Skip to Content
Merck
CN

ZRB2080

Anti-Spectrin α Antibody, clone 1D4 ZooMAb® Rabbit Monoclonal

greener alternative

recombinant, expressed in HEK 293 cells

Synonym(s):

Spectrin alpha chain, non-erythrocytic 1;Alpha-II spectrin;Fodrin alpha chain;Spectrin non-erythroid alpha subunit

Sign In to View Organizational & Contract Pricing.

Select a Size


About This Item

NACRES:
NA.41
UNSPSC Code:
12352203
Conjugate:
unconjugated
Clone:
1D4, recombinant monoclonal
Application:
ICC, IHC, WB, affinity binding assay
Citations:
-
Technical Service
Need help? Our team of experienced scientists is here for you.
Let Us Assist
Technical Service
Need help? Our team of experienced scientists is here for you.
Let Us Assist

biological source

rabbit

recombinant

expressed in HEK 293 cells

conjugate

unconjugated

antibody form

purified antibody

antibody product type

primary antibodies

clone

1D4, recombinant monoclonal

description

1D4 Clone

product line

ZooMAb® learn more

form

lyophilized

mol wt

calculated mol wt 284.54 kDa, observed mol wt ~260 and 160 kDa

purified by

using Protein A

species reactivity

mouse, rat, human

packaging

antibody small pack of 25 μL

greener alternative product characteristics

Waste Prevention
Designing Safer Chemicals
Design for Energy Efficiency
Learn more about the Principles of Green Chemistry.

enhanced validation

recombinant expression
Learn more about Antibody Enhanced Validation

sustainability

Greener Alternative Product

technique(s)

affinity binding assay: suitable, immunocytochemistry: suitable, immunohistochemistry: suitable, western blot: suitable

isotype

IgG

epitope sequence

Internal

Protein ID accession no.

UniProt accession no.

greener alternative category

shipped in

ambient

storage temp.

2-8°C

target post-translational modification

unmodified

Quality Level

Gene Information

human ... SPTAN1(6709)

General description

Spectrin alpha chain, non-erythrocytic 1 (UniProt: Q13813; also known as Alpha-II spectrin, Fodrin alpha chain, Spectrin non-erythroid alpha subunit) is encoded by the SPTAN1 (also known as NEAS, SPTA2) gene (Gene ID: 6709) in human. Spectrin α is a structural protein that is abundantly present in neurons of the central nervous system and is cleaved into signature fragments by proteases involved in necrotic and apoptotic cell death. It is one of the primary targets cleaved by activated caspases during apoptosis. The full-length protein can be cleaved to yield an N-terminal product of ~150 kDa, and C-terminal products of ~120 and ~35 kDa. Spectrin α is involved in secretion and it interacts with calmodulin in a calcium-dependent manner and is thus candidate for the calcium-dependent movement of the cytoskeleton at the membrane. It has two calcium-binding regions (aa 2336-2347 and 2379-2390). Its µ-calpain cleavage site is localized at Tyr-Gly (aa 1176-1177). Phosphorylation of Tyrosine 1176 is shown to reduce sensitivity to cleavage by calpain in vitro. Plasma levels of calpain-cleaved Spectrin α N-terminal fragment (SNTF) serves as a useful marker for mild to severe traumatic brain injury and SNTF immunostaining can also reveal previously undetected traumatic brain injury. Mutations in SPTAN1 gene are known to cause early infantile epileptic encephalopathy that is characterized by seizures associated with hypsarrhythmia, profound mental retardation with lack of visual attention and speech development. This ZooMAb® recombinant monoclonal antibody, generated by our propriety technology, offers significantly enhanced specificity, affinity, reproducibility, and stability over conventional monoclonals. (Ref.: Siman, R., et al. (2013). Front. Neurol. 4; Article 190; Johnson VE., et al (2016). Acta Neuropathol. 131(1); 115 135).
We are committed to bringing you greener alternative products, which adhere to one or more of The 12 Principles of Green Chemistry.This antibody is Preservative-free, produced without the harm or sacrifice of animals and exceptionally stable to allow for ambient shipping and storage if needed and thus aligns with "Waste Prevention", "Designing Safer Chemicals" and "Design for Energy Efficiency". Click here for more information.
ZooMAb® antibodies represent an entirely new generation of recombinant monoclonal antibodies. Each ZooMAb® antibody is manufactured using our proprietary recombinant expression system, purified to homogeneity, and precisely dispensed to produce robust and highly reproducible lot-to-lot consistency. Only top-performing clones are released for use by researchers. Each antibody is validated for high specificity and affinity across multiple applications, including its most commonly used application. ZooMAb® antibodies are reliably available and ready to ship when you need them.

Immunogen

KLH-conjugated linear peptide corresponding to 13 amino acids from the internal region of human Spectrin .

Application

Quality Control Testing

Evaluated by Western Blotting in Jurkat tissue lysate.

Western Blotting Analysis: A 1:1,000 dilution of this antibody detected Spectrin in Jurkat tissue lysate.

Tested Applications

Western Blotting Analysis: A 1:1,000 dilution from a representative lot detected Spectrin in lysates from A431 cells and Human, Mouse, and Rat brain tissue.

Immunocytochemistry Analysis: A 1:100 dilution from a representative lot detected Spectrin in A431, HeLa, HUVEC, and NIH3T3 cells.

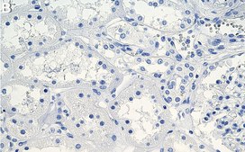
Immunohistochemistry (Paraffin) Analysis: A 1:100 dilution from a representative lot detected Spectrin in Human kidney tissue sections.

Affinity Binding Assay: A representative lot of this antibody bound SNTF-cleaved spectrin peptide with a KD of 3.6 x 10-6 in an affinity binding assay.

Note: Actual optimal working dilutions must be determined by end user as specimens, and experimental conditions may vary with the end user.

Biochem/physiol Actions

Clone 1D4 is a ZooMAb® Rabbit recombinant monoclonal antibody that specifically detects Spectrin . It targets an epitope within 13 amino acids from the internal region. Detects cleaved and uncleaved forms.

Physical form

Purified recombinant rabbit monoclonal antibody IgG, lyophilized in PBS, 5% Trehalose, normal appearance a coarse or translucent resin. The PBS/trehalose components in the ZooMAb formulation can have the appearance of a semi-solid (bead like gel) after lyophilization. This is a normal phenomenon. Please follow the recommended reconstitution procedure in the data sheet to dissolve the semi-solid, bead-like, gel-appearing material. The resulting antibody solution is completely stable and functional as proven by full functional testing. Contains no biocide or preservatives, such as azide, or any animal by-products. Larger pack sizes provided as multiples of 25 µL.

Preparation Note

Recommend storage of lyophilized product at 2-8°C; Before reconstitution, micro-centrifuge vials briefly to spin down material to bottom of the vial; Reconstitute each vial by adding 25 µL of filtered lab grade water or PBS; Reconstituted antibodies can be stored at 2-8°C, or -20°C for long term storage. Avoid repeated freeze-thaws.
Reconstitute lyophilized antibody pellet with 25μL of ultrapure water or Phosphate Buffered Saline (PBS). Please refer to our reconstitution protocol and the specific application guidance on the suggested starting dilutions and sample type.

Legal Information

ZooMAb is a registered trademark of Merck KGaA, Darmstadt, Germany

Disclaimer

Unless otherwise stated in our catalog or other company documentation accompanying the product(s), our products are intended for research use only and are not to be used for any other purpose, which includes but is not limited to, unauthorized commercial uses, in vitro diagnostic uses, ex vivo or in vivo therapeutic uses or any type of consumption or application to humans or animals.

Not finding the right product?  

Try our Product Selector Tool.

Storage Class

11 - Combustible Solids

wgk

WGK 1

flash_point_f

Not applicable

flash_point_c

Not applicable

Regulatory Information

常规特殊物品
常规特殊物品
This item has

Choose from one of the most recent versions:

Certificates of Analysis (COA)

Lot/Batch Number

Don't see the Right Version?

If you require a particular version, you can look up a specific certificate by the Lot or Batch number.

Already Own This Product?

Find documentation for the products that you have recently purchased in the Document Library.

Visit the Document Library

Our team of scientists has experience in all areas of research including Life Science, Material Science, Chemical Synthesis, Chromatography, Analytical and many others.

Contact Technical Service