Skip to Content
Merck
CN

ZRB1480

Anti-LAMP-2 Antibody, clone 1F6 ZooMAb® Rabbit Monoclonal

greener alternative

recombinant, expressed in HEK 293 cells

Synonym(s):

Lysosome-associated membrane glycoprotein 2;Lysosome-associated membrane protein 2;CD107 antigen-like family member B;LGP-96;CD107b

Sign In to View Organizational & Contract Pricing.

Select a Size


About This Item

NACRES:
NA.41
UNSPSC Code:
12352203
Conjugate:
unconjugated
Clone:
1F6, recombinant monoclonal
Application:
ICC, IF, WB
Citations:
-
Technical Service
Need help? Our team of experienced scientists is here for you.
Let Us Assist
Technical Service
Need help? Our team of experienced scientists is here for you.
Let Us Assist

form

lyophilized

biological source

rabbit

recombinant

expressed in HEK 293 cells

conjugate

unconjugated

antibody form

purified antibody

antibody product type

primary antibodies

clone

1F6, recombinant monoclonal

description

recombinant, expressed in HEK 293 cells

product line

ZooMAb® learn more

mol wt

calculated mol wt 44.96 kDa, observed mol wt ~105 kDa

purified by

using Protein A

species reactivity

human, mouse

species reactivity (predicted by homology)

rat

packaging

antibody small pack of 25 μL

greener alternative product characteristics

Waste Prevention
Designing Safer Chemicals
Design for Energy Efficiency
Learn more about the Principles of Green Chemistry.

enhanced validation

recombinant expression
Learn more about Antibody Enhanced Validation

sustainability

Greener Alternative Product

technique(s)

immunocytochemistry: suitable, immunofluorescence: suitable, western blot: suitable

Quality Level

isotype

IgG

epitope sequence

C-terminal

Protein ID accession no.

UniProt accession no.

greener alternative category

shipped in

ambient

storage temp.

2-8°C

target post-translational modification

unmodified

General description

Lysosome-associated membrane glycoprotein 2 (UniProt: P13473; also known as LAMP-2, Lysosome-associated membrane protein 2, CD107 antigen-like family member B, LGP-96, CD107b) is encoded by the LAMP2 gene (Gene ID: 3920) in human. LAMP-2 is a single-pass type I, heavily glycosylated, membrane protein found in plasma membrane, endosomes, and lysosomes. It is synthesized with a signal peptide (aa 1-28), which is subsequently cleaved off to generate the mature form that contains a lumenal domain (aa 29-375), a transmembrane domain (aa 376-399), and a short cytoplasmic tail (aa 400-410). It is an important component of lysosomal membranes and is involved in both autophagy and lysosomal membrane permeabilization. LAMP-2 plays an important role in chaperone-mediated autophagy. It is required for the fusion of autophagosomes with lysosomes during autophagy. It also plays a role in lysosomal protein degradation in response to starvation. It functions by binding target proteins, such as GAPDH and MLLT11, and targets them for lysosomal degradation. In cancer cells, chronic acidosis-induced upregulation of LAMP-2 has been reported that protects these cells from acid-induced hydrolysis and promotes their survival via chaperone-mediated autophagy. Loss of LAMP-2 is reported to aggravate oxidative stress through the obstruction of reactive oxygen species clearance. Three different isoforms of LAMP-2 have been described that are produced by alternative splicing. Mutations in LAMP2 gene have been linked to Danon disease that is characterized by cardiomyopathy, vascular myopathy, and mental retardation. It is often associated with accumulation of glycogen in muscle and lysosomes. This ZooMAb® recombinant monoclonal antibody, generated by our propriety technology, offers significantly enhanced specificity, affinity, reproducibility, and stability over conventional monoclonals. (Ref.: Cui, L., et al. (2020). Front. Cell Dev. Biol. 8; 31; Hubert, V., et al. (2016). Biol Open. 5(10); 1516-1529).
We are committed to bringing you greener alternative products, which adhere to one or more of The 12 Principles of Green Chemistry.This antibody is Preservative-free, produced without the harm or sacrifice of animals and exceptionally stable to allow for ambient shipping and storage if needed and thus aligns with "Waste Prevention", "Designing Safer Chemicals" and "Design for Energy Efficiency". Click here for more information.
ZooMAb® antibodies represent an entirely new generation of recombinant monoclonal antibodies.Each ZooMAb® antibody is manufactured using our proprietary recombinant expression system, purified to homogeneity, and precisely dispensed to produce robust and highly reproducible lot-to-lot consistency. Only top-performing clones are released for use by researchers. Each antibody is validated for high specificity and affinity across multiple applications, including its most commonly used application. ZooMAb® antibodies are reliably available and ready to ship when you need them.

Immunogen

KLH-conjugated linear peptide corresponding to 11 amino acids from the C-terminal, cytoplasmic domain of human LAMP-2.

Application

Quality Control Testing

Evaluated by Western Blotting in Human Kidney tissue lysate.

Western Blotting Analysis: A 1:1,000 dilution of this antibody detected LAMP-2 in Human Kidney tissue lysate.

Tested applications

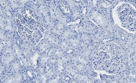
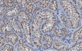
Immunohistochemistry (Paraffin) Analysis: A 1:1,000 dilution from a representative lot detected LAMP-2 in human kidney tissue sections.

Affinity Binding Assay: A representative lot of this antibody bound LAMP-2 with a KD of 1.0 x 10-12 in an affinity binding assay.

Immunofluorescence Analysis: A 1:1,000 dilution from a representative lot detected LAMP-2 in human kidney tissue sections.

Immunocytochemistry Analysis: A 1:100 dilution from a representative lot detected LAMP-2 in HeLa, HUVEC, NIH 3T3, U-251 MG cells.

Note: Actual optimal working dilutions must be determined by end user as specimens, and experimental conditions may vary with the end user

Biochem/physiol Actions

Clone 1F6 is a Rabbit recombinant monoclonal antibody that specifically detects LAMP-2 protein. It targets an epitope within 11 amino acids from the C-terminal, cytoplasmic domain.

Physical form

Purified recombinant rabbit monoclonal antibody IgG, lyophilized in PBS, 5% Trehalose, normal appearance a coarse or translucent resin. The PBS/trehalose components in the ZooMAb formulation can have the appearance of a semi-solid (bead like gel) after lyophilization. This is a normal phenomenon. Please follow the recommended reconstitution procedure in the data sheet to dissolve the semi-solid, bead-like, gel-appearing material. The resulting antibody solution is completely stable and functional as proven by full functional testing. Contains no biocide or preservatives, such as azide, or any animal by-products. Larger pack sizes provided as multiples of 25 μL.

Preparation Note

Recommend storage of lyophilized product at 2-8°C; Before reconstitution, micro-centrifuge vials briefly to spin down material to bottom of the vial; Reconstitute each vial by adding 25 μL of filtered lab grade water or PBS; Reconstituted antibodies can be stored at 2-8°C, or -20°C for long term storage. Avoid repeated freeze-thaws.
Reconstitute lyophilized antibody pellet with 25μL of ultrapure water or Phosphate Buffered Saline (PBS). Please refer to our reconstitution protocol and the specific application guidance on the suggested starting dilutions and sample type.

Legal Information

ZooMAb is a registered trademark of Merck KGaA, Darmstadt, Germany

Disclaimer

Unless otherwise stated in our catalog or other company documentation accompanying the product(s), our products are intended for research use only and are not to be used for any other purpose, which includes but is not limited to, unauthorized commercial uses, in vitro diagnostic uses, ex vivo or in vivo therapeutic uses or any type of consumption or application to humans or animals.

Not finding the right product?  

Try our Product Selector Tool.

Storage Class

13 - Non Combustible Solids

wgk

WGK 1

flash_point_f

Not applicable

flash_point_c

Not applicable

Regulatory Information

常规特殊物品
This item has

Choose from one of the most recent versions:

Certificates of Analysis (COA)

Lot/Batch Number

Don't see the Right Version?

If you require a particular version, you can look up a specific certificate by the Lot or Batch number.

Already Own This Product?

Find documentation for the products that you have recently purchased in the Document Library.

Visit the Document Library

Our team of scientists has experience in all areas of research including Life Science, Material Science, Chemical Synthesis, Chromatography, Analytical and many others.

Contact Technical Service