Skip to Content
Merck
CN

ZRB1273

Anti-K+/Cl- Cotransporter-2 Antibody, clone 5E13 ZooMAb® Rabbit Monoclonal

greener alternative

recombinant, expressed in HEK 293 cells

Sign In to View Organizational & Contract Pricing.

Select a Size


About This Item

NACRES:
NA.41
UNSPSC Code:
12352203
Conjugate:
unconjugated
Clone:
5E13, recombinant monoclonal
Application:
ICC, IF, IHC (p), WB, affinity binding assay
Citations:
-
Technical Service
Need help? Our team of experienced scientists is here for you.
Let Us Assist
Technical Service
Need help? Our team of experienced scientists is here for you.
Let Us Assist

biological source

rabbit

recombinant

expressed in HEK 293 cells

conjugate

unconjugated

antibody form

purified antibody

antibody product type

primary antibodies

clone

5E13, recombinant monoclonal

description

recombinant, expressed in HEK 293 cells

product line

ZooMAb® learn more

form

lyophilized

mol wt

calculated mol wt 126.18 kDa, observed mol wt ~135 kDa

species reactivity

human, rat

species reactivity (predicted by homology)

monkey

packaging

antibody small pack of 25 μL

greener alternative product characteristics

Waste Prevention
Designing Safer Chemicals
Design for Energy Efficiency
Learn more about the Principles of Green Chemistry.

enhanced validation

recombinant expression
Learn more about Antibody Enhanced Validation

sustainability

Greener Alternative Product

technique(s)

affinity binding assay: suitable, immunocytochemistry: suitable, immunofluorescence: suitable, immunohistochemistry (formalin-fixed, paraffin-embedded sections): suitable, western blot: suitable

isotype

IgG

epitope sequence

C-terminal cytoplasmic domain

Protein ID accession no.

UniProt accession no.

greener alternative category

shipped in

ambient

storage temp.

2-8°C

target post-translational modification

unmodified

Quality Level

General description

Solute carrier family 12 member 5 (UniProt: Q9H2X9; also known as Electroneutral potassium-chloride cotransporter 2, K-Cl cotransporter 2, Neuronal K-Cl cotransporter, hKCC2, KCC2) is encoded by the SLC12A5 (also known as KCC2, KIAA1176) gene (Gene ID: 57468) in human. KCC2 is a multi-pass homomultimeric membrane protein with seven cytoplasmic domains and twelve transmembrane domains. It can also form heteromultimers with other K+/Cl- cotransporters. Its expression is restricted to neuronal cells. KCC2 mediates electroneutral potassium-chloride cotransport in mature neurons and is required for neuronal Cl- homeostasis. It is the major extruder of intracellular chloride and establishes the low neuronal Cl- levels required for chloride influx after binding of GABA-A and glycine to their receptors, with subsequent hyperpolarization and neuronal inhibition. It is also involved in the regulation of dendritic spine formation and maturation. Overexpression of KCC2 has been reported in colorectal carcinogenesis and bladder urothelial carcinoma. Its tumor promoting effects are reported to be due to its ability to inhibit apoptosis mediated via apoptosis inducing factor-dependent and Endonuclease G-dependent apoptotic signaling pathway. Mutations in SLC12A5 gene are known to cause early infantile epileptic encephalopathy that is characterized by refractory seizures, neurodevelopmental impairment, and poor prognosis. This ZooMAb® recombinant monoclonal antibody, generated by our propriety technology, offers significantly enhanced specificity, affinity, reproducibility, and stability over conventional monoclonals. (Ref.: Liu, JY., et al. (2017). Cell Death Dis. 8; e2691).
We are committed to bringing you greener alternative products, which adhere to one or more of The 12 Principles of Green Chemistry.This antibody is Preservative-free, produced without the harm or sacrifice of animals and exceptionally stable to allow for ambient shipping and storage if needed and thus aligns with "Waste Prevention", "Designing Safer Chemicals" and "Design for Energy Efficiency". Click here for more information.
ZooMAb® antibodies represent an entirely new generation of recombinant monoclonal antibodies.

Each ZooMAb® antibody is manufactured using our proprietary recombinant expression system, purified to homogeneity, and precisely dispensed to produce robust and highly reproducible lot-to-lot consistency. Only top-performing clones are released for use by researchers. Each antibody is validated for high specificity and affinity across multiple applications, including its most commonly used application. ZooMAb® antibodies are reliably available and ready to ship when you need them.

Learn more about ZooMAb here.

Immunogen

His-tagged recombinant fragment corresponding to 112 amino acids from the C-terminal, cytoplasmic domain of human potassium-chloride cotransporter 2 (KCC2).

Application

Quality Control Testing

Evaluated by Western Blotting in Rat Brain tissue lysate.

Western Blotting Analysis: A 1:10,000 dilution of this antibody detected K+/Cl- Cotransporter-2 (KCC2) in Rat Brain tissue lysate.

Tested applications

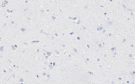
Immunofluorescence Analysis: A 1:100 dilution from a representative lot detected K+/Cl- Cotransporter-2 (KCC2) in human cerebral cortex tissue sections.

Affinity Binding Assay: A representative lot of this antibody bound K+/Cl- Cotransporter-2 (KCC2) recombinant protein fragment with a KD of 1.0 x 10-12 in an affinity binding assay.

Immunocytochemistry Analysis: A 1:100 dilution from a representative lot detected K+/Cl- Cotransporter-2 (KCC2) in SH-SY5Y cells.

Immunohistochemistry (Paraffin) Analysis: A 1:100 dilution from a representative lot detected K+/Cl- Cotransporter-2 (KCC2) in human cerebral cortex tissue sections.

Note: Actual optimal working dilutions must be determined by end user as specimens, and experimental conditions may vary with the end user
Anti-K+/Cl- Cotransporter-2, clone 5E13 ZooMAb®, Cat. No. ZRB1273, is a Rabbit monoclonal antibody that targets K+/Cl- Cotransporter-2 and is used in Affinity Binding Assay, Immunocytochemistry, Immunofluorescence, Immunohistochemistry, Western Blotting.

Biochem/physiol Actions

Clone 5E13 is a ZooMAb® rabbit recombinant monoclonal antibody that specifically detects potassium-chloride cotransporter 2 (KCC2). It targets at epitope within the C-terminal, cytoplasmic domain.

Physical form

Purified recombinant rabbit monoclonal antibody IgG, lyophilized in PBS with 5% Trehalose, normal appearance a coarse or translucent resin. The PBS/trehalose components in the ZooMAb formulation can have the appearance of a semi-solid (bead like gel) after lyophilization. This is a normal phenomenon. Please follow the recommended reconstitution procedure in the data sheet to dissolve the semi-solid, bead-like, gel-appearing material. The resulting antibody solution is completely stable and functional as proven by full functional testing. Contains no biocide or preservatives, such as azide, or any animal by-products. Larger pack sizes provided as multiples of 25 μL.

Preparation Note

Recommend storage of lyophilized product at 2-8°C; Before reconstitution, micro-centrifuge vials briefly to spin down material to bottom of the vial; Reconstitute each vial by adding 25 μL of filtered lab grade water or PBS; Reconstituted antibodies can be stored at 2-8°C, or -20°C for long term storage. Avoid repeated freeze-thaws.
Reconstitute lyophilized antibody pellet with 25μL of ultrapure water or Phosphate Buffered Saline (PBS). Please refer to our reconstitution protocol and the specific application guidance on the suggested starting dilutions and sample type.

Legal Information

ZooMAb is a registered trademark of Merck KGaA, Darmstadt, Germany

Disclaimer

Unless otherwise stated in our catalog or other company documentation accompanying the product(s), our products are intended for research use only and are not to be used for any other purpose, which includes but is not limited to, unauthorized commercial uses, in vitro diagnostic uses, ex vivo or in vivo therapeutic uses or any type of consumption or application to humans or animals.

Not finding the right product?  

Try our Product Selector Tool.

Storage Class

11 - Combustible Solids

wgk

WGK 1

Regulatory Information

常规特殊物品
常规特殊物品
This item has

Choose from one of the most recent versions:

Certificates of Analysis (COA)

Lot/Batch Number

Don't see the Right Version?

If you require a particular version, you can look up a specific certificate by the Lot or Batch number.

Already Own This Product?

Find documentation for the products that you have recently purchased in the Document Library.

Visit the Document Library

Our team of scientists has experience in all areas of research including Life Science, Material Science, Chemical Synthesis, Chromatography, Analytical and many others.

Contact Technical Service