Skip to Content
Merck
CN

ZRB1414

Anti-Angiopoietin-2 Antibody, clone 4L18 ZooMAb® Rabbit Monoclonal

greener alternative

recombinant, expressed in HEK 293 cells

Synonym(s):

ANG-2, ANG2

Sign In to View Organizational & Contract Pricing.

Select a Size


About This Item

NACRES:
NA.41
UNSPSC Code:
12352203
Conjugate:
unconjugated
Clone:
recombinant monoclonal
Application:
IF, IHC, WB, affinity binding assay
Citations:
-
Technical Service
Need help? Our team of experienced scientists is here for you.
Let Us Assist
Technical Service
Need help? Our team of experienced scientists is here for you.
Let Us Assist

biological source

rabbit

recombinant

expressed in HEK 293 cells

conjugate

unconjugated

antibody form

purified antibody

antibody product type

primary antibodies

clone

recombinant monoclonal

product line

ZooMAb® learn more

form

lyophilized

mol wt

calculated mol wt 56.92 kDa, observed mol wt ~48 kDa

species reactivity

human, rat

packaging

antibody small pack of 25 μL

greener alternative product characteristics

Waste Prevention
Designing Safer Chemicals
Design for Energy Efficiency
Learn more about the Principles of Green Chemistry.

enhanced validation

recombinant expression
Learn more about Antibody Enhanced Validation

sustainability

Greener Alternative Product

technique(s)

affinity binding assay: suitable, immunofluorescence: suitable, immunohistochemistry: suitable, western blot: suitable

isotype

IgG

UniProt accession no.

greener alternative category

shipped in

ambient

storage temp.

2-8°C

target post-translational modification

unmodified

Quality Level

Gene Information

human ... ANGPT2(285)
rat ... Angpt2(89805)

General description

Angiopoietin-2 (UniProt: O15123; also known as ANG-2) is encoded by the ANGPT2 gene (Gene ID: 285) in human. Angiopoietins are a family of growth factors that include Angiopoietin 1 and 2 and the orthologs 3 (in mouse) and 4 (in human). ANG-2 is a secreted glycoprotein that is expressed predominantly by endothelial cells and some smooth muscle cells in a tightly regulated manner. High expression of ANG-2 has been observed in placenta. In quiescent mature vessels its expression is shown to be low; however, upon receipt of inflammatory signals its levels are significantly elevated. ANG-2 binds to TEK/TIE2 and competes for the Angiopoietin-1 (ANG-1) binding site and modulates ANG-1 signaling. It is also reported to induce tyrosine phosphorylation of TEK/TIE2 in the absence of ANG-1. Both ANG-1 and ANG-2 have been implicated in tumor angiogenesis and ANG-2 is highly up-regulated in the vasculature of mouse and human neoplasms. It also acts as a chemoattractant and mediates the migration of a monocytes that express Tie2 receptor. ANG-2 contains a fibrinogen C-terminal domain (aa 275-495) that mediates its interaction with the TEK/TIE2 receptor. Three isoforms of ANG-2 have been described that are produced by alternative splicing. This ZooMAb® recombinant monoclonal antibody, generated by our propriety technology, offers significantly enhanced specificity, affinity, reproducibility, and stability over conventional monoclonals. (Ref.: Scholz, A., et al. (2015). Ann. N.Y. Acad. Sci. 1347; 45-51; Felcht, M., et al. (2012). J. Clin. Invest. 122(6); 1991-2005).
We are committed to bringing you greener alternative products, which adhere to one or more of The 12 Principles of Green Chemistry.This antibody is Preservative-free, produced without the harm or sacrifice of animals and exceptionally stable to allow for ambient shipping and storage if needed and thus aligns with "Waste Prevention", "Designing Safer Chemicals" and "Design for Energy Efficiency". Click here for more information.
ZooMAb antibodies represent an entirely new generation of recombinant monoclonal antibodies.

Each ZooMAb antibody is manufactured using our proprietary recombinant expression system, purified to homogeneity, and precisely dispensed to produce robust and highly reproducible lot-to-lot consistency. Only top-performing clones are released for use by researchers. Each antibody is validated for high specificity and affinity across multiple applications, including its most commonly used application. ZooMAb antibodies are reliably available and ready to ship when you need them.

Learn more about ZooMAb here.

Immunogen

KLH-conjugate linear peptide corresponding to 23 amino acids from the N-terminal region of human Angiopoietin-2.

Application

Anti-Angiopoietin-2, clone 4L18 ZooMAb, Cat. No. ZRB1414, is a recombinant Rabbit monoclonal antibody that targets Angiopoietin-2 and is tested in Affinity Binding, Immunohistochemistry, Immunofluorescence, Western Blotting.
Immunofluorescence Analysis: A 1:100 dilution from a representative lot detected Angiopoietin-2 in post-fixed, frozen human placenta tissue sections.

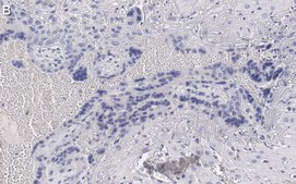
Immunohistochemistry (Paraffin) Analysis: A 1:100 dilution from a representative lot detected Angiopoietin-2 in human placenta tissue sections.

Affinity Binding Assay:

Affinity Binding Assay: A representative lot of this antibody bound Angiopoietin-2 peptide with a KD of 4.6 x 10-7 in an affinity binding assay.

Note: Actual optimal working dilutions must be determined by end user as specimens, and experimental conditions may vary with the end user.

Biochem/physiol Actions

Clone 4L18 is a ZooMAb rabbit recombinant monoclonal antibody that specifically detects Angiopoietin-2. It targets an epitope within 23 amino acids from the N-terminal region.

Physical form

Purified recombinant rabbit monoclonal antibody IgG, lyophilized in PBS with 5% Trehalose, normal appearance a coarse or translucent resin. Contains no biocide or preservatives, such as azide, or any animal by-products. Larger pack sizes provided as multiples of 25 μL.

Preparation Note

Recommended storage of lyophilized product at 2-8°C; Before reconstitution, micro-centrifuge vials briefly to spin down material to bottom of the vial; Reconstitute each vial by adding 25 μL of filtered lab grade water or PBS; Reconstituted antibodies can be stored at 2-8°C, or -20°C for long term storage. Avoid repeated freeze-thaws.
Reconstitute lyophilized antibody pellet with 25μL of ultrapure water or Phosphate Buffered Saline (PBS). Please refer to our reconstitution protocol and the specific application guidance on the suggested starting dilutions and sample type.

Legal Information

ZooMAb is a registered trademark of Merck KGaA, Darmstadt, Germany

Disclaimer

Unless otherwise stated in our catalog or other company documentation accompanying the product(s), our products are intended for research use only and are not to be used for any other purpose, which includes but is not limited to, unauthorized commercial uses, in vitro diagnostic uses, ex vivo or in vivo therapeutic uses or any type of consumption or application to humans or animals.

Not finding the right product?  

Try our Product Selector Tool.

wgk

WGK 2

Storage Class

11 - Combustible Solids

Regulatory Information

常规特殊物品
常规特殊物品
This item has

Choose from one of the most recent versions:

Certificates of Analysis (COA)

Lot/Batch Number

Don't see the Right Version?

If you require a particular version, you can look up a specific certificate by the Lot or Batch number.

Already Own This Product?

Find documentation for the products that you have recently purchased in the Document Library.

Visit the Document Library

Articles

Learn about the hallmarks of cancer and find reliable ZooMAb® recombinant antibodies to study them, conveniently organized by cancer hallmark.

Our team of scientists has experience in all areas of research including Life Science, Material Science, Chemical Synthesis, Chromatography, Analytical and many others.

Contact Technical Service