Skip to Content
Merck
CN

ZRB1781

Anti-PRAS40 Antibody, clone 3C16 ZooMAb® Rabbit Monoclonal

greener alternative

recombinant, expressed in HEK 293 cells

Synonym(s):

Proline-rich AKT1 substrate 1;40 kDa proline-rich AKT substrate

Sign In to View Organizational & Contract Pricing.

Select a Size


About This Item

NACRES:
NA.41
UNSPSC Code:
12352203
Conjugate:
unconjugated
Clone:
3C16, recombinant monoclonal
Application:
IHC, WB, affinity binding assay
Citations:
-
Technical Service
Need help? Our team of experienced scientists is here for you.
Let Us Assist
Technical Service
Need help? Our team of experienced scientists is here for you.
Let Us Assist

Quality Level

target post-translational modification

unmodified

biological source

rabbit

recombinant

expressed in HEK 293 cells

conjugate

unconjugated

antibody form

purified antibody

antibody product type

primary antibodies

clone

3C16, recombinant monoclonal

description

Clone 3C16

product line

ZooMAb® learn more

form

lyophilized

mol wt

calculated mol wt 27.38 kDa, observed mol wt ~38 kDa

purified by

using Protein A

species reactivity

human, rat, mouse, monkey

packaging

antibody small pack of 25 μL

greener alternative product characteristics

Waste Prevention
Designing Safer Chemicals
Design for Energy Efficiency
Learn more about the Principles of Green Chemistry.

enhanced validation

recombinant expression
Learn more about Antibody Enhanced Validation

sustainability

Greener Alternative Product

technique(s)

affinity binding assay: suitable, immunohistochemistry: suitable, western blot: suitable

isotype

IgG

epitope sequence

Unknown

Protein ID accession no.

UniProt accession no.

greener alternative category

shipped in

ambient

storage temp.

2-8°C

Gene Information

human ... PRAS40(84335)

General description

Proline-rich AKT1 substrate 1 (UniProt: Q96B36; also known as 40 kDa proline-rich AKT substrate) is encoded by the PRAS40 (also known as AKT1S1) gene (Gene ID: 84335) in human. PRAS40 serves as a substrate for AKT and is also a subunit of mTOTC1, which also contains mTOR, MLST8, Raptor, and Deptor and regulates cell growth and survival in response to growth factors or amino acids. PRAS40 is located at the crossroad of the PI3K/Akt pathway and the mTOR pathway and it is phosphorylated following stimulation by growth factors or other stimuli. It contains multiple phosphorylation sites in the C-terminal region, including serine 183, 184, 203, 212, 213, 221, and threonine 246 and 247. These sites are phosphorylated following growth factor treatment. It is widely expressed with highest levels of expression in liver and heart. Higher expression is also observed in certain cancer cell lines. Its hyperphosphorylation is often associated with the tumor progression. It promotes tumorigenesis by deregulating cellular proliferation, apoptosis, senescence, and metastasis. PRAS40 is mainly cytoplasmic, but a portion may also be localized in the nucleus where it contributes to the radiation resistance or senescence repression by forming complexes with FOXO3a-14-3-3 or RPL11-HDM2-p53. Three isoforms of PRAS40 have been described that are produced by alternative splicing. This ZooMAb® recombinant monoclonal antibody, generated by our propriety technology, offers significantly enhanced specificity, affinity, reproducibility, and stability over conventional monoclonals. (Ref.: Lv, D., et al. (2017). Oncotarget. 8(40); 69076-69085; Wiza, C., et al. (2012). Am. J. Physiol. 302(12); E1453-E1460).
ZooMAb® antibodies represent an entirely new generation of recombinant monoclonal antibodies. Each ZooMAb® antibody is manufactured using our proprietary recombinant expression system, purified to homogeneity, and precisely dispensed to produce robust and highly reproducible lot-to-lot consistency. Only top-performing clones are released for use by researchers. Each antibody is validated for high specificity and affinity across multiple applications, including its most commonly used application. ZooMAb® antibodies are reliably available and ready to ship when you need them.

Immunogen

His-tagged full-length recombinant human PRAS40 protein.

Application

Quality Control Testing

Evaluated by Western Blotting in COS-7 cell lysate.

Western Blotting Analysis: A 1:1,000 dilution of this antibody detected PRAS40 in COS-7 cell lysate.

Tested Applications

Western Blotting Analysis: A 1:1,000 dilution from a representative lot detected PRAS40 in HeLa, A549, RAW264.7, and C6 cell lysates.

Affinity Binding Assay: A representative lot of this antibody bound recombinant human PRAS40 with a KD of 7.7 x 10-8 in an affinity binding assay.

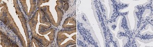
Immunohistochemistry (Paraffin) Analysis: A 1:1,000 dilution from a representative lot detected PRAS40 in human prostate tissue sections.

Note: Actual optimal working dilutions must be determined by end user as specimens, and experimental conditions may vary with the end user.

Biochem/physiol Actions

Clone 3C16 is a ZooMAb® rabbit recombinant monoclonal antibody that specifically detects 40 kDa proline-rich AKT substrate (PRAS40).

Physical form

Purified recombinant rabbit monoclonal antibody IgG, lyophilized in PBS, 5% Trehalose, normal appearance a coarse or translucent resin. The PBS/trehalose components in the ZooMAb formulation can have the appearance of a semi-solid (bead like gel) after lyophilization. This is a normal phenomenon. Please follow the recommended reconstitution procedure in the data sheet to dissolve the semi-solid, bead-like, gel-appearing material. The resulting antibody solution is completely stable and functional as proven by full functional testing. Contains no biocide or preservatives, such as azide, or any animal by-products. Larger pack sizes provided as multiples of 25 μL.

Preparation Note

Recommend storage of lyophilized product at 2-8°C; Before reconstitution, micro-centrifuge vials briefly to spin down material to bottom of the vial; Reconstitute each vial by adding 25 μL of filtered lab grade water or PBS; Reconstituted antibodies can be stored at 2-8°C, or -20°C for long term storage. Avoid repeated freeze-thaws.
Reconstitute lyophilized antibody pellet with 25μL of ultrapure water or Phosphate Buffered Saline (PBS). Please refer to our reconstitution protocol and the specific application guidance on the suggested starting dilutions and sample type.

Legal Information

ZooMAb is a registered trademark of Merck KGaA, Darmstadt, Germany

Disclaimer

Unless otherwise stated in our catalog or other company documentation accompanying the product(s), our products are intended for research use only and are not to be used for any other purpose, which includes but is not limited to, unauthorized commercial uses, in vitro diagnostic uses, ex vivo or in vivo therapeutic uses or any type of consumption or application to humans or animals.

Not finding the right product?  

Try our Product Selector Tool.

Storage Class

11 - Combustible Solids

wgk

WGK 1

flash_point_f

Not applicable

flash_point_c

Not applicable

Regulatory Information

常规特殊物品
This item has

Choose from one of the most recent versions:

Certificates of Analysis (COA)

Lot/Batch Number

Don't see the Right Version?

If you require a particular version, you can look up a specific certificate by the Lot or Batch number.

Already Own This Product?

Find documentation for the products that you have recently purchased in the Document Library.

Visit the Document Library

Our team of scientists has experience in all areas of research including Life Science, Material Science, Chemical Synthesis, Chromatography, Analytical and many others.

Contact Technical Service