dev. 19(12); 1455-1465; Nishioka, K., et al. (2002). Mol. Cell. 9(6); 1201-1213).
We are committed to bringing you greener alternative products, which adhere to one or more of The 12 Principles of Green Chemistry.This antibody is Preservative-free, produced without the harm or sacrifice of animals and exceptionally stable to allow for ambient shipping and storage if needed and thus aligns with "Waste Prevention", "Designing Safer Chemicals" and "Design for Energy Efficiency". Click here for more information.
ZooMAb® antibodies represent an entirely new generation of recombinant monoclonal antibodies.Each ZooMAb® antibody is manufactured using our proprietary recombinant expression system, purified to homogeneity, and precisely dispensed to produce robust and highly reproducible lot-to-lot consistency. Only top-performing clones are released for use by researchers. Each antibody is validated for high specificity and affinity across multiple applications, including its most commonly used application. ZooMAb® antibodies are reliably available and ready to ship when you need them.

Immunogen

His-tagged recombinant fragment corresponding to 178 amino acids from the internal region of human N-lysine methyltransferase KMT5A (SETD8).

Application

Quality Control Testing

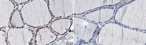
Evaluated by Immunohistochemistry (Paraffin) in human thyroid tissue sections.

Immunohistochemistry (Paraffin) Analysis: A 1:100 dilution of this antibody detected SETD8/KMT5A in human thyroid tissue sections.

Tested Applications

Affinity Binding Assay: A representative lot of this antibody bound SETD8/KMT5A protein fragment with a KD of 8.0 x 10-8 in an affinity binding assay.

Immunocytochemistry Analysis: A 1:100 dilution from a representative lot detected SETD8/KMT5A in A431, HeLa, HepG2, and NIH 3T3 cells.

Western Blotting Analysis (WB): A 1:1,000 dilution of this antibody detected SETD8/KMT5A in NIH3T3 cell lysate.

Western Blotting Analysis (WB): A 1:1,000 dilution of this antibody detected FLAG-tagged recombinant Human SETD8/KMT5A.

Enzyme Immunoassay Analysis (ELISA): A serial dilution of this antibody detected recombinant Human SETD8/KMT5A.

Note: Actual optimal working dilutions must be determined by end user as specimens, and experimental conditions may vary with the end user

Biochem/physiol Actions

Clone 5L10 is a ZooMAb® Rabbit recombinant monoclonal antibody that specifically detects N-lysine methyltransferase KMT5A (SETD8). It targets an epitope within the internal region.

Physical form

Purified recombinant rabbit monoclonal antibody IgG, lyophilized in PBS with 5% Trehalose, normal appearance a coarse or translucent resin. The PBS/trehalose components in the ZooMAb formulation can have the appearance of a semi-solid (bead like gel) after lyophilization. This is a normal phenomenon. Please follow the recommended reconstitution procedure in the data sheet to dissolve the semi-solid, bead-like, gel-appearing material. The resulting antibody solution is completely stable and functional as proven by full functional testing. Contains no biocide or preservatives, such as azide, or any animal by-products. Larger pack sizes provided as multiples of 25 μL.

Preparation Note

Recommend storage of lyophilized product at 2-8°C; Before reconstitution, micro-centrifuge vials briefly to spin down material to bottom of the vial; Reconstitute each vial by adding 25 μL of filtered lab grade water or PBS; Reconstituted antibodies can be stored at 2-8°C, or -20°C for long term storage. Avoid repeated freeze-thaws.
Reconstitute lyophilized antibody pellet with 25μL of ultrapure water or Phosphate Buffered Saline (PBS). Please refer to our reconstitution protocol and the specific application guidance on the suggested starting dilutions and sample type.

Legal Information

ZooMAb is a registered trademark of Merck KGaA, Darmstadt, Germany

Disclaimer

Unless otherwise stated in our catalog or other company documentation accompanying the product(s), our products are intended for research use only and are not to be used for any other purpose, which includes but is not limited to, unauthorized commercial uses, in vitro diagnostic uses, ex vivo or in vivo therapeutic uses or any type of consumption or application to humans or animals.

Not finding the right product?  

Try our Product Selector Tool.

Storage Class

11 - Combustible Solids

wgk

WGK 1

flash_point_f

Not applicable

flash_point_c

Not applicable

Regulatory Information

常规特殊物品
This item has

Choose from one of the most recent versions:

Certificates of Analysis (COA)

Lot/Batch Number

Don't see the Right Version?

If you require a particular version, you can look up a specific certificate by the Lot or Batch number.

Already Own This Product?

Find documentation for the products that you have recently purchased in the Document Library.

Visit the Document Library

Our team of scientists has experience in all areas of research including Life Science, Material Science, Chemical Synthesis, Chromatography, Analytical and many others.

Contact Technical Service