Skip to Content
Merck
CN

ZRB1515

Anti-Integrin β3 Antibody, clone EM00212 ZooMAb® Rabbit Monoclonal

greener alternative

recombinant, expressed in HEK 293 cells

Synonym(s):

CD61, GPIIIa, Integrin beta-3, Platelet membrane glycoprotein IIIa

Sign In to View Organizational & Contract Pricing.

Select a Size


About This Item

NACRES:
NA.41
UNSPSC Code:
12352203
Conjugate:
unconjugated
Clone:
EM00212, monoclonal, recombinant monoclonal
Application:
FACS, ICC, IHC, WB
Citations:
-
Technical Service
Need help? Our team of experienced scientists is here for you.
Let Us Assist
Technical Service
Need help? Our team of experienced scientists is here for you.
Let Us Assist

biological source

rabbit

recombinant

expressed in HEK 293 cells

conjugate

unconjugated

antibody form

purified antibody

antibody product type

primary antibodies

clone

EM00212, monoclonal, recombinant monoclonal

product line

ZooMAb® learn more

form

lyophilized

mol wt

calculated mol wt 87.06 kDa, observed mol wt ~105 kDa

species reactivity

human

species reactivity (predicted by homology)

rat, mouse

packaging

antibody small pack of 25 μL

greener alternative product characteristics

Waste Prevention
Designing Safer Chemicals
Design for Energy Efficiency
Learn more about the Principles of Green Chemistry.

enhanced validation

recombinant expression
Learn more about Antibody Enhanced Validation

sustainability

Greener Alternative Product

technique(s)

flow cytometry: suitable, immunocytochemistry: suitable, immunohistochemistry: suitable, western blot: suitable

isotype

IgG

UniProt accession no.

greener alternative category

shipped in

ambient

storage temp.

2-8°C

target post-translational modification

unmodified

Quality Level

Gene Information

human ... ITGB3(3690)
mouse ... Itgb3(16416)
rat ... Itgb3(29302)

General description

Integrin b-3 (UniProt: P05106; also known as Platelet membrane glycoprotein IIIa, GPIIIa, CD61) is encoded by the ITGB3 (also known as GP3A) gene (Gene: 3690) in human. Integrins are heterodimeric cell surface receptors composed of a variable alpha subunit and a conserved beta subunit. The exact combination of various alpha and beta subunits dictates the binding specificity of integrins to different ECM components. Integrins are not constitutively active. Activation of an integrin from low ligand-binding affinity state to high ligand-binding affinity state requires conformational change that can originate from either from their cytoplasmic or extracellular interactions. Integrin b-3 is a single-pass type I membrane protein that is synthesized with a signal peptide (aa 1-26), which is subsequently cleaved off to generate the mature form that contains a long extracellular domain (aa 27-718), a transmembrane domain (aa 719-741), and a cytoplasmic domain (aa 742-788). Integrin b-3 heterodimerizes with Integrin alpha-V or with Integrin-alpha IIb to serve as a receptor for fibronectin, vitronectin and other proteins. These heterodimers recognize the sequence RGD in a wide array of ligands. Mutations in ITGB3 gene are known to cause Glanzmann thrombasthenia that is characterized by mucocutaneous bleeding of mild-to-moderate severity. This ZooMAb recombinant monoclonal antibody, generated by our propriety technology, offers significantly enhanced specificity, affinity, reproducibility, and stability over conventional monoclonals.
We are committed to bringing you greener alternative products, which adhere to one or more of The 12 Principles of Green Chemistry.This antibody is Preservative-free, produced without the harm or sacrifice of animals and exceptionally stable to allow for ambient shipping and storage if needed and thus aligns with "Waste Prevention", "Designing Safer Chemicals" and "Design for Energy Efficiency". Click here for more information.
ZooMAb antibodies represent an entirely new generation of recombinant monoclonal antibodies.

Each ZooMAb antibody is manufactured using our proprietary recombinant expression system, purified to homogeneity, and precisely dispensed to produce robust and highly reproducible lot-to-lot consistency. Only top-performing clones are released for use by researchers. Each antibody is validated for high specificity and affinity across multiple applications, including its most commonly used application. ZooMAb antibodies are reliably available and ready to ship when you need them.

Learn more about ZooMAb here.

Immunogen

GST-tagged recombinant fragment corresponding to 41 amino acids from the C-terminal, cytoplasmic domain of human Integrin beta-3.

Application

Anti-Integrin β3, clone EM00212 ZooMAb, Cat. No. ZRB1515, is a recombinant Rabbit monoclonal antibody that specifically targets Integrin β3 and is tested for use in Flow Cytometry, Immunocytochemistry, Immunohistochemistry, and Western Blotting.
Western Blotting Analysis: A 1:1,000 dilution from a representative lot detected Integrin β3 in SK-MEL-28, Hs294T, and A375 cell lysates.

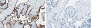
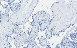
Immunohistochemistry (Paraffin) Analysis: A 1:100 dilution from a representative lot detected Integrin β3 in human placenta and human melanoma tissue sections.

Flow Cytometry Analysis: 1 βg from a representative lot detected Integrin β3 in one million HUVEC.

Immunocytochemistry Analysis: A 1:100 dilution from a representative lot detected Integrin β3 in HUVEC and SK-MEL-28 cells.

Note: Actual optimal working dilutions must be determined by end user as specimens, and experimental conditions may vary with the end user

Biochem/physiol Actions

Clone EM00212 is a ZooMAb rabbit recombinant monoclonal antibody that specifically detects Integrin β3. It targets an epitope within 41 amino acids from the C-terminal, cytoplasmic domain.

Physical form

Purified recombinant rabbit monoclonal antibody IgG, lyophilized in PBS, 5% Trehalose, normal appearance a coarse or translucent resin. Contains no biocide or preservatives, such as azide, or any animal by-products. Larger pack sizes provided as multiples of 25 μL.

Preparation Note

Recommend storage of lyophilized product at 2-8°C; Before reconstitution, micro-centrifuge vials briefly to spin down material to bottom of the vial; Reconstitute each vial by adding 25 μL of filtered lab grade water or PBS; Reconstituted antibodies can be stored at 2-8°C, or -20°C for long term storage. Avoid repeated freeze-thaws.
Reconstitute lyophilized antibody pellet with 25μL of ultrapure water or Phosphate Buffered Saline (PBS). Please refer to our reconstitution protocol and the specific application guidance on the suggested starting dilutions and sample type.

Legal Information

ZooMAb is a registered trademark of Merck KGaA, Darmstadt, Germany

Disclaimer

Unless otherwise stated in our catalog or other company documentation accompanying the product(s), our products are intended for research use only and are not to be used for any other purpose, which includes but is not limited to, unauthorized commercial uses, in vitro diagnostic uses, ex vivo or in vivo therapeutic uses or any type of consumption or application to humans or animals.

Not finding the right product?  

Try our Product Selector Tool.

Storage Class

11 - Combustible Solids

wgk

WGK 1

Regulatory Information

常规特殊物品
This item has

Choose from one of the most recent versions:

Certificates of Analysis (COA)

Lot/Batch Number

Don't see the Right Version?

If you require a particular version, you can look up a specific certificate by the Lot or Batch number.

Already Own This Product?

Find documentation for the products that you have recently purchased in the Document Library.

Visit the Document Library

Articles

Learn about the hallmarks of cancer and find reliable ZooMAb® recombinant antibodies to study them, conveniently organized by cancer hallmark.

Our team of scientists has experience in all areas of research including Life Science, Material Science, Chemical Synthesis, Chromatography, Analytical and many others.

Contact Technical Service