Skip to Content
Merck
CN

ZRB1706

Anti-TAK1 Antibody, clone 1N14 ZooMAb® Rabbit Monoclonal

greener alternative

recombinant, expressed in HEK 293 cells

Sign In to View Organizational & Contract Pricing.

Select a Size


About This Item

NACRES:
NA.43
UNSPSC Code:
12352203
Conjugate:
unconjugated
Clone:
1N14, recombinant monoclonal
Application:
ELISA, FACS, ICC, IHC (p), WB, affinity binding assay
Citations:
-
Technical Service
Need help? Our team of experienced scientists is here for you.
Let Us Assist
Technical Service
Need help? Our team of experienced scientists is here for you.
Let Us Assist

mol wt

observed mol wt ~40 kDa, calculated mol wt 67.2 kDa

biological source

rabbit

recombinant

expressed in HEK 293 cells

conjugate

unconjugated

antibody form

purified antibody

antibody product type

primary antibodies

clone

1N14, recombinant monoclonal

description

recombinant, expressed in HEK 293 cells

product line

ZooMAb® learn more

form

lyophilized

purified by

using Protein A

species reactivity

human, mouse

species reactivity (predicted by homology)

feline, canine, rat, bovine, monkey, porcine

packaging

antibody small pack of 25 μL

greener alternative product characteristics

Waste Prevention
Designing Safer Chemicals
Design for Energy Efficiency
Learn more about the Principles of Green Chemistry.

enhanced validation

recombinant expression
Learn more about Antibody Enhanced Validation

sustainability

Greener Alternative Product

technique(s)

ELISA: suitable, affinity binding assay: suitable, flow cytometry: suitable, immunocytochemistry: suitable, immunohistochemistry (formalin-fixed, paraffin-embedded sections): suitable, western blot: suitable

isotype

IgG

epitope sequence

C-terminal

Protein ID accession no.

UniProt accession no.

greener alternative category

shipped in

ambient

storage temp.

2-8°C

target post-translational modification

unmodified

Quality Level

Gene Information

human ... TAK1(6885)

General description

Mitogen-activated protein kinase kinase kinase 7 (UniProt: O43318; also known as EC:2.7.11.25, Transforming growth factor-beta-activated kinase 1, TGF-beta-activated kinase 1) is encoded by the MAP3K7 (also known as TAK1) gene (Gene ID: 6885) in human. TAK1 is a serine/threonine kinase that plays a key role in the cascade of cellular responses evoked by changes in the environment. Its protein kinase domain is localized in amino acids 36-291. Although a majority of TAK1 resides in cytoplasm, when complexed with TAK1-binding proteins 1 and 2 (TAB1 and TAB2), it also localizes to the membrane. It is shown to be activated by proinflammatory cytokines and in response to physical and chemical stresses. Once activated, it acts as an upstream activator of JNK and p38 MAP kinase signal transduction cascade through the phosphorylation and activation of several MAP kinases, including MEK1, MKK3, MKK, and MKK7 and subsequently control the activity of transcription factors, such as AP1 and NF-B. TAK1 is activated by lysine 63-linked polyubiquitination and by autophosphorylation. Its association with TAB1 and TAB2 promotes activation through autophosphorylation. Association with TAB1 is reported to promote its autophosphorylation at Ser-192 and subsequent activation. It is inactivated by dephosphorylation by protein phosphatase 2A catalytic subunit  (PPP2CB) and PP2A. Four isoforms of TAK1 have been described that are produced by alternative splicing. Isoform 1A is the most abundant in ovary, skeletal muscle, spleen and blood mononuclear cells. Isoform 1B is highly expressed in brain, kidney and small intestine. Isoform 1C is the major form in prostate and isoform 1D is the less abundant form. This ZooMAbZooMAb® recombinant monoclonal antibody, generated by our propriety technology, offers significantly enhanced specificity, affinity, reproducibility, and stability over conventional monoclonals.(Ref.: Xu, Y-R., and Lei, C-Q. (2021). Front. Immunol. 11; 608976; Fan, Y., et al. (2012). Cell Signal. 24(7); 1381-1389; Broglie, P., et al. (2010). J. Biol. Chem. 285(4); 2333-2339).
We are committed to bringing you greener alternative products, which adhere to one or more of The 12 Principles of Green Chemistry.This antibody is Preservative-free, produced without the harm or sacrifice of animals and exceptionally stable to allow for ambient shipping and storage if needed and thus aligns with "Waste Prevention", "Designing Safer Chemicals" and "Design for Energy Efficiency". Click here for more information.
ZooMAb® antibodies represent an entirely new generation of recombinant monoclonal antibodies.Each ZooMAb® antibody is manufactured using our proprietary recombinant expression system, purified to homogeneity, and precisely dispensed to produce robust and highly reproducible lot-to-lot consistency. Only top-performing clones are released for use by researchers. Each antibody is validated for high specificity and affinity across multiple applications, including its most commonly used application. ZooMAb® antibodies are reliably available and ready to ship when you need them.

Immunogen

KLH-conjugated linear peptide corresponding to 20 amino acids from the C-terminal region of human TAK1.

Application

Quality Control Testing

Evaluated by Western Blotting with recombinant fragment of Human TAK1.

Western Blotting Analysis (WB): A 1:10,000 dilution of this antibody detected GST-tagged recombinant fragment of Human TAK1.

Tested applications

Flow Cytometry Analysis: 0.1 μg from a representative lot detected TAK1 in one million HeLa cells.

Affinity Binding Assay: A representative lot of this antibody bound TAK1 peptide with a KD of 3.8 x 10-7 in an affinity binding assay.

Enzyme Immunoassay (ELISA) Analysis: A representative lot of this antibody detected Human recombinant TAK1 protein.

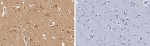
Immunohistochemistry (Paraffin) Analysis: A 1:100 dilution from a representative lot detected TAK1 in human cerebral cortex tissue sections.

Immunocytochemistry Analysis: A 1:100 dilution from a representative lot detected TAK1 in HEK293 and NIH 3T3 cells.

Note: Actual optimal working dilutions must be determined by end user as specimens, and experimental conditions may vary with the end user

Biochem/physiol Actions

Clone 1N14 is a ZooMAb® Rabbit recombinant monoclonal antibody that specifically detects TAK1. It targets an epitope within 20 amino acids from the C-terminal region.

Physical form

Purified recombinant rabbit monoclonal antibody IgG, lyophilized in PBS, 5% Trehalose, normal appearance a coarse or translucent resin. The PBS/trehalose components in the ZooMAb formulation can have the appearance of a semi-solid (bead like gel) after lyophilization. This is a normal phenomenon. Please follow the recommended reconstitution procedure in the data sheet to dissolve the semi-solid, bead-like, gel-appearing material. The resulting antibody solution is completely stable and functional as proven by full functional testing. Contains no biocide or preservatives, such as azide, or any animal by-products. Larger pack sizes provided as multiples of 25 μL.

Preparation Note

Recommend storage of lyophilized product at 2-8°C; Before reconstitution, micro-centrifuge vials briefly to spin down material to bottom of the vial; Reconstitute each vial by adding 25 μL of filtered lab grade water or PBS; Reconstituted antibodies can be stored at 2-8°C, or -20°C for long term storage. Avoid repeated freeze-thaws.
Reconstitute lyophilized antibody pellet with 25μL of ultrapure water or Phosphate Buffered Saline (PBS). Please refer to our reconstitution protocol and the specific application guidance on the suggested starting dilutions and sample type.

Legal Information

ZooMAb is a registered trademark of Merck KGaA, Darmstadt, Germany

Disclaimer

Unless otherwise stated in our catalog or other company documentation accompanying the product(s), our products are intended for research use only and are not to be used for any other purpose, which includes but is not limited to, unauthorized commercial uses, in vitro diagnostic uses, ex vivo or in vivo therapeutic uses or any type of consumption or application to humans or animals.

Not finding the right product?  

Try our Product Selector Tool.

Storage Class

13 - Non Combustible Solids

wgk

WGK 1

flash_point_f

Not applicable

flash_point_c

Not applicable

Regulatory Information

常规特殊物品
This item has

Choose from one of the most recent versions:

Certificates of Analysis (COA)

Lot/Batch Number

Don't see the Right Version?

If you require a particular version, you can look up a specific certificate by the Lot or Batch number.

Already Own This Product?

Find documentation for the products that you have recently purchased in the Document Library.

Visit the Document Library

Our team of scientists has experience in all areas of research including Life Science, Material Science, Chemical Synthesis, Chromatography, Analytical and many others.

Contact Technical Service