Skip to Content
Merck
CN

ZRB1923

Anti-GluR-2 Antibody, clone 1K20 ZooMAb® Rabbit Monoclonal

greener alternative

recombinant, expressed in HEK 293 cells

Sign In to View Organizational & Contract Pricing.

Select a Size


About This Item

NACRES:
NA.43
UNSPSC Code:
12352203
Conjugate:
unconjugated
Clone:
1K20, recombinant monoclonal
Application:
ICC, IHC (p), WB
Citations:
-
Technical Service
Need help? Our team of experienced scientists is here for you.
Let Us Assist
Technical Service
Need help? Our team of experienced scientists is here for you.
Let Us Assist

biological source

rabbit

recombinant

expressed in HEK 293 cells

conjugate

unconjugated

antibody form

purified antibody

antibody product type

primary antibodies

clone

1K20, recombinant monoclonal

description

1K20 Clone

product line

ZooMAb® learn more

form

lyophilized

mol wt

calculated mol wt 98.82 and 101.16 kDa, observed mol wt ~105 kDa

species reactivity

mouse, human, rat

species reactivity (predicted by homology)

bovine, Xenopus

packaging

antibody small pack of 25 μL

greener alternative product characteristics

Waste Prevention
Designing Safer Chemicals
Design for Energy Efficiency
Learn more about the Principles of Green Chemistry.

enhanced validation

recombinant expression
Learn more about Antibody Enhanced Validation

sustainability

Greener Alternative Product

technique(s)

immunocytochemistry: suitable, immunohistochemistry (formalin-fixed, paraffin-embedded sections): suitable, western blot: suitable

isotype

IgG

epitope sequence

C-terminal

Protein ID accession no.

UniProt accession no.

greener alternative category

shipped in

ambient

storage temp.

2-8°C

target post-translational modification

unmodified

Quality Level

General description

Glutamate receptor 2 (UniProt: P42262; also known GluR-2, AMPA-selective glutamate receptor 2, GluR-B, GluR-K2, Glutamate receptor ionotropic AMPA 2, GluA2) is encoded by the GRIA2 (also known as GLUR2) gene (Gene ID: 2891) in human. Glutamate receptors are synaptic receptors located primarily on the membranes of neuronal cells. These receptors play important roles in neural communication, memory formation, learning, and regulation by mediating glutamate-dependent postsynaptic excitation. Glutamate receptors are divided into two types, ionotropic glutamate receptors (iGluRs) and metabotropic glutamate receptors (mGluRs). iGluRs form ion channel pores upon glutamate binding, while mGluRs indirectly activate ion channels on the plasma membrane via G protein-coupled signaling cascade. Although all iGluRs and mGluRs bind glutamate, they do exhibit different binding activities toward chemical ligands, such as NMDA, kainate, AMPA, L-AP4, ACPD, L-QA, and such distinction is used to divide these receptors further into subtypes. GluR-2 is a multi-pass membrane AMPA type iGluR with two extracellular domains, four transmembrane domains, and three cytoplasmic domains. It is initially synthesized with a signal peptide sequence (aa. 1-24) that is subsequently cleaved off to generate the mature receptor. GluR2 can exist as homotetramer or a heterotetramer that is formed by dimerization of dimers. It is palmitoylated in its resting state and is depalmitoylated upon glutamate stimulation. Palmitoylation at cysteine 610 leads to its Golgi retention and decreased cell surface expression. This ZooMAb recombinant monoclonal antibody, generated by our propriety technology, offers significantly enhanced specificity, affinity, reproducibility, and stability over conventional monoclonals.
We are committed to bringing you greener alternative products, which adhere to one or more of The 12 Principles of Green Chemistry.This antibody is Preservative-free, produced without the harm or sacrifice of animals and exceptionally stable to allow for ambient shipping and storage if needed and thus aligns with "Waste Prevention", "Designing Safer Chemicals" and "Design for Energy Efficiency". Click here for more information.
ZooMAb® antibodies represent an entirely new generation of recombinant monoclonal antibodies.

Each ZooMAb® antibody is manufactured using our proprietary recombinant expression system, purified to homogeneity, and precisely dispensed to produce robust and highly reproducible lot-to-lot consistency. Only top-performing clones are released for use by researchers. Each antibody is validated for high specificity and affinity across multiple applications, including its most commonly used application. ZooMAb® antibodies are reliably available and ready to ship when you need them.

Learn more about ZooMAb here.

Immunogen

KLH-conjugated linear peptide corresponding to 13 amino acids from the C-terminal, cytoplasmic domain of human Glutamate receptor 2.

Application

Quality Control Testing

Evaluated by Western Blotting in Rat brain tissue lysate.

Western Blotting Analysis: A 1:1,000 dilution of this antibody detected GluR-2 in Rat brain tissue lysate.

Tested applications

Western Blotting Analysis: A 1:1,000 dilution from a representative lot detected GluR-2 in human and mouse brain tissue lysate.

Immunocytochemistry Analysis: A 1:100 dilution from a representative lot detected GluR-2 in E18 rat cortical cells.

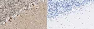
Immunohistochemistry (Paraffin) Analysis: A 1:100 dilution from a representative lot detected GluR-2 in human cerebellum tissue sections.

Note: Actual optimal working dilutions must be determined by end user as specimens, and experimental conditions may vary with the end user
Anti-GluR-2, clone 1K20 ZooMAb®, Cat. No. ZRB1923, is a recombinant Rabbit monoclonal antibody that targets Glutamate receptors 2 and 3 and is tested for use in Immunocytochemistry, Immunohistochemistry (Paraffin), and Western Blotting.

Biochem/physiol Actions

Clone 1K20 is a ZooMAb® rabbit recombinant monoclonal antibody that detects Glutamate receptors 2 and 3. It targets an epitope within 13 amino acids from the C-terminal, cytoplasmic domain.

Physical form

Purified recombinant rabbit monoclonal antibody IgG, lyophilized in PBS with 5% Trehalose, normal appearance a coarse or translucent resin. The PBS/trehalose components in the ZooMAb formulation can have the appearance of a semi-solid (bead like gel) after lyophilization. This is a normal phenomenon. Please follow the recommended reconstitution procedure in the data sheet to dissolve the semi-solid, bead-like, gel-appearing material. The resulting antibody solution is completely stable and functional as proven by full functional testing. Contains no biocide or preservatives, such as azide, or any animal by-products. Larger pack sizes provided as multiples of 25 μL.

Preparation Note

Recommend storage of lyophilized product at 2-8°C; Before reconstitution, micro-centrifuge vials briefly to spin down material to bottom of the vial; Reconstitute each vial by adding 25 μL of filtered lab grade water or PBS; Reconstituted antibodies can be stored at 2-8°C, or -20°C for long term storage. Avoid repeated freeze-thaws.
Reconstitute lyophilized antibody pellet with 25μL of ultrapure water or Phosphate Buffered Saline (PBS). Please refer to our reconstitution protocol and the specific application guidance on the suggested starting dilutions and sample type.

Legal Information

ZooMAb is a registered trademark of Merck KGaA, Darmstadt, Germany

Disclaimer

Unless otherwise stated in our catalog or other company documentation accompanying the product(s), our products are intended for research use only and are not to be used for any other purpose, which includes but is not limited to, unauthorized commercial uses, in vitro diagnostic uses, ex vivo or in vivo therapeutic uses or any type of consumption or application to humans or animals.

Not finding the right product?  

Try our Product Selector Tool.

Storage Class

11 - Combustible Solids

wgk

WGK 1

Regulatory Information

常规特殊物品
This item has

Choose from one of the most recent versions:

Certificates of Analysis (COA)

Lot/Batch Number

Don't see the Right Version?

If you require a particular version, you can look up a specific certificate by the Lot or Batch number.

Already Own This Product?

Find documentation for the products that you have recently purchased in the Document Library.

Visit the Document Library

Our team of scientists has experience in all areas of research including Life Science, Material Science, Chemical Synthesis, Chromatography, Analytical and many others.

Contact Technical Service