Skip to Content
Merck
CN

ZRB1851

Anti-LSD1 Antibody, clone 1O8 ZooMAb® Rabbit Monoclonal

greener alternative

recombinant, expressed in HEK 293 cells

Sign In to View Organizational & Contract Pricing.

Select a Size


About This Item

NACRES:
NA.43
UNSPSC Code:
12352203
Conjugate:
unconjugated
Clone:
1O8, recombinant monoclonal
Application:
ICC, IHC (p), WB, affinity binding assay
Citations:
-
Technical Service
Need help? Our team of experienced scientists is here for you.
Let Us Assist
Technical Service
Need help? Our team of experienced scientists is here for you.
Let Us Assist

biological source

rabbit

recombinant

expressed in HEK 293 cells

conjugate

unconjugated

antibody form

purified antibody

antibody product type

primary antibodies

clone

1O8, recombinant monoclonal

description

1O8 Clone

product line

ZooMAb® learn more

form

lyophilized

mol wt

calculated mol wt 92.90 kDa, observed mol wt ~100 kDa

purified by

using Protein A

species reactivity

human

species reactivity (predicted by homology)

feline, bovine, mouse, canine, rat, monkey, porcine

packaging

antibody small pack of 25 μL

greener alternative product characteristics

Waste Prevention
Designing Safer Chemicals
Design for Energy Efficiency
Learn more about the Principles of Green Chemistry.

enhanced validation

recombinant expression
Learn more about Antibody Enhanced Validation

sustainability

Greener Alternative Product

technique(s)

affinity binding assay: suitable, immunocytochemistry: suitable, immunohistochemistry (formalin-fixed, paraffin-embedded sections): suitable, western blot: suitable

isotype

IgG

epitope sequence

N-terminal

Protein ID accession no.

UniProt accession no.

greener alternative category

shipped in

ambient

storage temp.

2-8°C

target post-translational modification

unmodified

Quality Level

Gene Information

human ... KD1MA(23028)

General description

Lysine-specific histone demethylase 1A (UniProt: O60341; also known as BRAF35-HDAC complex protein BHC110, Flavin-containing amine oxidase domain-containing protein 2, LSD1) is encoded by the KD1MA (also known as AOF2, KDM1, KIAA0601, LSD1) gene (Gene ID: 23028) in human. LSD1 is a ubiquitously expressed histone demethylase that can demethylate both lysine 4 (H3K4me) and lysine 9 (H3K9me) of histone H3, thereby acting as a coactivator or a corepressor. It is a component of a RCOR/GFI/KDM1A/HDAC complex that suppresses several genes implicated in multilineage blood cell development. It acts by oxidizing the substrate by FAD to generate the corresponding imine that is subsequently hydrolyzed. It can also act as a corepressor by mediating demethylation of mono- and di-methylated H3K4me, a specific tag for epigenetic transcriptional activation. It has been reported that alone it is not able to demethylate H3K4me on nucleosomes and requires the presence of RCOR1/CoREST to achieve such activity. LSD1 is also shown to act as a coactivator of androgen receptor (ANDR)-dependent transcription, by being recruited to ANDR target genes and mediating demethylation of H3K9me, a specific tag for epigenetic transcriptional repression. LSD1 is also involved in demethylation of lysine 370 on p53/TP53 that blocks interaction of p53/TP53 with TP53BP1 and represses p53/TP53-mediated transcriptional activation. Two isoforms of LSD1 have been described that are produced by alternative splicing. This ZooMAbZooMAb® recombinant monoclonal antibody, generated by our propriety technology, offers significantly enhanced specificity, affinity, reproducibility, and stability over conventional monoclonals. (Ref.: Forneris, F., et al. (2005). FEBS Lett. 579(10); 2203-2207; Metzger, T., et al. (2005). Nature. 437(7057); 436-439; Shi, Y-J., et al. (2005). Mol. Cell. 19(6); 857-864).
We are committed to bringing you greener alternative products, which adhere to one or more of The 12 Principles of Green Chemistry.This antibody is Preservative-free, produced without the harm or sacrifice of animals and exceptionally stable to allow for ambient shipping and storage if needed and thus aligns with "Waste Prevention", "Designing Safer Chemicals" and "Design for Energy Efficiency". Click here for more information.
ZooMAb® antibodies represent an entirely new generation of recombinant monoclonal antibodies.Each ZooMAb® antibody is manufactured using our proprietary recombinant expression system, purified to homogeneity, and precisely dispensed to produce robust and highly reproducible lot-to-lot consistency. Only top-performing clones are released for use by researchers. Each antibody is validated for high specificity and affinity across multiple applications, including its most commonly used application. ZooMAb® antibodies are reliably available and ready to ship when you need them.

Immunogen

KLH-conjugated linear peptide corresponding to 25 amino acids from the N-terminal region of Human Lysine-specific histone demethylase 1A (LSD1).

Application

Quality Control Testing

Evaluated by Western Blotting in HeLa cell lysate.

Western Blotting Analysis: A 1:1,000 dilution of this antibody detected LSD1 in HeLa cell lysate.

Tested applications

Western Blotting Analysis: A 1:1,000 dilution from a representative lot detected LSD1 in lysates from Daudi cells and Human skeletal muscle tissue.

Immunocytochemistry Analysis: A 1:1,000 dilution from a representative lot detected LSD1 in HeLa cells.

Affinity Binding Assay: A representative lot of this antibody bound LSD1 peptide with a KD of 2.5 x 10-6 in an affinity binding assay.

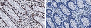
Immunohistochemistry (Paraffin) Analysis: A 1:100 dilution from a representative lot detected LSD1 in human colon tissue sections.

Note: Actual optimal working dilutions must be determined by end user as specimens, and experimental conditions may vary with the end user

Biochem/physiol Actions

Clone 1O8 is a ZooMAb® Rabbit recombinant monoclonal antibody that specifically detects Lysine-specific histone demethylase 1A (LSD1). It targets an epitope within 25 amino acids from the N-terminal region.

Physical form

Purified recombinant rabbit monoclonal antibody IgG, lyophilized in PBS, 5% Trehalose, normal appearance a coarse or translucent resin. The PBS/trehalose components in the ZooMAb formulation can have the appearance of a semi-solid (bead like gel) after lyophilization. This is a normal phenomenon. Please follow the recommended reconstitution procedure in the data sheet to dissolve the semi-solid, bead-like, gel-appearing material. The resulting antibody solution is completely stable and functional as proven by full functional testing. Contains no biocide or preservatives, such as azide, or any animal by-products. Larger pack sizes provided as multiples of 25 μL.

Preparation Note

Recommend storage of lyophilized product at 2-8°C; Before reconstitution, micro-centrifuge vials briefly to spin down material to bottom of the vial; Reconstitute each vial by adding 25 μL of filtered lab grade water or PBS; Reconstituted antibodies can be stored at 2-8°C, or -20°C for long term storage. Avoid repeated freeze-thaws.
Reconstitute lyophilized antibody pellet with 25μL of ultrapure water or Phosphate Buffered Saline (PBS). Please refer to our reconstitution protocol and the specific application guidance on the suggested starting dilutions and sample type.

Legal Information

ZooMAb is a registered trademark of Merck KGaA, Darmstadt, Germany

Disclaimer

Unless otherwise stated in our catalog or other company documentation accompanying the product(s), our products are intended for research use only and are not to be used for any other purpose, which includes but is not limited to, unauthorized commercial uses, in vitro diagnostic uses, ex vivo or in vivo therapeutic uses or any type of consumption or application to humans or animals.

Not finding the right product?  

Try our Product Selector Tool.

Storage Class

13 - Non Combustible Solids

wgk

WGK 1

flash_point_f

Not applicable

flash_point_c

Not applicable

Regulatory Information

常规特殊物品
This item has

Choose from one of the most recent versions:

Certificates of Analysis (COA)

Lot/Batch Number

It looks like we've run into a problem, but you can still download Certificates of Analysis from our Documents section.

If you need assistance, please contact Customer Support

Already Own This Product?

Find documentation for the products that you have recently purchased in the Document Library.

Visit the Document Library

Our team of scientists has experience in all areas of research including Life Science, Material Science, Chemical Synthesis, Chromatography, Analytical and many others.

Contact Technical Service