Skip to Content
Merck
CN

ZRB2365

Anti-ZC3H13 Antibody, clone 1F4 ZooMAb® Rabbit Monoclonal

greener alternative

recombinant, expressed in HEK 293 cells

Synonym(s):

Zinc finger CCCH domain-containing protein 13

Sign In to View Organizational & Contract Pricing.

Select a Size


About This Item

NACRES:
NA.41
UNSPSC Code:
12352203
Conjugate:
unconjugated
Clone:
1F4, recombinant monoclonal
Application:
ICC, IHC, WB, affinity binding assay
Citations:
-
Technical Service
Need help? Our team of experienced scientists is here for you.
Let Us Assist
Technical Service
Need help? Our team of experienced scientists is here for you.
Let Us Assist

biological source

rabbit

recombinant

expressed in HEK 293 cells

conjugate

unconjugated

antibody form

purified antibody

antibody product type

primary antibodies

clone

1F4, recombinant monoclonal

description

1F4 Clone

product line

ZooMAb® learn more

form

lyophilized

mol wt

calculated mol wt 196.64 kDa, observed mol wt ~220 kDa

purified by

using Protein A

species reactivity

human

species reactivity (predicted by homology)

monkey

packaging

antibody small pack of 25 μL

greener alternative product characteristics

Waste Prevention
Designing Safer Chemicals
Design for Energy Efficiency
Learn more about the Principles of Green Chemistry.

enhanced validation

recombinant expression
Learn more about Antibody Enhanced Validation

technique(s)

affinity binding assay: suitable, immunocytochemistry: suitable, immunohistochemistry: suitable, western blot: suitable

isotype

IgG

epitope sequence

C-terminal

Protein ID accession no.

UniProt accession no.

greener alternative category

shipped in

ambient

storage temp.

2-8°C

Quality Level

Gene Information

human ... ZC3H13(23091)

General description

We are committed to bringing you greener alternative products, which adhere to one or more of The 12 Principles of Green Chemistry. This antibody is Preservative-free, produced without the harm or sacrifice of animals and exceptionally stable to allow for ambient shipping and storage if needed and thus aligns with "Waste Prevention", "Designing Safer Chemicals" and "Design for Energy Efficiency". Click here for more information.
Zinc finger CCCH domain-containing protein 13 (UniProt: Q5T200; also known as ZC3H13) is encoded by the ZC3H13 (also known as KIAA0853 ) gene (Gene ID: 23091) in human. ZC3H13 is a zinc-finger protein that is a component of the WMM complex that mediates N6-methyladenosine (m6A) methylation of RNAs. m6A methylation plays an important role in the efficiency of mRNA splicing and RNA processing. It promotes m6A methylation of mRNAs at the 3′-UTR. Via its role in m6A methylation, it also controls embryonic stem cell pluripotency. Knockdown of ZC3H13 in mouse embryonic stem cell is shown to significantly reduce global m6A level on mRNA and trigger embryonic stem cell differentiation. Following ZC3H13 knockdown, a great majority of WTAP, Virilizer, and Hakai are reported to translocate to the cytoplasm, indicating its importance in nuclear localization of the ZC3H13-WTAP-Virilizer-Hakai complex, which is essential for RNA m6A methylation. ZC3H13 is differentially expressed in most tumors. Its expression is correlated with clinicopathological factors in kidney renal clear cell carcinoma. Overexpressed ZC3H13 suppresses proliferation, migration, and invasion and elevated apoptosis in hepatocellular carcinoma (HCC) cells and sensitizes these cells to cisplatin. Its expression is downregulated in HCC with poor survival outcome. This ZooMAb® recombinant monoclonal antibody, generated by our propriety technology, offers significantly enhanced specificity, affinity, reproducibility, and stability over conventional monoclonals. (Ref.: Guo, T., et al. (2021). Front. Oncol. 11; 718644; Wang,  Q., et al. (2021). J. Oncol. 2021; Article 1328444; Wen, J., et al. (2018). Mol. Cell. 69(6); 1028-1038)..
ZooMAb® antibodies represent an entirely new generation of recombinant monoclonal antibodies. Each ZooMAb® antibody is manufactured using our proprietary recombinant expression system, purified to homogeneity, and precisely dispensed to produce robust and highly reproducible lot-to-lot consistency. Only top-performing clones are released for use by researchers. Each antibody is validated for high specificity and affinity across multiple applications, including its most commonly used application. ZooMAb® antibodies are reliably available and ready to ship when you need them.

Immunogen

KLH-conjugated linear peptide corresponding to 19 amino acids from the C-terminal region of human Zinc finger CCCH domain-containing protein 13 (ZC3H13).

Application

Quality Control Testing

Evaluated by Western Blotting in HeLa cell nuclear extract..

Western Blotting Analysis: A 1:1,000 dilution of this antibody detected ZC3H13 in HeLa cell nuclear extract.

Tested Applications

Western Blotting Analysis: A 1:1,000 dilution from a representative lot detected ZC3H13 in SKBr3 cell nuclear extract.

Affinity Binding Assay: A representative lot of this antibody bound ZC3H13 peptide with a KD of 5.9 x 10-6 in an affinity binding assay.

Immunocytochemistry Analysis: A 1:100 dilution from a representative lot detected ZC3H13 in A431, HeLa, and HepG2 cells.

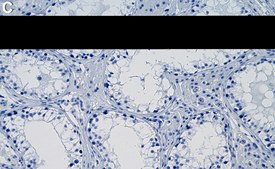
Immunohistochemistry (Paraffin) Analysis: A 1:100 dilution from a representative lot detected ZC3H13 in human testis tissue sections.

Note: Actual optimal working dilutions must be determined by end user as specimens, and experimental conditions may vary with the end user.

Biochem/physiol Actions

Clone 1F4 is a ZooMAb® rabbit recombinant monoclonal antibody that specifically detects Zinc finger CCCH domain-containing protein 13 (ZC3H13). It targets an epitope within 19 amino acids from the C-terminal region.

Physical form

Purified recombinant rabbit monoclonal antibody IgG, lyophilized in PBS, 5% Trehalose, normal appearance a coarse or translucent resin. The PBS/trehalose components in the ZooMAb formulation can have the appearance of a semi-solid (bead like gel) after lyophilization. This is a normal phenomenon. Please follow the recommended reconstitution procedure in the data sheet to dissolve the semi-solid, bead-like, gel-appearing material. The resulting antibody solution is completely stable and functional as proven by full functional testing. Contains no biocide or preservatives, such as azide, or any animal by-products. Larger pack sizes provided as multiples of 25 µL.

Preparation Note

Recommend storage of lyophilized product at 2-8°C; Before reconstitution, micro-centrifuge vials briefly to spin down material to bottom of the vial; Reconstitute each vial by adding 25 µL of filtered lab grade water or PBS; Reconstituted antibodies can be stored at 2-8°C, or -20°C for long term storage. Avoid repeated freeze-thaws.
Reconstitute lyophilized antibody pellet with 25μL of ultrapure water or Phosphate Buffered Saline (PBS). Please refer to our reconstitution protocol and the specific application guidance on the suggested starting dilutions and sample type.

Other Notes

Concentration: Please refer to the Certificate of Analysis for the lot-specific concentration.

Legal Information

ZooMAb is a registered trademark of Merck KGaA, Darmstadt, Germany

Disclaimer

Unless otherwise stated in our catalog or other company documentation accompanying the product(s), our products are intended for research use only and are not to be used for any other purpose, which includes but is not limited to, unauthorized commercial uses, in vitro diagnostic uses, ex vivo or in vivo therapeutic uses or any type of consumption or application to humans or animals.

Not finding the right product?  

Try our Product Selector Tool.

Storage Class

11 - Combustible Solids

wgk

WGK 1

flash_point_f

Not applicable

flash_point_c

Not applicable

Regulatory Information

常规特殊物品
This item has

Choose from one of the most recent versions:

Certificates of Analysis (COA)

Lot/Batch Number

Don't see the Right Version?

If you require a particular version, you can look up a specific certificate by the Lot or Batch number.

Already Own This Product?

Find documentation for the products that you have recently purchased in the Document Library.

Visit the Document Library

Our team of scientists has experience in all areas of research including Life Science, Material Science, Chemical Synthesis, Chromatography, Analytical and many others.

Contact Technical Service