Skip to Content
Merck
CN

ZRB1356

Anti-Derlin-1 Antibody, clone 2C2, ZooMAb® Rabbit Monoclonal

greener alternative

recombinant, expressed in HEK 293 cells

Synonym(s):

DERtrin-1, Degradation in endoplasmic reticulum protein 1, Der1-like protein 1

Sign In to View Organizational & Contract Pricing.

Select a Size


About This Item

NACRES:
NA.41
UNSPSC Code:
12352203
Conjugate:
unconjugated
Clone:
2C2, monoclonal, recombinant monoclonal
Application:
ICC, IHC (p), WB
Citations:
-
Technical Service
Need help? Our team of experienced scientists is here for you.
Let Us Assist
Technical Service
Need help? Our team of experienced scientists is here for you.
Let Us Assist

biological source

rabbit

recombinant

expressed in HEK 293 cells

conjugate

unconjugated

antibody form

purified antibody

antibody product type

primary antibodies

clone

2C2, monoclonal, recombinant monoclonal

product line

ZooMAb® learn more

form

lyophilized

mol wt

calculated mol wt 28.8 kDa, observed mol wt ~18 kDa

species reactivity

rat, bovine, mouse, human

packaging

antibody small pack of 25 μL

greener alternative product characteristics

Waste Prevention
Designing Safer Chemicals
Design for Energy Efficiency
Learn more about the Principles of Green Chemistry.

enhanced validation

recombinant expression
Learn more about Antibody Enhanced Validation

sustainability

Greener Alternative Product

technique(s)

immunocytochemistry: suitable, immunohistochemistry (formalin-fixed, paraffin-embedded sections): suitable, western blot: suitable

isotype

IgG

UniProt accession no.

greener alternative category

shipped in

ambient

storage temp.

2-8°C

target post-translational modification

unmodified

Quality Level

Gene Information

human ... DERL1(79139)

General description

Derlin-1 (UniProt: Q9BUN8; also known as Degradation in endoplasmic reticulum protein 1, DERtrin-1, Der1-like protein 1) is encoded by the DERL1 (also known as DER1, UNQ243/PRO276) gene (Gene ID: 79139) in human. Derlin-1 is a multi-pass membrane protein that serves as an E3 ligase mediator that links target proteins to ubiquitin-mediated proteasomal degradation in the cytosol. It is a functional sub-unit of the ER-associated degradation (ERAD) that forms a retro-translocation channel in the ER membrane and functions in the recognition of misfolded membrane or transmembrane proteins and their subsequent degradation in the ubiquitin-proteasomal system. Before any ERAD proteins are processed by the cytoplasmic ubiquitin-proteasome system, they are translocated across the ER membrane through an AAA ATPase p97/VCP-driven process. Derlin-1 is also involved in endoplasmic reticulum stress-induced pre-emptive quality control, a mechanism that selectively attenuates the translocation of newly synthesized proteins into the endoplasmic reticulum and reroutes them to the cytosol for proteasomal degradation. Derlin-1 can form homo- and heterooligomers with Derlin-2 and -3, however, binding to Derlin-3 is shown to be DERL3 is lower. Derlin-1 contains three cytoplasmic domains (aa 2-22, 81-105, and 176-251), four transmembrane domains (aa 23-43, 60-80, 106-126, 155-175), and two lumenal domains (aa 44-59 and 127-154). This ZooMAb recombinant monoclonal antibody, generated by our propriety technology, offers significantly enhanced specificity, affinity, reproducibility, and stability over conventional monoclonals. (Ref.: You, H., et al. (2017). J. Cell Sci. 130(6); 1027-1036).
We are committed to bringing you greener alternative products, which adhere to one or more of The 12 Principles of Green Chemistry.This antibody is Preservative-free, produced without the harm or sacrifice of animals and exceptionally stable to allow for ambient shipping and storage if needed and thus aligns with "Waste Prevention", "Designing Safer Chemicals" and "Design for Energy Efficiency". Click here for more information.
ZooMAb antibodies represent an entirely new generation of recombinant monoclonal antibodies.

Each ZooMAb antibody is manufactured using our proprietary recombinant expression system, purified to homogeneity, and precisely dispensed to produce robust and highly reproducible lot-to-lot consistency. Only top-performing clones are released for use by researchers. Each antibody is validated for high specificity and affinity across multiple applications, including its most commonly used application. ZooMAb antibodies are reliably available and ready to ship when you need them.

Learn more about ZooMAb here.

Immunogen

KLH-conjugated linear peptide corresponding to 14 amino acids from the C-terminal region of human Derlin-1.

Application

Anti-Derlin-1, clone 2C2 ZooMAb, Cat. No. ZRB1356, is a recombinant Rabbit monoclonal antibody that specifically targets Derlin-1 and has been tested for use in Immunocytochemistry, Immunohistochemistry (Paraffin), and Western Blotting.
Western Blotting Analysis: A 1:1,000 dilution from a representative lot detected Derlin-1 in NIH/3T3, FBHE, and L6 cell lysates.

Immunocytochemistry Analysis: A 1:100 dilution from a representative lot detected Derlin-1 in HeLa, A431, HUVEC and NIH 3T3 cells.

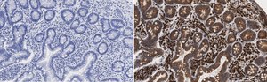
Immunohistochemistry (Paraffin) Analysis: A 1:100 dilution from a representative lot detected Derlin-1 in human small intestine tissue sections.

Note: Actual optimal working dilutions must be determined by end user as specimens, and experimental conditions may vary with the end user.

Biochem/physiol Actions

Clone 2C2 is a ZooMAb rabbit recombinant monoclonal antibody that specifically detects Derling-1 protein. It targets an epitope within 14 amino acids from the C-terminal region.

Physical form

Purified recombinant rabbit monoclonal antibody IgG, lyophilized in PBS with 5% Trehalose, normal appearance a coarse or translucent resin. Contains no biocide or preservatives, such as azide, or any animal by-products. Larger pack sizes provided as multiples of 25 μL.

Preparation Note

Recommend storage of lyophilized product at 2-8°C; Before reconstitution, micro-centrifuge vials briefly to spin down material to bottom of the vial; Reconstitute each vial by adding 25 μL of filtered lab grade water or PBS; Reconstituted antibodies can be stored at 2-8°C, or -20°C for long term storage. Avoid repeated freeze-thaws.
Reconstitute lyophilized antibody pellet with 25μL of ultrapure water or Phosphate Buffered Saline (PBS). Please refer to our reconstitution protocol and the specific application guidance on the suggested starting dilutions and sample type.

Legal Information

ZooMAb is a registered trademark of Merck KGaA, Darmstadt, Germany

Disclaimer

Unless otherwise stated in our catalog or other company documentation accompanying the product(s), our products are intended for research use only and are not to be used for any other purpose, which includes but is not limited to, unauthorized commercial uses, in vitro diagnostic uses, ex vivo or in vivo therapeutic uses or any type of consumption or application to humans or animals.

Not finding the right product?  

Try our Product Selector Tool.

Storage Class

11 - Combustible Solids

wgk

WGK 1

flash_point_f

Not applicable

flash_point_c

Not applicable

Regulatory Information

常规特殊物品
This item has

Choose from one of the most recent versions:

Certificates of Analysis (COA)

Lot/Batch Number

Don't see the Right Version?

If you require a particular version, you can look up a specific certificate by the Lot or Batch number.

Already Own This Product?

Find documentation for the products that you have recently purchased in the Document Library.

Visit the Document Library

Our team of scientists has experience in all areas of research including Life Science, Material Science, Chemical Synthesis, Chromatography, Analytical and many others.

Contact Technical Service