Skip to Content
Merck
CN

ZRB1631

Anti-ACE2-extracellular Antibody, clone 1F21 ZooMAb® Rabbit Monoclonal

greener alternative

recombinant, expressed in HEK 293 cells

Synonym(s):

Angiotensin-converting enzyme 2;EC:3.4.17.23;Angiotensin-converting enzyme homolog;ACEH;Angiotensin-converting enzyme-related carboxypeptidase;ACE-related carboxypeptidase;Metalloprotease MPROT15

Sign In to View Organizational & Contract Pricing.

Select a Size


About This Item

NACRES:
NA.41
UNSPSC Code:
12352203
Species reactivity:
human, mouse
Conjugate:
unconjugated
Application:
ICC, IHC (p), WB, affinity binding assay
Citations:
-
Technical Service
Need help? Our team of experienced scientists is here for you.
Let Us Assist
Technical Service
Need help? Our team of experienced scientists is here for you.
Let Us Assist

species reactivity

human, mouse

biological source

rabbit

recombinant

expressed in HEK 293 cells

conjugate

unconjugated

antibody form

purified antibody

antibody product type

primary antibodies

clone

1F21, recombinant monoclonal

description

recombinant, expressed in HEK 293 cells

product line

ZooMAb® learn more

form

lyophilized

mol wt

calculated mol wt 92.46 kDa, observed mol wt ~110 kDa

purified by

using Protein A

species reactivity (predicted by homology)

monkey

packaging

antibody small pack of 25 μL

greener alternative product characteristics

Waste Prevention
Designing Safer Chemicals
Design for Energy Efficiency
Learn more about the Principles of Green Chemistry.

enhanced validation

recombinant expression
Learn more about Antibody Enhanced Validation

sustainability

Greener Alternative Product

technique(s)

affinity binding assay: suitable, immunocytochemistry: suitable, immunohistochemistry (formalin-fixed, paraffin-embedded sections): suitable, western blot: suitable

isotype

IgG

epitope sequence

N-terminal half

Protein ID accession no.

UniProt accession no.

greener alternative category

shipped in

ambient

storage temp.

2-8°C

target post-translational modification

unmodified

Quality Level

General description

Angiotensin-converting enzyme 2 (UniProt: Q9BYF1; also known as EC:3.4.17.23, Angiotensin-converting enzyme homolog, ACEH, Angiotensin-converting enzyme-related carboxypeptidase, ACE-related carboxypeptidase, Metalloprotease MPROT15) is encoded by the ACE2 (also known as UNQ868/PRO1885) gene (Gene ID: 59272) in human. Angiotensin-converting enzyme (ACE) and its homolog ACE2 belong to the ACE family of dipeptidyl carboxydipeptidases and are known to serve two opposing functions. ACE cleaves angiotensin I to generate angiotensin II that binds to angiotensin receptor leading to constriction of blood vessels and hypertension. ACE2 is a single-pass type I membrane glycoprotein that is synthesized with a signal peptide (aa 1-17), which is subsequently cleaved off to generate the mature form that contains an extracellular domain (aa 18-740), a transmembrane domain (aa 741-761), and a cytoplasmic domain (aa 762-805). By contract, ACE2 is reported to inactivate angiotensin II while generating angiotensin 1 7, a heptapeptide with vasodilator function via activation of its Mas receptor. ACE2 expression in airway epithelial cells is induced by viruses such rhinoviruses, influenza virus, and SARS-CoV-2. SARS-CoV and SARS-CoV-2 utilize ACE2 as receptor for entry into cells and the receptor binding domain of SARS-Cov-2 displays strong interaction with human ACE2 molecules. The receptor binding domain (RBD) of spike protein serves as the binding interface with the ACE2 receptor. High ACE2 expression is reported in type II alveolar cells of lung, esophagus, absorptive enterocytes of ileum and colon, and kidney proximal tubule cells. These organs are considered as higher potential risk for SARS-CoV-2 infection. In animal models it is shown that treatment with Angiotensin converting enzyme inhibitors (ACEI) and Angiotensin receptor blockers (ARBs) can increase the expression of ACE2 in various organs and may increase their risk and severity of SARS-CoV-2 infection. This ZooMAb® recombinant monoclonal antibody, generated by our propriety technology, offers significantly enhanced specificity, affinity, reproducibility, and stability over conventional monoclonals. (Ref.: Yang, J., et al. (2020). Nat. Commun. 11(1); Article 4541; Hoffmann, M., et al. (2020). Cell 181(2); 271-280).
We are committed to bringing you greener alternative products, which adhere to one or more of The 12 Principles of Green Chemistry.This antibody is Preservative-free, produced without the harm or sacrifice of animals and exceptionally stable to allow for ambient shipping and storage if needed and thus aligns with "Waste Prevention", "Designing Safer Chemicals" and "Design for Energy Efficiency". Click here for more information.
ZooMAb® antibodies represent an entirely new generation of recombinant monoclonal antibodies.Each ZooMAb® antibody is manufactured using our proprietary recombinant expression system, purified to homogeneity, and precisely dispensed to produce robust and highly reproducible lot-to-lot consistency. Only top-performing clones are released for use by researchers. Each antibody is validated for high specificity and affinity across multiple applications, including its most commonly used application. ZooMAb® antibodies are reliably available and ready to ship when you need them.

Immunogen

KLH-conjugated linear peptide corresponding to 21 amino acids from the N-terminal half, extracellular domain of human Angiotensin-converting enzyme 2 (ACE2).

Application

Quality Control Testing

Evaluated by Western Blotting in NIH3T3 cell lysate.

Western Blotting Analysis: A 1:1,000 dilution of this antibody detected ACE2 in NIH3T3 cell lysate.

Tested applications

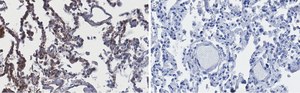
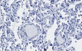
Immunohistochemistry (Paraffin) Analysis: A 1:1,000 dilution from a representative lot detected ACE2-extracellular in human kidney and human lung tissue sections.

Affinity Binding Assay: A representative lot of this antibody bound ACE2-extracellular domain with a KD of 1.0 x 10-12 in an affinity binding assay.

Immunocytochemistry Analysis: A 1:100 dilution from a representative lot detected ACE2-extracellular in HepG2 cells.

Note: Actual optimal working dilutions must be determined by end user as specimens, and experimental conditions may vary with the end user

Biochem/physiol Actions

Clone 1F21 is a Rabbit recombinant monoclonal antibody that specifically detects Angiotensin-converting enzyme 2 (ACE2). It targets an epitope within 21 amino acids from the N-terminal half, extracellular domain.

Physical form

Purified recombinant rabbit monoclonal antibody IgG, lyophilized in PBS, 5% Trehalose, normal appearance a coarse or translucent resin. The PBS/trehalose components in the ZooMAb formulation can have the appearance of a semi-solid (bead like gel) after lyophilization. This is a normal phenomenon. Please follow the recommended reconstitution procedure in the data sheet to dissolve the semi-solid, bead-like, gel-appearing material. The resulting antibody solution is completely stable and functional as proven by full functional testing. Contains no biocide or preservatives, such as azide, or any animal by-products. Larger pack sizes provided as multiples of 25 μL.

Preparation Note

Recommend storage of lyophilized product at 2-8°C; Before reconstitution, micro-centrifuge vials briefly to spin down material to bottom of the vial; Reconstitute each vial by adding 25 μL of filtered lab grade water or PBS; Reconstituted antibodies can be stored at 2-8°C, or -20°C for long term storage. Avoid repeated freeze-thaws.
Reconstitute lyophilized antibody pellet with 25μL of ultrapure water or Phosphate Buffered Saline (PBS). Please refer to our reconstitution protocol and the specific application guidance on the suggested starting dilutions and sample type.

Legal Information

ZooMAb is a registered trademark of Merck KGaA, Darmstadt, Germany

Disclaimer

Unless otherwise stated in our catalog or other company documentation accompanying the product(s), our products are intended for research use only and are not to be used for any other purpose, which includes but is not limited to, unauthorized commercial uses, in vitro diagnostic uses, ex vivo or in vivo therapeutic uses or any type of consumption or application to humans or animals.

Not finding the right product?  

Try our Product Selector Tool.

Storage Class

13 - Non Combustible Solids

wgk

WGK 1

flash_point_f

Not applicable

flash_point_c

Not applicable

Regulatory Information

常规特殊物品
This item has

Choose from one of the most recent versions:

Certificates of Analysis (COA)

Lot/Batch Number

Don't see the Right Version?

If you require a particular version, you can look up a specific certificate by the Lot or Batch number.

Already Own This Product?

Find documentation for the products that you have recently purchased in the Document Library.

Visit the Document Library

Our team of scientists has experience in all areas of research including Life Science, Material Science, Chemical Synthesis, Chromatography, Analytical and many others.

Contact Technical Service