Skip to Content
Merck
CN

ZRB1411

Anti-Neurofilament M Antibody, clone 1B23 ZooMAb® Rabbit Monoclonal

greener alternative

recombinant, expressed in HEK 293 cells

Synonym(s):

160 kDa neurofilament protein, NF-M, Neurofilament 3, Neurofilament medium polypeptide, Neurofilament triplet M protein

Sign In to View Organizational & Contract Pricing.

Select a Size


About This Item

NACRES:
NA.43
UNSPSC Code:
12352203
Conjugate:
unconjugated
Clone:
recombinant monoclonal
Application:
ICC, IHC, WB
Citations:
-
Technical Service
Need help? Our team of experienced scientists is here for you.
Let Us Assist
Technical Service
Need help? Our team of experienced scientists is here for you.
Let Us Assist

biological source

rabbit

recombinant

expressed in HEK 293 cells

conjugate

unconjugated

antibody form

purified antibody

antibody product type

primary antibodies

clone

recombinant monoclonal

product line

ZooMAb® learn more

form

lyophilized

mol wt

calculated mol wt 102.47 kDa, observed mol wt ~145 kDa

species reactivity

rat, mouse, human

packaging

antibody small pack of 25 μL

greener alternative product characteristics

Waste Prevention
Designing Safer Chemicals
Design for Energy Efficiency
Learn more about the Principles of Green Chemistry.

enhanced validation

recombinant expression
Learn more about Antibody Enhanced Validation

sustainability

Greener Alternative Product

technique(s)

immunocytochemistry: suitable, immunohistochemistry: suitable, western blot: suitable

isotype

IgG

UniProt accession no.

greener alternative category

shipped in

ambient

storage temp.

2-8°C

target post-translational modification

unmodified

Quality Level

Gene Information

human ... NEFM(4741)
mouse ... Nefm(18040)
rat ... Nefm(24588)

General description

Neurofilament medium polypeptide (UniProt: P07197; also known as NF-M, 160 kDa neurofilament protein, Neurofilament 3, Neurofilament triplet M protein) is encoded by the NEFM (also known as NEF3, NFM) gene (Gene ID: 4741) in human. Neurofilaments are intermediate filaments that serve as major elements of the cytoskeleton supporting the axon cytoplasm. They are the most abundant fibrillar components of the axon, being on average 3-10 times more frequent than axonal microtubules. They are built from three intertwined protofibrils, which are themselves composed of two tetrameric protofilament complexes of monomeric proteins. The neurofilament triplet proteins (68/70, 160, and 200 kDa) occur in both the central and peripheral nervous system and are usually neuron specific. The 68/70 kDa NF-L protein can self-assemble into a filamentous structure, however the 160 kDa NF-M and 200 kDa NF-H proteins require the presence of the 68/70 kDa NF-L protein to co-assemble. Neurofilaments contain a number of repeats of the tripeptide KSP (Lys-Ser-Pro) and NF-M is phosphorylated on a number of the serines in this motif by protein kinase A and C. Phosphorylation of NF-M results in the formation of interfilament cross bridges that are important in the maintenance of axonal caliber. Deletion of the phosphorylated tail domain of NF-M is reported to inhibit radial growth of axons and reduce their conduction velocities. However, mice expressing NF-M subunits that lack phosphorylation at KSP sites along the tail domain have normal axon calibers and conduction velocities, indicating that the NF-M tail domain, but not tail phosphorylation is crucial for axon radial growth. The level of phosphorylation is shown to be altered developmentally and coincides with a change in the neurofilament function. Mutations in the rod domain region of NF-M have been identified in early onset Parkinson s disease. Also, in the brains of Alzheimer s disease patients, a reciprocal relationship between O-GlcNAcylation and phosphorylation of N-FM has been reported where a decreased O-GlcNAcylation is accompanied with increased KSP phosphorylation of NF-M. This ZooMAb® recombinant monoclonal antibody, generated by our propriety technology, offers significantly enhanced specificity, affinity, reproducibility, and stability over conventional monoclonals. (Ref.: Yuan, A., et al. (2012). J. Cell Sci. 125(14); 3257-3263).
We are committed to bringing you greener alternative products, which adhere to one or more of The 12 Principles of Green Chemistry.This antibody is Preservative-free, produced without the harm or sacrifice of animals and exceptionally stable to allow for ambient shipping and storage if needed and thus aligns with "Waste Prevention", "Designing Safer Chemicals" and "Design for Energy Efficiency". Click here for more information.
ZooMAb antibodies represent an entirely new generation of recombinant monoclonal antibodies.

Each ZooMAb antibody is manufactured using our proprietary recombinant expression system, purified to homogeneity, and precisely dispensed to produce robust and highly reproducible lot-to-lot consistency. Only top-performing clones are released for use by researchers. Each antibody is validated for high specificity and affinity across multiple applications, including its most commonly used application. ZooMAb antibodies are reliably available and ready to ship when you need them.

Learn more about ZooMAb here.

Immunogen

GST/His-tagged recombinant fragment corresponding to 150 amino acids from the C-terminal region of human Neurofilament M.

Application

Anti-Neurofilament M, clone 1B23 ZooMAb, Cat. No. ZRB1411, is a recombinant Rabbit monoclonal antibody that targets Neurofilament M and is tested for use in Immunocytochemistry, Immunohistochemistry, and Western Blotting.
Western Blotting Analysis: A 1:1,000 dilution from a representative lot detected Neurofilament M in mouse brain tissue lysate.

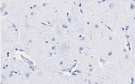
Immunohistochemistry (Paraffin) Analysis: A 1:100 dilution from a representative lot detected Neurofilament M in human brain tissue sections.

Immunocytochemistry Analysis: A 1:100 dilution from a representative lot detected Neurofilament M in SH-SY5Y cells.

Note: Actual optimal working dilutions must be determined by end user as specimens, and experimental conditions may vary with the end user.

Biochem/physiol Actions

Clone 1B23 is a ZooMAb rabbit recombinant monoclonal antibody that specifically detects Neurofilament M. It targets an epitope within 150 amino acids from the C-terminal region.

Physical form

Purified recombinant rabbit monoclonal antibody IgG, lyophilized in PBS with 5% Trehalose, normal appearance a coarse or translucent resin. Contains no biocide or preservatives, such as azide, or any animal by-products. Larger pack sizes provided as multiples of 25 μL.

Preparation Note

Recommended storage of lyophilized product at 2-8°C; Before reconstitution, micro-centrifuge vials briefly to spin down material to bottom of the vial; Reconstitute each vial by adding 25 μL of filtered lab grade water or PBS; Reconstituted antibodies can be stored at 2-8°C, or -20°C for long term storage. Avoid repeated freeze-thaws.
Reconstitute lyophilized antibody pellet with 25μL of ultrapure water or Phosphate Buffered Saline (PBS). Please refer to our reconstitution protocol and the specific application guidance on the suggested starting dilutions and sample type.

Legal Information

ZooMAb is a registered trademark of Merck KGaA, Darmstadt, Germany

Disclaimer

Unless otherwise stated in our catalog or other company documentation accompanying the product(s), our products are intended for research use only and are not to be used for any other purpose, which includes but is not limited to, unauthorized commercial uses, in vitro diagnostic uses, ex vivo or in vivo therapeutic uses or any type of consumption or application to humans or animals.

Not finding the right product?  

Try our Product Selector Tool.

Storage Class

11 - Combustible Solids

wgk

WGK 2

Regulatory Information

常规特殊物品
常规特殊物品
This item has

Choose from one of the most recent versions:

Certificates of Analysis (COA)

Lot/Batch Number

Don't see the Right Version?

If you require a particular version, you can look up a specific certificate by the Lot or Batch number.

Already Own This Product?

Find documentation for the products that you have recently purchased in the Document Library.

Visit the Document Library

Our team of scientists has experience in all areas of research including Life Science, Material Science, Chemical Synthesis, Chromatography, Analytical and many others.

Contact Technical Service