Skip to Content
Merck
CN

ZRB1613

Anti-Filamin A Antibody, clone 1D12 ZooMAb® Rabbit Monoclonal

greener alternative

recombinant, expressed in HEK 293 cells

Synonym(s):

FLN-A;Actin-binding protein 280;ABP-280;Alpha-filamin;Endothelial actin-binding protein;Filamin-1;Non-muscle filamin

Sign In to View Organizational & Contract Pricing.

Select a Size


About This Item

NACRES:
NA.43
UNSPSC Code:
12352203
Conjugate:
unconjugated
Clone:
1D12, recombinant monoclonal
Application:
ICC, IHC (p), WB, affinity binding assay
Citations:
-
Technical Service
Need help? Our team of experienced scientists is here for you.
Let Us Assist
Technical Service
Need help? Our team of experienced scientists is here for you.
Let Us Assist

biological source

rabbit

recombinant

expressed in HEK 293 cells

conjugate

unconjugated

antibody form

purified antibody

antibody product type

primary antibodies

clone

1D12, recombinant monoclonal

description

recombinant, expressed in HEK 293 cells

product line

ZooMAb® learn more

form

lyophilized

mol wt

calculated mol wt 280.74 kDa, observed mol wt ~260 kDa

purified by

using Protein A

species reactivity

mouse, rat, human

species reactivity (predicted by homology)

horse, bovine, canine, monkey

packaging

antibody small pack of 25 μL

greener alternative product characteristics

Waste Prevention
Designing Safer Chemicals
Design for Energy Efficiency
Learn more about the Principles of Green Chemistry.

enhanced validation

recombinant expression
Learn more about Antibody Enhanced Validation

sustainability

Greener Alternative Product

technique(s)

affinity binding assay: suitable, immunocytochemistry: suitable, immunohistochemistry (formalin-fixed, paraffin-embedded sections): suitable, western blot: suitable

isotype

IgG

epitope sequence

C-terminal half

Protein ID accession no.

UniProt accession no.

greener alternative category

shipped in

ambient

storage temp.

2-8°C

target post-translational modification

unmodified

Quality Level

General description

Filamin-A (UniProt: P21333; also known as FLN-A, Actin-binding protein 280, ABP-280, Alpha-filamin, Endothelial actin-binding protein, Filamin-1, Non-muscle filamin) is encoded by the FLNA (also known as FLN, FLN1) gene (Gene ID: 2316) in human. Filamin-A is a ubiquitous cytoskeletal homodimeric protein that associates with actin filaments in the platelet cytoskeleton and links this structure to other structural/signaling proteins such as -actinin and to membrane receptors such as the vWF receptor (GPIb-IX-V). It is also expressed in migrating neurons in the prenatal neocortex. Each Filamin-A monomer contains an N-terminal actin-binding domain, which is followed by 24 tandem immunoglobulin (Ig)-like domains interrupted by two flexible hinges. The two monomers dimerize through their C-terminal domain to generate the homodimeric form. Repeat 24 and the second hinge domain are shown to be important for dimer formation. Filamin repeat 20 interacts with filamin repeat 21 masking the ligand binding site on filamin repeat 21, which results in an autoinhibited conformation. This autoinhibition can be relieved by ligands like ITGB7 or FBLIM1. Filamin-A promotes orthogonal branching of actin filaments and links actin filaments to membrane glycoproteins. It anchors various transmembrane proteins to the actin cytoskeleton and serves as a scaffold for a wide range of cytoplasmic signaling proteins. It also plays a role in cell-cell contacts and adherens junctions during the development of blood vessels, heart and brain organs and plays a role in platelets morphology through interaction with SYK that regulates ITAM- and ITAM-like-containing receptor signaling. During the axon guidance process, Filamin-A is required for growth cone collapse induced by SEMA3A-mediated stimulation of neurons. Its phosphorylation at serine 2152 is reported to be negatively regulated by its autoinhibited conformation. This ZooMAb® recombinant monoclonal antibody, generated by our propriety technology, offers significantly enhanced specificity, affinity, reproducibility, and stability over conventional monoclonals.
We are committed to bringing you greener alternative products, which adhere to one or more of The 12 Principles of Green Chemistry.This antibody is Preservative-free, produced without the harm or sacrifice of animals and exceptionally stable to allow for ambient shipping and storage if needed and thus aligns with "Waste Prevention", "Designing Safer Chemicals" and "Design for Energy Efficiency". Click here for more information.
ZooMAb® antibodies represent an entirely new generation of recombinant monoclonal antibodies.Each ZooMAb® antibody is manufactured using our proprietary recombinant expression system, purified to homogeneity, and precisely dispensed to produce robust and highly reproducible lot-to-lot consistency. Only top-performing clones are released for use by researchers. Each antibody is validated for high specificity and affinity across multiple applications, including its most commonly used application. ZooMAb® antibodies are reliably available and ready to ship when you need them.

Immunogen

KLH-conjugated linear peptide corresponding to 19 amino acids from the C-terminal half of human Filamin A.

Application

Quality Control Testing

Evaluated by Western Blotting in HeLa cell lysate.

Western Blotting Analysis: A 1:1,000 dilution of this antibody detected Filamin A in HeLa cell lysate.

Tested applications

Western Blotting Analysis: A 1:1,000 dilution from a representative lot detected Filamin A in lysates from A431 and C6 cells and mouse lung tissue.

Affinity Binding Assay: A representative lot of this antibody bound Filamin A with a KD of 3.8 x 10-8 in an affinity binding assay.

Immunocytochemistry Analysis: A 1:1,000 dilution from a representative lot detected Filamin A in U2OS cells.

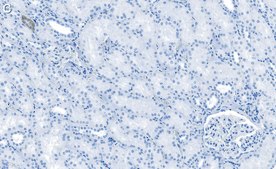
Immunohistochemistry (Paraffin) Analysis: A 1:100 dilution from a representative lot detected Filamin A in human kidney tissue sections.

Note: Actual optimal working dilutions must be determined by end user as specimens, and experimental conditions may vary with the end user

Biochem/physiol Actions

Clone 1D12 is a Rabbit recombinant monoclonal antibody that specifically detects Filamin A. It targets an epitope within 19 amino acids from the C-terminal half.

Physical form

Purified recombinant rabbit monoclonal antibody IgG, lyophilized in PBS, 5% Trehalose, normal appearance a coarse or translucent resin. The PBS/trehalose components in the ZooMAb formulation can have the appearance of a semi-solid (bead like gel) after lyophilization. This is a normal phenomenon. Please follow the recommended reconstitution procedure in the data sheet to dissolve the semi-solid, bead-like, gel-appearing material. The resulting antibody solution is completely stable and functional as proven by full functional testing. Contains no biocide or preservatives, such as azide, or any animal by-products. Larger pack sizes provided as multiples of 25 μL.

Preparation Note

Recommend storage of lyophilized product at 2-8°C; Before reconstitution, micro-centrifuge vials briefly to spin down material to bottom of the vial; Reconstitute each vial by adding 25 μL of filtered lab grade water or PBS; Reconstituted antibodies can be stored at 2-8°C, or -20°C for long term storage. Avoid repeated freeze-thaws.
Reconstitute lyophilized antibody pellet with 25μL of ultrapure water or Phosphate Buffered Saline (PBS). Please refer to our reconstitution protocol and the specific application guidance on the suggested starting dilutions and sample type.

Legal Information

ZooMAb is a registered trademark of Merck KGaA, Darmstadt, Germany

Disclaimer

Unless otherwise stated in our catalog or other company documentation accompanying the product(s), our products are intended for research use only and are not to be used for any other purpose, which includes but is not limited to, unauthorized commercial uses, in vitro diagnostic uses, ex vivo or in vivo therapeutic uses or any type of consumption or application to humans or animals.

Not finding the right product?  

Try our Product Selector Tool.

Storage Class

13 - Non Combustible Solids

wgk

WGK 1

flash_point_f

Not applicable

flash_point_c

Not applicable

Regulatory Information

常规特殊物品
This item has

Choose from one of the most recent versions:

Certificates of Analysis (COA)

Lot/Batch Number

Don't see the Right Version?

If you require a particular version, you can look up a specific certificate by the Lot or Batch number.

Already Own This Product?

Find documentation for the products that you have recently purchased in the Document Library.

Visit the Document Library

Our team of scientists has experience in all areas of research including Life Science, Material Science, Chemical Synthesis, Chromatography, Analytical and many others.

Contact Technical Service