Skip to Content
Merck
CN

ZRB1994

Anti-FOXP1 Antibody, clone 1J11-H1 ZooMAb® Rabbit Monoclonal

greener alternative

recombinant, expressed in HEK 293 cells

Synonym(s):

Forkhead box protein P1 (UniProt: Mac-1-regulated forkhead, MFH)

Sign In to View Organizational & Contract Pricing.

Select a Size


About This Item

NACRES:
NA.43
UNSPSC Code:
12352203
Conjugate:
unconjugated
Clone:
1J11-H1, recombinant monoclonal
Application:
ICC, IHC, WB, affinity binding assay
Citations:
-
Technical Service
Need help? Our team of experienced scientists is here for you.
Let Us Assist
Technical Service
Need help? Our team of experienced scientists is here for you.
Let Us Assist

biological source

rabbit

recombinant

expressed in HEK 293 cells

conjugate

unconjugated

antibody form

purified antibody

antibody product type

primary antibodies

clone

1J11-H1, recombinant monoclonal

description

1J11-H1 Clone

product line

ZooMAb® learn more

form

lyophilized

mol wt

calculated mol wt 75.32 kDa, observed mol wt ~80 kDa

purified by

using Protein A

species reactivity

monkey, human

species reactivity (predicted by homology)

rat, mouse, bovine, porcine

packaging

antibody small pack of 25 μL

greener alternative product characteristics

Waste Prevention
Designing Safer Chemicals
Design for Energy Efficiency
Learn more about the Principles of Green Chemistry.

enhanced validation

recombinant expression
Learn more about Antibody Enhanced Validation

sustainability

Greener Alternative Product

technique(s)

affinity binding assay: suitable, immunocytochemistry: suitable, immunohistochemistry: suitable, western blot: suitable

isotype

IgG

epitope sequence

C-terminal half

Protein ID accession no.

UniProt accession no.

greener alternative category

shipped in

ambient

storage temp.

2-8°C

target post-translational modification

unmodified

Quality Level

Gene Information

human ... FOXP1(27086)

General description

Forkhead box protein P1 (UniProt: Mac-1-regulated forkhead, MFH) is encoded by the FOXP1 (also known as HSPC215) gene (Gene ID: 27086) in human. FOXP1 is a transcriptional repressor that can act with C-terminal binding protein 1 (CTBP1) to synergistically repress transcription. It plays an important role in the specification and differentiation of lung epithelium. It can act as a homodimer or can form heterodimers with FOXP2 and FOXP4. Its dimerization is reported to be essential for DNA-binding and its leucine zipper domain (aa 348-369) is required for dimerization and transcriptional repression. It is shown to be an essential transcriptional regulator of B-cell development and is also involved in regulating cardiac muscle cell proliferation and columnar organization of spinal motor neurons. It promotes the formation of the lateral motor neuron column and the preganglionic motor column and is required for respective appropriate motor axon projections. FOXP1 represses transcription of various pro-apoptotic genes and cooperates with NF- B-signaling in promoting B-cell expansion by inhibition of caspase-dependent apoptosis. FOXP1 is expressed in areas of the brain associated with language such as the neocortex and striatum and mutations in FOXP1 gene have been linked to autism spectrum disorder (ASD). This ZooMAb® recombinant monoclonal antibody, generated by our propriety technology, offers significantly enhanced specificity, affinity, reproducibility, and stability over conventional monoclonals. (Ref.: Sollis, E., et al. (2016). Hum. Mol. Genet. 25(3); 546-557; Sin, C., et al. (2015). J. Mol. Neurosci. 55(2); 437-448).
We are committed to bringing you greener alternative products, which adhere to one or more of The 12 Principles of Green Chemistry.This antibody is Preservative-free, produced without the harm or sacrifice of animals and exceptionally stable to allow for ambient shipping and storage if needed and thus aligns with "Waste Prevention", "Designing Safer Chemicals" and "Design for Energy Efficiency". Click here for more information.
ZooMAb® antibodies represent an entirely new generation of recombinant monoclonal antibodies.Each ZooMAb® antibody is manufactured using our proprietary recombinant expression system, purified to homogeneity, and precisely dispensed to produce robust and highly reproducible lot-to-lot consistency. Only top-performing clones are released for use by researchers. Each antibody is validated for high specificity and affinity across multiple applications, including its most commonly used application. ZooMAb® antibodies are reliably available and ready to ship when you need them.

Immunogen

KLH-conjugated linear peptide corresponding to 16 amino acids from the C-terminal half of human Forkhead box protein P1 (FOXP1).

Application

Quality Control Testing

Evaluated by Western Blotting in Daudi cell lysate.

Western Blotting Analysis: A 1:10,000 dilution of this antibody detected FOXP1 in Daudi cell lysate.

Tested Applications

Western Blotting Analysis: A 1:10,000 dilution from a representative lot detected FOXP1 in COS-7 cell lysate.

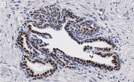
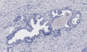
Immunohistochemistry (Paraffin) Analysis: A 1:100 dilution from a representative lot detected FOXP1 in human prostate tissue sections.

Immunocytochemistry Analysis: A 1:100 dilution from a representative lot detected FOXP1 in MCF-7 cells.

Affinity Binding Assay: A representative lot of this antibody bound FOXP1 with a KD of 3.1 x 10-8 in an affinity binding assay.

Note: Actual optimal working dilutions must be determined by end user as specimens, and experimental conditions may vary with the end user

Biochem/physiol Actions

Clone 1J11-H1 is a ZooMAb® Rabbit recombinant monoclonal antibody that specifically detects Forkhead box protein P1 (FOXP1). It targets an epitope within 16 amino acids from the C-terminal half.

Physical form

Purified recombinant rabbit monoclonal antibody IgG, lyophilized in PBS with 5% Trehalose, normal appearance a coarse or translucent resin. The PBS/trehalose components in the ZooMAb formulation can have the appearance of a semi-solid (bead like gel) after lyophilization. This is a normal phenomenon. Please follow the recommended reconstitution procedure in the data sheet to dissolve the semi-solid, bead-like, gel-appearing material. The resulting antibody solution is completely stable and functional as proven by full functional testing. Contains no biocide or preservatives, such as azide, or any animal by-products. Larger pack sizes provided as multiples of 25 μL.

Preparation Note

Recommend storage of lyophilized product at 2-8°C; Before reconstitution, micro-centrifuge vials briefly to spin down material to bottom of the vial; Reconstitute each vial by adding 25 μL of filtered lab grade water or PBS; Reconstituted antibodies can be stored at 2-8°C, or -20°C for long term storage. Avoid repeated freeze-thaws.
Reconstitute lyophilized antibody pellet with 25μL of ultrapure water or Phosphate Buffered Saline (PBS). Please refer to our reconstitution protocol and the specific application guidance on the suggested starting dilutions and sample type.

Legal Information

ZooMAb is a registered trademark of Merck KGaA, Darmstadt, Germany

Disclaimer

Unless otherwise stated in our catalog or other company documentation accompanying the product(s), our products are intended for research use only and are not to be used for any other purpose, which includes but is not limited to, unauthorized commercial uses, in vitro diagnostic uses, ex vivo or in vivo therapeutic uses or any type of consumption or application to humans or animals.

Not finding the right product?  

Try our Product Selector Tool.

Storage Class

11 - Combustible Solids

wgk

WGK 1

flash_point_f

Not applicable

flash_point_c

Not applicable

Regulatory Information

常规特殊物品
This item has

Choose from one of the most recent versions:

Certificates of Analysis (COA)

Lot/Batch Number

Don't see the Right Version?

If you require a particular version, you can look up a specific certificate by the Lot or Batch number.

Already Own This Product?

Find documentation for the products that you have recently purchased in the Document Library.

Visit the Document Library

Our team of scientists has experience in all areas of research including Life Science, Material Science, Chemical Synthesis, Chromatography, Analytical and many others.

Contact Technical Service