Skip to Content
Merck
CN

ZRB2313

Anti-Chk1 Antibody, clone 2E14 ZooMAb® Rabbit Monoclonal

greener alternative

recombinant, expressed in HEK 293 cells

Synonym(s):

Serine/threonine-protein kinase Chk1;EC:2.7.11.1;CHK1 checkpoint homolog;Cell cycle checkpoint kinase;Checkpoint kinase-1

Sign In to View Organizational & Contract Pricing.

Select a Size


About This Item

NACRES:
NA.41
UNSPSC Code:
12352203
Conjugate:
unconjugated
Clone:
2E14, recombinant monoclonal
Application:
ICC, IHC, WB
Citations:
-
Technical Service
Need help? Our team of experienced scientists is here for you.
Let Us Assist
Technical Service
Need help? Our team of experienced scientists is here for you.
Let Us Assist

biological source

rabbit

recombinant

expressed in HEK 293 cells

conjugate

unconjugated

antibody form

purified antibody

antibody product type

primary antibodies

clone

2E14, recombinant monoclonal

description

2E14 Clone

product line

ZooMAb® learn more

form

lyophilized

mol wt

calculated mol wt 54.43 kDa, observed mol wt ~60 kDa

purified by

using Protein A

species reactivity

human, mouse

species reactivity (predicted by homology)

canine, porcine, monkey, feline

packaging

antibody small pack of 25 μL

greener alternative product characteristics

Waste Prevention
Designing Safer Chemicals
Design for Energy Efficiency
Learn more about the Principles of Green Chemistry.

enhanced validation

recombinant expression
Learn more about Antibody Enhanced Validation

sustainability

Greener Alternative Product

technique(s)

immunocytochemistry: suitable, immunohistochemistry: suitable, western blot: suitable

isotype

IgG

epitope sequence

Internal

Protein ID accession no.

UniProt accession no.

greener alternative category

shipped in

ambient

storage temp.

2-8°C

target post-translational modification

unmodified

Quality Level

Gene Information

human ... CHEK1(1111)

General description

Serine/threonine-protein kinase Chk1 (UniProt: O14757; also known as EC:2.7.11.1, CHK1 checkpoint homolog, Cell cycle checkpoint kinase, Checkpoint kinase-1) is encoded by the CHEK1 (also known as CHK1) gene (Gene ID: 1111) in human. Chk1 is a serine/threonine-protein kinase that is required for checkpoint-mediated cell cycle arrest. It is expressed ubiquitously, and is abundantly expressed in thymus, testis, small intestine, and colon. It is activated through phosphorylation predominantly by ATR but also by ATM in response to DNA damage or inhibition of DNA replication. It may negatively regulate cell cycle progression during unperturbed cell cycles that is achieved by a number of mechanisms that together help to preserve the integrity of the genome. Chk1 recognizes the substrate consensus sequence [R-X-X-S/T]. It binds to and phosphorylates CDC25A (at Ser 178, Thr 507) and CDC25C (at Ser 216). These phosphorylations create binding sies for 14-3-3- proteins, which inhibit CDC2A and CDC2C. Phosphorylation of Chk1 on serine 345 induces a change in the conformation of the protein that activates the kinase activity and is shown to be a prerequisite for interaction with FBXO6 and subsequent ubiquitination at lysine 436. Phosphorylation at serine 345 increases its binding to 14-3-3 proteins and promotes its nuclear retention. Conversely, dephosphorylation at serine 345 by protein phosphatase, Mg2+/Mn2+ dependent 1D (PPM1D) contributes to exit from checkpoint mediated cell cycle arrest. The activated, serine 345 phosphorylated form can undergo polyubiquitination at lysine 436 and undergo degradation ensuring  that activated Chk1 does not accumulate as cells progress through S phase. This ZooMAb® recombinant monoclonal antibody, generated by our propriety technology, offers significantly enhanced specificity, affinity, reproducibility, and stability over conventional monoclonals. (Ref.: Moiseeva, TN., et al. (2019). Proc. Natl. Acad. Sci. USA. 116(27); 13374-13383; Chen, MS., et al. (2003). Mol. Cell Biol. 23(21); 7488-7497; Feijoo, C., et al. (2001). J. Cell. Biol. 154(5); 913-923).
We are committed to bringing you greener alternative products, which adhere to one or more of The 12 Principles of Green Chemistry.This antibody is Preservative-free, produced without the harm or sacrifice of animals and exceptionally stable to allow for ambient shipping and storage if needed and thus aligns with "Waste Prevention", "Designing Safer Chemicals" and "Design for Energy Efficiency". Click here for more information.
ZooMAb® antibodies represent an entirely new generation of recombinant monoclonal antibodies. Each ZooMAb® antibody is manufactured using our proprietary recombinant expression system, purified to homogeneity, and precisely dispensed to produce robust and highly reproducible lot-to-lot consistency. Only top-performing clones are released for use by researchers. Each antibody is validated for high specificity and affinity across multiple applications, including its most commonly used application. ZooMAb® antibodies are reliably available and ready to ship when you need them.

Immunogen

KLH-conjugated linear peptide corresponding to 21 amino acids from the internal region of human Checkpoint kinase-1 (Chk1).

Application

Quality Control Testing

Evaluated by Western Blotting in Panc-1 cell lysates.

Western Blotting Analysis: A 1:10,000 dilution of this antibody detected Chk1 in Panc-1 cell lysates.

Tested Applications

Western Blotting Analysis: A 1:10,000 dilution from a representative lot detected Chk1 in lysates from HepG2 and Mouse pancreatic β cells.

Immunocytochemistry Analysis: A 1:100 dilution from a representative lot detected Chk1 in A431 cells.

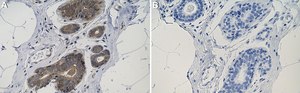
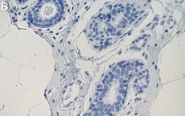
Immunohistochemistry (Paraffin) Analysis: A 1:1,000 dilution from a representative lot detected Chk1 in human breast cancer and human colon cancer.

Note: Actual optimal working dilutions must be determined by end user as specimens, and experimental conditions may vary with the end user.

Biochem/physiol Actions

Clone 2E14 is a ZooMAb® recombinant monoclonal antibody that specifically detects Checkpoint kinase-1 (Chk1). It targets an epitope within 21 amino acids from the internal region.

Physical form

Purified recombinant rabbit monoclonal antibody IgG, lyophilized in PBS, 5% Trehalose, normal appearance a coarse or translucent resin. The PBS/trehalose components in the ZooMAb formulation can have the appearance of a semi-solid (bead like gel) after lyophilization. This is a normal phenomenon. Please follow the recommended reconstitution procedure in the data sheet to dissolve the semi-solid, bead-like, gel-appearing material. The resulting antibody solution is completely stable and functional as proven by full functional testing. Contains no biocide or preservatives, such as azide, or any animal by-products. Larger pack sizes provided as multiples of 25 µL.

Preparation Note

Recommend storage of lyophilized product at 2-8°C; Before reconstitution, micro-centrifuge vials briefly to spin down material to bottom of the vial; Reconstitute each vial by adding 25 µL of filtered lab grade water or PBS; Reconstituted antibodies can be stored at 2-8°C, or -20°C for long term storage. Avoid repeated freeze-thaws.
Reconstitute lyophilized antibody pellet with 25μL of ultrapure water or Phosphate Buffered Saline (PBS). Please refer to our reconstitution protocol and the specific application guidance on the suggested starting dilutions and sample type.

Legal Information

ZooMAb is a registered trademark of Merck KGaA, Darmstadt, Germany

Disclaimer

Unless otherwise stated in our catalog or other company documentation accompanying the product(s), our products are intended for research use only and are not to be used for any other purpose, which includes but is not limited to, unauthorized commercial uses, in vitro diagnostic uses, ex vivo or in vivo therapeutic uses or any type of consumption or application to humans or animals.

Not finding the right product?  

Try our Product Selector Tool.

Storage Class

11 - Combustible Solids

wgk

WGK 1

flash_point_f

Not applicable

flash_point_c

Not applicable

Regulatory Information

常规特殊物品
This item has

Choose from one of the most recent versions:

Certificates of Analysis (COA)

Lot/Batch Number

Don't see the Right Version?

If you require a particular version, you can look up a specific certificate by the Lot or Batch number.

Already Own This Product?

Find documentation for the products that you have recently purchased in the Document Library.

Visit the Document Library

Articles

Learn about the hallmarks of cancer and find reliable ZooMAb® recombinant antibodies to study them, conveniently organized by cancer hallmark.

Our team of scientists has experience in all areas of research including Life Science, Material Science, Chemical Synthesis, Chromatography, Analytical and many others.

Contact Technical Service